![]() |
Annali di Stomatologia | 2025; 16(4): 450-455 ISSN 1971-1441 | DOI: 10.59987/ads/2025.4.450-455 Articles |
Lipoma of the cheek: a case report
Abstract
Introduction: Lipomas constitute the most common benign mesenchymal tumors observed in soft tissues, representing 13% of cases within the head and neck region. Clinically, lipomas present as a mass with a smooth surface and soft texture, with symptoms varying depending on the location, growth rate, and size. The preferred treatment modality for head and neck lipomas is surgical excision, following a thorough diagnostic assessment. This case report aims to document our clinical experience in managing a cheek lipoma.
Case report: A 60-year-old woman presented to our department with an asymptomatic swelling in her cheek. After appropriate investigations, complete surgical excision of the lesion was performed. The histological report confirmed the diagnosis of lipoma.
Discussion: Surgical excision constitutes the gold standard treatment for the removal of a buccal lipoma. This procedure is relatively simple and routine, typically performed under local anesthesia or, in exceptional circumstances, with sedation. The surgeon initiates with a linear, horizontal incision to optimally conceal the scar, preferably aligned with a natural skin crease. Subsequent dissection involves separating the benign adipose tissue from its surrounding capsule, followed by complete excision. The procedure concludes with layered closure, frequently employing resorbable sutures to minimize visible scarring. This excision guarantees the total removal of the tumor and minimizes the risk of local recurrence.
In conclusion, cheek lipomas are relatively uncommon benign lesions whose diagnosis depends on clinical examination and imaging studies. Surgical intervention involving complete excision of the lesion results in an excellent prognosis with a minimal risk of recurrence.
Keywords: Lipoma, Oral lipoma, Lipoma of the cheek
Introduction
A lipoma is the most common benign mesenchymal tumor consisting of mature adipocytes (1). Although it can occur in various body regions, its presence in the head and neck area is comparatively rare, accounting for approximately 13% of all lipomas (2). The most frequently affected regions include the buccal mucosa, lips, tongue, palate, vestibule, floor of the mouth, and retromolar area. The cheek is an even less common site, making lipomas in this region of particular clinical importance (3).
These tumors generally manifest as well-defined, soft, mobile,and painless subcutaneous masses. Nonetheless, depending on their size and location, they may occasionally induce cosmetic or functional discomfort (4). The position and size of the tumor can indeed result in speech and mastication difficulties (5).
The diagnosis is typically based on clinical evaluation and corroborated by imaging modalities such as ultrasound, computed tomography (CT), and magnetic resonance imaging (MRI). These techniques assist in delineating the extent of the lipoma and distinguishing it from alternative lesions.
The preferred approach is surgical excision, which typically results in complete recovery and a low recurrence rate (1% to 2%) owing to their well-defined margins (6).
This case report aims to present the authors’ experience in managing the clinical case of an adult female patient with a lipoma in the cheek region. The lipoma was treated with surgical excision, resulting in no recurrence or complications. This underscores the importance of an accurate pre-operative approach to improving prognosis.
Case report
A 60-year-old female patient presented to the Department of Odontostomatological and Maxillofacial Sciences at “Sapienza” University of Rome, specifically to the Odontostomatological Clinic, in March 2025, due to a swelling in her cheek region. The patient reported a circular, painless, and slow-growing swelling that had been present for one year.
The clinical examination corroborated the existence of a superficial, mobile, soft, and non-tender mass measuring approximately 2.5 cm by 1.5 cm by 1 cm. The skin overlaying the lesion exhibited no signs of inflammation. There was no palpable laterocervical lymphadenopathy, masticatory impairments, or alterations in facial sensation. Based on the patient’s history and clinical findings, a provisional diagnosis of lipoma was established.
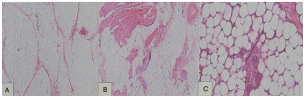
Given the clinical findings, ultrasound imaging, and MRI, which indicated a diagnosis of lipoma, combined with the patient’s aesthetic concerns, surgical excision of the mass under local anesthesia was scheduled (Figure 1–8).
The imaging demonstrated a well-defined, oval, hyperechoic mass exhibiting features consistent with a lipoma, with no evidence of infiltration into adjacent tissues or musculature.
During the procedure, a cold blade incision was made on the skin overlying the swelling, following the natural lines of the cheek to minimize cosmetic impact.
A yellowish, lobulated, well-encapsulated mass, clearly demarcated from the surrounding tissues, was identified and completely enucleated through a layered dissection. A first layer of interrupted 3/0 Vicryl absorbable sutures was then used to approximate the muscle plane, followed by interrupted 3/0 Vicryl sutures for the skin plane. The patient tolerated the procedure well, with no intraoperative complications.
The excised specimen was forwarded for histopathological analysis, corroborating the diagnosis of lipoma. The analysis demonstrated adipose connective tissue in continuity with minor segments of fibrous and striated muscle tissue, associated with focal chronic lymphomononuclear inflammation, with some vascular and nervous structures at the periphery, all devoid of atypia.
The patient’s recovery was uneventful in the postoperative period, and optimal healing was observed at the one-week postoperative follow-up for suture removal.
Discussion
Lipomas of the cheek, although infrequent, pose a diagnostic challenge in distinguishing them from other lesions in the parotid or masseteric region (7, 8). The evaluation of this condition invariably begins with a meticulous medical history and a comprehensive physical examination, during which patients generally report the presence of a slow-growing, asymptomatic, or minimally symptomatic swelling. Upon physical examination, a lipoma manifests as a subcutaneous, soft, elastic, mobile mass situated over deeper planes, non-tender upon palpation, with the overlying skin remaining intact and unaltered (9, 10).
The differential diagnosis between lipomas and other tumor masses, particularly those occupying the parapharyngeal spaces, presents a significant clinical challenge. While lipomas typically present as mobile, non-painful masses, their distinction from other lesions can be difficult when located in complex anatomical areas like the parapharyngeal space. This is because malignant tumors, such as adenoid cystic carcinoma or lymphoma, can also present with similar clinical features, although their consistency may vary. CT and MRI are essential diagnostic tools (11).
Pre-operative diagnosis primarily relies on imaging. Ultrasound is the preferred initial imaging modality due to its non-invasiveness, cost-effectiveness, capacity to differentiate between solid and cystic lesions, and ability to provide information on vascularity. In cases of lipomas, ultrasound generally reveals a hyperechoic, well-defined mass with a homogeneous echostructure (12, 13). In specific instances or when diagnostic uncertainty exists—such as for deeper or larger lesions, or those with ambiguous relationships to vital structures—magnetic resonance imaging (MRI) is considered the gold standard. MRI offers more detailed information regarding the extent of the mass and its relationships with adjacent anatomical structures, including the facial nerve and Stensen’s duct—additionally, MRI aids in distinguishing lipomas from other soft tissue lesions (12, 13). On MRI, lipomas are typically characterized by a hyperintense signal on T1-weighted sequences and fat signal suppression on T2-weighted fat-suppressed sequences, confirming their adipose composition. Computed tomography (CT) may be an alternative to MRI, particularly when MRI is contraindicated; however, it exposes the patient to ionizing radiation and offers lower soft tissue resolution than MRI (13, 14). Fine-needle aspiration (FNA) biopsy or incisional/excisional biopsy are not routinely performed for clinically evident lipomas, but may be considered when malignancy (e.g., rapid growth, firm consistency, fixation to deep planes, pain) is suspected to exclude liposarcoma. Nonetheless, liposarcoma is infrequent in the cheek region (8, 12–14).
The etiology of lipomas remains incompletely understood; however, genetic predispositions, recurrent local trauma, or metabolic disturbances are believed to contribute to their development (4). Most lipomas are asymptomatic, and the decision to pursue intervention is frequently motivated by aesthetic considerations, as exemplified by our patient’s case. Nonetheless, progressive enlargement may result in compression symptoms or functional impairments, such as difficulties in mastication or mouth opening if the lipoma is situated deeply and adjacent to masticatory muscles, or altered sensation if it compresses neural branches (15, 16).
Surgical excision is the preferred method for treating lipomas (17, 18, 19). The objective is to achieve complete removal of the lesion to prevent recurrence; hence, it is essential to preserve an intact capsule throughout the procedure (8). In the case of simple lipomas, the recurrence rate is typically low, less than 5%. Specifically, in the cheek region, the proximity to critical anatomical structures such as the facial nerve and its branches and Stensen’s duct necessitates meticulous surgical technique. Identification and preservation of these structures are of utmost importance to avoid complications. Although complications arising from untreated pathology are generally infrequent, they may include: increased size (where the lipoma continues to enlarge, potentially complicating excision and increasing the risk of compression on adjacent structures), nerve compression (although less common, a growing lipoma can exert pressure on branches of the facial nerve, leading to facial weakness or paralysis, or on sensory branches, resulting in paresthesias or pain), and aesthetic or functional discomfort (20–21).
Utilizing aesthetically favorable incisions, such as those along Langer’s lines or within the nasolabial fold or submandibular sulcus, is essential to minimize visible scars and achieve an optimal aesthetic outcome. In certain instances, liposuction has been investigated as an alternative for very small and superficial lipomas. Nonetheless, surgical excision remains the gold standard for ensuring complete removal and facilitating histopathological analysis (17–22).
Specific surgical complications in this region during lipoma excision include injury to the facial nerve and/or Stensen’s duct. Facial nerve injury is regarded as the most concerning complication, potentially resulting in temporary or permanent facial paralysis, characterized by an inability to close the eye and drooping of the mouth corner. The utilization of intraoperative facial nerve monitoring can mitigate this risk. Additionally, injury to Stensen’s duct may lead to the development of a salivary fistula or a sialocele (23, 26).
The following clinical case underscores the significance of precise pre-operative evaluation, encompassing a comprehensive patient history, physical examination, and the selection of appropriate surgical techniques for the management of cheek lipomas. Histopathological confirmation is consistently advised to exclude more aggressive differential diagnoses, such as liposarcoma (despite its rarity in the cheek) or other benign or malignant soft tissue neoplasms, even when such diagnoses are clinically unlikely (25). This methodology ensures patient safety and the accuracy of the pathological diagnosis, thereby supporting favorable prognostic outcomes.
Conclusion
Lipomas are ubiquitous benign mesenchymal tumors, but their occurrence in the cheek region is a rare and often underestimated clinical entity. Their rarity and initially asymptomatic nature can delay diagnosis and lead to misinterpretations. This report underscores the importance of a comprehensive diagnostic approach integrating accurate clinical evaluation with advanced imaging modalities. This multifactorial assessment is indispensable for precisely characterizing the lesion, including its size, depth, and relationship with vital structures, and, critically, distinguishing it from malignant mimics like liposarcoma. The benign nature of lipoma does not diminish the complexity of its management in such a critical anatomical location. Complete surgical excision remains the treatment of cheek lipomas, offering a highly effective and definitive solution with an excellent prognosis and minimal risk of recurrence. Meticulous surgical technique is paramount to ensure total tumor removal while preserving the delicate neurovascular structures of the facial region. This clinical case serves as a valuable reminder for clinicians to maintain a high index of suspicion for lipomas in the differential diagnosis of oral and maxillofacial swellings, even in the presence of atypical presentations or in the absence of pain. By adopting a rigorous diagnostic and therapeutic approach, early and accurate diagnosis can be achieved, leading to timely and appropriate management that optimizes patient outcomes and minimizes potential complications.
References
- 1. Tilaveridis I, Kalaitsidou I, Pastelli N, Antoniades K. Lipoma of Parotid Gland: Report of Two Cases. J Maxillofac Oral Surg. 2018 Dec;17(4):453–457. doi:10.1007/s12663-018-1080-9. Epub 2018 Jan 15. PMID: 30344387; PMCID: PMC6181854. https://doi.org/10.1007/s12663-018-1080-9
- 2. Hermans, R. L. Barnes: Surgical pathology of the head and neck, 2nd edn, revised and expanded in three volumes. Eur Radiol 12, 1866 (2002). https://doi.org/10.1007/s00330-001-1266-1 https://doi.org/10.1007/s00330-001-1266-1
- 3. Varma BR, Kumar KS, Verghese RS, Janardhanan M. Unusual presentation of lipoma on the tongue. BMJ Case Rep. 2020 Apr 14;13(4):e232485. doi:10.1136/bcr-2019-232485. PMID: 32295795; PMCID: PMC7199149. https://doi.org/10.1136/bcr-2019-232485
- 4. Epivatianos A, Markopoulos AK, Papanayotou P. Benign tumors of adipose tissue of the oral cavity: a clinicopathologic study of 13 cases. J Oral Maxillofac Surg. 2000 Oct;58(10):1113–7; discussion 1118. doi:10.1053/joms.2000.9568. PMID: 11021705. https://doi.org/10.1053/joms.2000.9568
- 5. Hoseini AT, Razavi SM, Khabazian A. Lipoma in oral mucosa: two case reports. Dent Res J (Isfahan). 2010 Winter;7(1):41–3. PMID: 21448446; PMCID: PMC3065337.
- 6. Park BG, Choi DJ, Park JW, Kim JS. Oral cavity lipoma: a case report. J Korean Assoc Oral Maxillofac Surg. 2015 Aug;41(4):213–6. doi:10.5125/jkaoms.2015.41.4.213. Epub 2015 Aug 21. PMID: 26339582; PMCID: PMC4558192. https://doi.org/10.5125/jkaoms.2015.41.4.213
- 7. Furlong MA, Fanburg-Smith JC, Childers EL. Lipoma of the oral and maxillofacial region: Site and subclassification of 125 cases. Oral Surg Oral Med Oral Pathol Oral Radiol Endod. 2004 Oct;98(4):441–50. doi:10.1016/j.tripleo.2004.02.071. PMID: 15472660. https://doi.org/10.1016/j.tripleo.2004.02.071
- 8. Pacifici, A., Caporro, G., & Pacifici, L. (2025). Lipomas of the head-neck: a systematic review of literature over the last 10 years. Annali Di Stomatologia, 16(3), 263–292. https://doi.org/10.59987/ads/2025.3.263-292 https://doi.org/10.59987/ads/2025.3.263-292
- 9. Trento GDS, Stringhini DJ, Rebellato NLB, Scariot R. Extra-Oral Excision of a Buccal Fat Pad Lipoma. J Craniofac Surg. 2017 May;28(3):e226–e227. doi:10.1097/SCS.0000000000003414. PMID: 28468196. https://doi.org/10.1097/SCS.0000000000003414
- 10. Al-Haj Husain A, Salzer E, Stadlinger B. Challenges in the diagnosis and management of soft tissue tumors of the oral cavity. Swiss Dent J. 2024 Oct 29;134(4):27–36. doi:10.61872/sdj-2024-04-03. PMID: 39468972. https://doi.org/10.61872/sdj-2024-04-03
- 11. Arangio, P., Cerbelli, E., Agrillo, A., & Scopelliti, D. (2022). A rare case of double whartin parotid tumor. Parapharyngeal intraoral surgical approach. Annali Di Stomatologia, 9(4), 142–145. https://doi.org/10.59987/ads/2018.4.142-145 https://doi.org/10.59987/ads/2018.4.142-145
- 12. Cunha JLS, Tomo S, Mota CP, Correia Neto IJ, de Sousa SF, León JE, Albuquerque-Júnior RLC. Fatfree pleomorphic lipoma of the buccal mucosa: An immunohistochemical study and literature review. Oral Oncol. 2021 Jun;117:105215. doi:10.1016/j.oraloncology.2021.105215. Epub 2021 Feb 16. PMID: 33602577. https://doi.org/10.1016/j.oraloncology.2021.105215
- 13. Burke CJ, Fritz J, Samim M. Musculoskeletal Soft-tissue Masses: MR imaging-Ultrasonography Correlation, with an Emphasis on the 2020 World Health Organization Classification. Magn Reson Imaging Clin N Am. 2023 May;31(2):285–308. doi:10.1016/j.mric.2022.10.001. Epub 2023 Feb 4. PMID: 37019551. https://doi.org/10.1016/j.mric.2022.10.001
- 14. Ashika BK, Bagchi A, Chawla R, Kumar N, Sowmya K, Shetty RR. Intraoral Lipoma: A Case Report. J Pharm Bioallied Sci. 2023 Jul;15(Suppl 2):S1338–S1340. doi:10.4103/jpbs.jpbs_143_23. Epub 2023 Apr 28. PMID: 37693971; PMCID: PMC10485496. https://doi.org/10.4103/jpbs.jpbs_143_23
- 15. Najaf Y, Cartier C, Favier V, Garrel R. Symptomatic head and neck lipomas. Eur Ann Otorhinolaryngol Head Neck Dis. 2019 Apr;136(2):127–129. doi:10.1016/j.anorl.2018.12.001. Epub 2018 Dec 31. PMID: 30606653. https://doi.org/10.1016/j.anorl.2018.12.001
- 16. Juliasse LE, Nonaka CF, Pinto LP, Freitas Rde A, Miguel MC. Lipomas of the oral cavity: clinical and histopathologic study of 41 cases in a Brazilian population. Eur Arch Otorhinolaryngol. 2010 Mar;267(3):459–65. doi:10.1007/s00405-009-1010-z. Epub 2009 Jun 27. PMID: 19562364. https://doi.org/10.1007/s00405-009-1010-z
- 17. Demir D, Eraslan Ö, Güven M, Kösem M. Rare cases of benign tumors of the head and neck: lipoma of larynx and sternocleidomastoid muscle. Kulak Burun Bogaz Ihtis Derg. 2016;26(2):118–22. doi:10.5606/kbbihtisas.2016.92155. PMID: 26890715. https://doi.org/10.5606/kbbihtisas.2016.92155
- 18. Priya M, Doomra S, Angral S, Malhotra M, Varshney S, Gupta MK, Bhardwaj A. Head and Neck Lipomas at Uncommon Subsites: A Series of Four Cases. Indian J Otolaryngol Head Neck Surg. 2022 Oct;74(Suppl 2):1845–1849. doi:10.1007/s12070-020-01866-1. Epub 2020 Apr 30. PMID: 36452686; PMCID: PMC9702117. https://doi.org/10.1007/s12070-020-01866-1
- 19. D’Orto, B.., Baldi, C.., Bonafede, V.., Pacifici, A.., Ianniceli, I.., & Nagni, M.. (2024). Analgesic drugs in dentistry: a narrative review. Annali Di Stomatologia, 14(4), 23–29. https://doi.org/10.59987/ads/2023.4.23–29 https://doi.org/10.59987/ads/2023.4.23-29
- 20. Najaf Y, Cartier C, Favier V, Garrel R. Symptomatic head and neck lipomas. Eur Ann Otorhinolaryngol Head Neck Dis. 2019 Apr;136(2):127–129. doi:10.1016/j.anorl.2018.12.001. Epub 2018 Dec 31. PMID: 30606653. https://doi.org/10.1016/j.anorl.2018.12.001
- 21. Rodgers GK, Myers EN. Surgical management of the mass in the buccal space. Laryngoscope. 1988 Jul;98(7):749–53. doi:10.1288/00005537-198807000-00013. PMID: 3386380. https://doi.org/10.1288/00005537-198807000-00013
- 22. Gorini E, Artesi L, Sbrocca M, Gandolfi F. Neoformazioni intrinseche della guancia. Approccio diagnostico e chirurgico [Neoplasms intrinsic to the cheek. Diagnostic and surgical approach]. Dent Cadmos. 1990 Oct 15;58(15):80–2, 85–6. Italian. PMID: 2279600.
- 23. Palaia, G., Gaimari, G., Lo Giudice, R., Galanakis, A., Tenore, G., & Romeo, U. (2022). Excision of an oral angiolipoma by KTP laser: a case report. Annali Di Stomatologia, 2(1–2), 28–31. https://doi.org/10.59987/ads/2011.1-2.28-31
- 24. Gallia L, Rood SR, Myers EN. Management of buccal space masses. Otolaryngol Head Neck Surg. 1981 Mar–Apr;89(2):221–5. doi:10.1177/019459988108900215. PMID: 6264366. https://doi.org/10.1177/019459988108900215
- 25. T. Pizzolante, P. Rasicci, A. P. Saggiomo, M. Principi, M. Capogreco, S. Mummolo. Buccal Fat Pad Flap and Buccal Advancement Flap for Closure of Oroantral Fistula: A Systematic Review and a Case Report Oral and Implantology Vol. 16 No. 2 (2024), 50–61. https://doi.org/10.11138/oi16250-61
- 26. de Wijn RS, van der Heijden EP, Kon M. On lipoma of the buccal fat pad: report of two cases and review of the literature. J Plast Reconstr Aesthet Surg. 2009 Jan;62(1):28–35. doi:10.1016/j.bjps.2007.11.022. Epub 2008 Jan 14. PMID: 18249050. https://doi.org/10.1016/j.bjps.2007.11.022
