![]() |
Annali di Stomatologia | 2025; 16(4): 441-449 ISSN 1971-1441 | DOI: 10.59987/ads/2025.4.441-449 Articles |
Minimally invasive surgical protocol for miniscrew-assisted palatal expansion (mismarpe) in orthognathic surgery: a case report
Abstract
Background: Miniscrew-Assisted Rapid Palatal Expansion (MARPE) has emerged as a promising method for non-surgical maxillary expansion in young adults. However, in skeletally mature patients undergoing orthognathic surgery, the resistance of the midpalatal suture often requires more invasive procedures like SARPE.
Case report: A skeletally mature patient with transverse maxillary deficiency was scheduled for orthognathic surgery. The patient presented with maxillary constriction and dental crowding, requiring transverse expansion as part of the treatment plan. A modified, minimally invasive MARPE protocol adapted to be used with orthognathic surgery, termed MISMARPE, was performed.
Conclusion: MISMARPE offers a viable alternative to SARPE in select orthognathic surgery cases, allowing for skeletal expansion with less invasiveness. This technique may represent a promising adjunct in managing transverse maxillary deficiency in adult patients.
Keywords: MARPE, SARPE, MISMARPE, Orthognathic surgery, Custom-made, Palatal expander, Minimally invasive
Introduction
Maxillary transverse deficiency is a commonly confronted issue in orthodontic patients, particularly among adults (1). This condition can be either a unilateral or bilateral posterior crossbite (2) and often requires correction through maxillary expansion. In younger, prepubertal patients, this treatment is anticipated (3), with rapid maxillary expansion (RME)—also called rapid palatal expansion (RPE) commonly used to separate the midpalatal suture, then followed by orthopedic widening of the upper jaw (4). However, in post-pubertal patients, including adolescents and adults, the use of RME becomes more disputable, as the midpalatal suture usually is fused, making non-surgical expansion more challenging. As a result, such treatments can lead to unwanted results, like dentoalveolar compensation (5) and adverse dental or periodontal effects on the anchoring teeth instead of performing actual skeletal changes (6). To address this difficulty, surgically assisted rapid palatal expansion (SARPE) is used to rectify maxillary transverse discrepancies in post-pubertal patients by surgically splitting the circummaxillary sutures (7), despite the corresponding high costs and possibilities for increased postoperative complications (8).
A robust device that directly applies expansion forces to the basal bone can facilitate maxillary separation in post-pubertal patients (6). To achieve this clinical objective, miniscrew-assisted rapid palatal expansion (MARPE) devices have been introduced and extensively studied in recent years (9). Unlike the traditional RPE technique, MARPE decreases the likelihood of dentoalveolar compensation and other undesirable effects in post-pubertal patients (6). Compared to SARPE, MARPE presents a less invasive approach with fewer adverse effects on patient-reported issues and is generally more cost-effective (5). Additionally, the transition from a fully analog workflow to a digitally integrated procedure has been demonstrated to be feasible with the MARPE technique (10).
Nevertheless, the requirement for hospitalization causes many patients to avoid this approach. To reduce morbidity and expand the indications for MARPE, a modified technique combining MARPE with targeted osteotomies, known as Minimally Invasive Surgical and custom-made Miniscrew-Assisted Rapid Palatal Expansion (MISMARPE), has been proposed. MISMARPE is performed under either general or assisted local anesthesia, depending on the patient’s needs, and involves minimal surgical intervention limited to releasing resistance areas in the maxilla (11).
The present study intends to delineate the MISMARPE procedure utilizing a custom-made appliance, along with its prospective benefits compared to conventional expansion protocols.
Case Report
In addressing a transverse maxillary deficiency, the MISMARPE (Minimally Invasive Surgical and Miniscrew-Assisted Rapid Palatal Expansion) technique was meticulously planned and executed on a 29-year-old female patient requiring skeletal maxillary expansion.
The surgical planning was predicated on high-resolution three-dimensional DICOM imaging, facilitating a comprehensive assessment of the maxillary bone structures and their spatial relationship with the dental roots. The STL file of the patient’s upper arch was acquired and digitally aligned with the CBCT scan, thus enabling accurate anatomical reconstruction and enhancing the virtual planning of screw placement (Figures 1 and 2).
As delineated by Haas Junior et al. (13), the STL file of the expander screw was incorporated and precisely positioned in the desired location. The placement of miniscrews was meticulously planned, maintaining an approximate distance of 1.0 mm from the contour of the palatal mucosa, utilizing the file addition and positioning tool (Figure 1). Particular attention was given to the correct orientation of the screws (Figure 2), ensuring respect for anatomical structures, thereby avoiding injury to the dental roots or periodontal tissue, and guaranteeing an appropriate insertion depth into the bone.
Subsequently, a three-dimensional reconstruction of the processed data was carried out to acquire a spatial overview of the relationships between the planned anchorage screws and the roots of the dental elements in the upper arch (Figure 3). The positioning methodology guaranteed the optimal allocation of expansion forces while minimizing potential risks to neighboring dental roots.
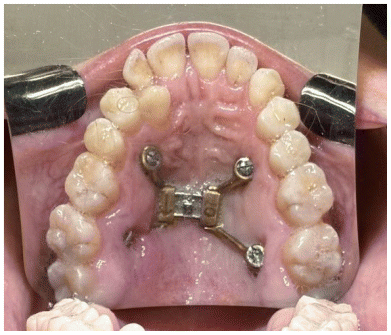
A customized palatal expander has been manufactured utilizing additive manufacturing techniques. It comprises a region containing an expansion screw and fixation arms anchored to the palatal bone, as well as a dental guide that was removed following stabilization to ensure the accurate positioning of the device.
The oral cavity was disinfected using a 0.2% chlorhexidine solution, and sterile fields were subsequently established to ensure asepsis during the surgical procedure. Local anesthetics, including 4% articaine with adrenaline at a concentration of 1:100,000, were administered to anesthetize the posterior superior alveolar nerves, infraorbital nerves, and nasopalatine nerve. Furthermore, infiltrations into the vestibular mucosa were performed to promote hemostasis and facilitate the detachment of the mucoperiosteal tissue. The anesthesia was completed with infiltrations into the palatal mucosa at the site designated for the placement of the miniscrews of the MARPE expander. The administration of general anesthesia is considered dependent upon the infiltration of a local anesthetic containing a vasoconstrictor to achieve adequate hemostasis and to improve tissue plane separation, in addition to managing intraoperative and postoperative pain.
The surgical procedure was performed following minimally invasive orthognathic surgery, involving a mucoperiosteal incision in the anterior vestibular region of the maxilla. The surgical access measured approximately 2 cm, extending from one central incisor to the other. (Figure 4)
A subperiosteal dissection was performed in the nasomaxillary region, followed by the creation of a myomucosal tunnel in the posterior area of the maxilla to facilitate the passage of the implant. (Figure 5)
The osteotomy was composed of both horizontal and vertical segments (Figures 6,7,8). The horizontal segment was executed at the level of the piriform aperture, extending to the posterior maxilla and zygomatic buttress, with incisions made on the anterior and medial walls of the maxillary sinuses, while maintaining the cut just above the dental roots and following a slightly oblique inclination. This procedure was replicated on both the right and left sides. Subsequently, a vertical osteotomy was performed along the midline between the central incisors, corresponding to the median palatal suture, extending to the terminus of the bony palate at the midline. All osteotomies were carried out utilizing piezoelectric technology, with refinements made using a chisel by flexing (Figure 9).
Subsequent to the osteotomies, controlled activation of the MARPE device was executed to evaluate the resistance of the midline bone. The procedure was concluded with achieving hemostasis, irrigating with sterile saline solution, and suturing. (Figure 10)
This surgical procedure is summarized in Table 1.
| Disinfection | 0.2% chlorhexidine and preparation of sterile fields |
|---|---|
| Anesthesia type | General or Local + Anxiety control protocol |
| Incision | Mucoperiosteal incision in the anterior maxilla (2cm from 1.1 to 2.1) and subperiosteal dissection extending to the posterior region. |
| Vertical median osteotomy | Performed in the midline between the central incisors, corresponding to the midpalatal suture, covering the vestibular and palatal bony cortical bones |
| Horizontal osteotomy | Bilaterally in the posterior region, above the dental roots, extending to the piriform aperture the total extent of the cut is slightly oblique, with a more posterior lower inclination and a more anterior upper inclination, always respecting the limit above the dental roots. |
Discussion
The MISMARPE technique (Minimally Invasive Surgical and Miniscrew-Assisted Rapid Palatal Expansion) was first introduced in the scientific literature in 2022 by Haas Junior et al. (11), following several years of research and clinical refinement. Specifically designed for adult patients with transverse maxillary deficiency, this approach combines the principles of minimally invasive surgery with skeletal anchorage (12), aiming to achieve effective maxillary expansion while significantly reducing surgical trauma, morbidity, and overall treatment costs. This method offers a distinct advantage over traditional SARPE. Nonetheless, the MISMARPE technique is not suitable for novice surgeons; it is intended for practitioners at a more advanced level, particularly those with experience in minimally invasive orthognathic procedures (13).
SARPE, long regarded as the gold standard for addressing transverse maxillary deficiency in adults (9), involves the use of general anesthesia and pterygomaxillary disjunction, often in conjunction with a tooth-borne Hyrax appliance. MISMARPE, introduced more recently (15), employs skeletal or hybrid anchorage MARPE expanders and is a less invasive surgical procedure that can be performed under local anesthesia. Despite its minimally invasive nature, MISMARPE achieves comparable degrees of dental expansion and expander screw opening (11). On a skeletal level, it demonstrated superior outcomes in the posterior midpalatal suture, posterior alveolar process, and nasal cavity regions, with a more favorable trapezoidal expansion pattern in the coronal plane and a V-shaped opening in the axial plane (11).
Both approaches markedly extended the nasal floor; however, no significant volumetric increases were observed in the oropharyngeal region. Although a qualitative assessment of respiratory function was not conducted, the enhancement in nasal cavity volume corresponds with prior results indicating improved airflow and a possible reduction in nasal resistance (16). Methodologically, the application of voxel-based CBCT superimposition ensured precise anatomical monitoring over time, addressing measurement variability observed in earlier research (13).
MISMARPE, utilizing a minimally invasive surgical technique to access and release regions of resistance, necessitates either general anesthesia or local anesthesia with sedation, contingent upon the patient’s requirements.
The operative duration documented by Haas Junior et al. varied from 14.4 to 32 minutes, with an average of 24.11 minutes, spanning from the initial incision to the closure of the surgical wound (11).
The MARPE-type expansion device comprises two types of anchorage.
- Bone-borne (purely skeletal anchorage): Expanders are anchored exclusively to the skeletal structure using four parasutural miniscrews without dental support.
- Tooth-bone borne (hybrid anchorage, which utilizes both dental and skeletal anchorage): four parasutural miniscrews are integrated with bands cemented onto the first molars. The miniscrews are positioned through the body of the expansion screw, while the metal arms of the screw are affixed to the molar bands. The protocol for determining the placement of the tooth-bone-borne expansion screw may be conducted either with or without the assistance of a surgical guide.
Bone-borne expanders yield considerably greater skeletal expansion compared to tooth-borne appliances, with no notable differences observed in dental expansion. (23)
Furthermore, bone-borne devices exhibit fewer dentoalveolar side effects and demonstrate superior orthopedic effects, particularly in late adolescent patients. Lu Lin et al. reported that the bone-borne expander group achieved greater skeletal expansion, with the exception of the first premolar region, where slight buccal tipping of the alveolar bone was observed. Conversely, the tooth-borne group experienced more buccal tipping of both the alveolar bone and the tooth axes, except in the region of the second molar (25)
Studies such as that by Gogna et al. report no difference in post-SARME stability between the two types of devices. (27)
The expansion screw and miniscrews are comparable for both types of anchorage, adhering to the same minimally invasive osteotomy protocol. In instances of purely skeletal anchorage, the fixation bar employed to weld the molar arms must be removed.
It is advisable to utilize the largest feasible expander screw size, maintaining a 1mm distance from the palatal mucosa and alveolar walls. Expansion screws with standardized dimensions (6, 9, or 11 mm) or adjustable devices are also available. The adjustable extensions facilitate positioning the miniscrews nearer to the palatal surface, which is especially advantageous for patients with severe maxillary atresia (13).
The expander screw should be positioned anteroposteriorly within the palate region that offers optimal conditions for miniscrew placement, specifically areas with adequate bone volume and cortical density. Haas Junior et al. (11) recommended the “T-zone” (14), a notably advantageous site for miniscrew placement, which is generally situated near the midpalatal suture and surrounding the third palatal rugae, where the bone quality is most appropriate for secure anchorage.
The length of the miniscrew should be customized according to each individual case to guarantee monocortical anchorage. Miniscrews that are excessively short may cause failure of expansion owing to bending or instability. Conversely, miniscrews that are excessively long could penetrate the nasal cavity, resulting in discomfort and possible otolaryngological complications (13).
A cone beam computed tomography (CBCT) is necessary to determine the appropriate placement of the expander and miniscrews, as well as their dimensions. The acquired DICOM (Digital Imaging and Communications in Medicine) images are utilized for three-dimensional reconstructions. Subsequently, the three-dimensional tomographic image must be oriented to standardize the head position relative to the Frankfurt plane (or L-Po-o R), ensuring it is parallel to the axial plane. The Nasion-Anterior Nasal Spine plane should be perpendicular to the Frankfurt plane (13).
Regarding patient experience, MISMARPE distinctly exceeds SARPE. The piezoelectric surgical technique, minimal soft tissue disturbance, and localized anesthesia all contributed to enhancing the treatment experience and increasing patient satisfaction. These features, complemented by reduced procedural costs and improved recovery periods, offer significant clinical benefits (17).
Piezosurgery enables the utilization of piezoelectric and non-rotating instruments with minimized soft tissue trauma; consequently, the potential for reducing tissue detachment is increased. Additionally, performing osteotomies within a myomucosal tunnel reduces the likelihood of damaging the roots during interdental median osteotomy. (18,19)
Concerning efficacy, MISMARPE achieved notable skeletal and dentoalveolar improvements, ranging from 4.4 to 4.7 mm anteriorly and 1.8 to 3.2 mm posteriorly, by circumventing the pterygomaxillary osteotomy (20). Its unique pattern of expansion renders it particularly effective for addressing V-shaped maxillary constriction in comparison to U-shaped mandibular arches, offering advantages in orthodontic stability and relapse prevention following the removal of brackets (25).
The decision to perform pterygomaxillary disjunction should be contingent upon the patient’s age and specific requirements. According to Laudemann et al., it is recommended to carry out this procedure in patients over 20 years of age and to refrain from it in those under 20. In both scenarios, the transverse widening diminished from anterior to posterior, regardless of whether pterygomaxillary disjunction was performed. The ossification process tends to be more advanced in patients exceeding 20 years old, which suggests that a lack of disjunction may result in a more anteriorly directed maxillary expansion, as the posterior segments remain stationary. If the procedure is necessary, it should be noted that performing it under local anesthesia with sedation presents certain limitations.
The success of MISMARPE in older patients, extending up to the sixth decade of life, is notably promising. While the effectiveness of conventional MARPE significantly diminishes in patients over 30 years of age (9), MISMARPE has exhibited success rates surpassing 95% (13). This accomplishment is ascribed to its strategic weakening of skeletal resistance zones, excluding the pterygomaxillary suture, through minimally invasive osteotomies combined with skeletal anchorage. Nevertheless, surgical expertise is essential; therefore, this technique is not recommended for practitioners lacking experience (13).
An additional benefit of the MISMARPE technique is its integration with digital workflows and virtual surgical planning. The entire procedure is meticulously pre-planned utilizing cone-beam computed tomography (CBCT) data, which offers an accurate three-dimensional evaluation of anatomical structures. Virtual planning software is subsequently employed to simulate the placement of the expander and miniscrews, ensuring optimal positioning concerning bone density, root proximity, and maxillary anatomy (26). This preoperative planning enhances surgical accuracy and predictability, while reducing intraoperative uncertainty and the risk of complications. Consequently, the surgical process is rendered more efficient and safer, especially in cases with complex or high-risk anatomy. This digital methodology represents a substantial advancement in the management of maxillary transverse deficiency, combining the minimally invasive nature of MISMARPE with heightened precision and control (27).
Although the MISMARPE technique demonstrated a moderately short operative duration, ranging from 14.4 to 32 minutes with a mean of 24.11 minutes, as reported by Haas Junior et al. (11), it is imperative to scrutinize this outcome. When compared to the average surgical time for SARPE, which was reported as 19 minutes (range: 15–32 minutes) by Hernandez-Alfaro et al. (12), the intraoperative timing of MISMARPE does not exhibit definitive superiority. Its duration aligns closely with that of SARPE in a clinical surgical setting. Therefore, any assertion regarding reduced operative time as a primary advantage of MISMARPE should be made with caution, especially given the overlap in method durations.
Despite its advantages, MISMARPE entails higher surgical costs and complexity relative to non-surgical MARPE. Its precision in mature adults renders MISMARPE a highly appropriate treatment option for patients with advanced maturation of the palatal suture or a history of prior expansion failure.
Conclusion
In conclusion, the MISMARPE approach offers a minimally invasive yet highly effective alternative for addressing transverse maxillary deficiency, particularly in adult and mature patients for whom conventional MARPE or SARPE procedures may be less effective or more invasive, respectively. By circumventing pterygomaxillary disjunction, utilizing skeletal anchorage, and incorporating precise virtual planning, MISMARPE minimizes surgical trauma, thereby enhancing patient comfort and acceptance. This technique has demonstrated reliable skeletal expansion, improved maxillary stability, and low morbidity, all of which are essential advantages in contemporary orthodontic-surgical practice.
Given these favorable results, future research should concentrate on long-term stability, potential effects on airway dimensions, and comparisons with additional expansion techniques through larger, randomized clinical trials. This would further validate efficacy and expand the clinical applicability of MISMARPE across diverse populations.
References
- 1. Haas, A.J. Palatal Expansion: Just the Beginning of Dentofacial Orthopedics. Am. J. Orthod. 1970, 57, 219–255. https://doi.org/10.1016/0002-9416(70)90241-1
- 2. Egermark-Eriksson, I.; Carlsson, G.E.; Magnusson, T.; Thilander, B. A Longitudinal Study on Malocclusion in Relation to Signs and Symptoms of Cranio-Mandibular Disorders in Children and Adolescents. Eur. J. Orthod. 1990, 12, 399–407 https://doi.org/10.1093/ejo/12.4.399
- 3. Haas, A.J. The Treatment of Maxillary Deficiency by Opening the Midpalatal Suture. Angle Orthod. 1965, 35, 200–217.
- 4. Melsen, B.; Melsen, F. The Postnatal Development of the Palatomaxillary Region Studied on Human Autopsy Material. Am. J. Orthod. 1982, 82, 329–342. https://doi.org/10.1016/0002-9416(82)90467-5
- 5. Bortolotti, F.; Solidoro, L.; Bartolucci, M.L.; Incerti Parenti, S.; Paganelli, C.; Alessandri-Bonetti, G. Skeletal and Dental Effects of Surgically Assisted Rapid Palatal Expansion: A Systematic Review of Randomized Controlled Trials. Eur. J. Orthod. 2020, 42, 434–440. https://doi.org/10.1093/ejo/cjz057
- 6. Kapetanovi’c, A.; Theodorou, C.I.; Bergé, S.J.; Schols, J.G.J.H.; Xi, T. Efficacy of Mini-screw-Assisted Rapid Palatal Expansion (MARPE) in Late Adolescents and Adults: A Systematic Review and Meta-Analysis. Eur. J. Orthod. 2021, 43, 313–323. https://doi.org/10.1093/ejo/cjab005
- 7. Melsen, B. Palatal Growth Studied on Human Autopsy Material. Am. J. Orthod. 1975, 68, 42–54 https://doi.org/10.1016/0002-9416(75)90158-X
- 8. Carvalho, P.H.A.; Moura, L.B.; Trento, G.S.; Holzinger, D.; Gabrielli, M.A.C.; Gabrielli, M.F.R.; Pereira Filho, V.A. Surgically Assisted Rapid Maxillary Expansion: A Systematic Review of Complications. Int. J. Oral Maxillofac. Surg. 2020, 49, 325–332. https://doi.org/10.1016/j.ijom.2019.08.011
- 9. Lee, K.-J.; Park, Y.-C.; Park, J.-Y.; Hwang, W.-S. Miniscrew-Assisted Nonsurgical Palatal Expansion before Orthognathic Surgery for a Patient with Severe Mandibular Prognathism. Am. J. Orthod. Dentofac. Orthop. 2010, 137, 830–839. https://doi.org/10.1016/j.ajodo.2007.10.065
- 10. Montaruli, G.; Virgilio, S.; Laurenziello, M.; Tepedino, M.; Ciavarella, D. Maxillary Transverse Deficit: A Retrospective Study of TwoBiologically Oriented Devices through a Digital Workflow. Bioengineering 2022, 9, 31. https://doi.org/10.3390/bioengineering9010031
- 11. Haas OL, Matje PRB, Rosa BM, et al. Minimally invasive surgical and Miniscrew-assisted rapid palatal expansion (MISMARPE) in adult patients. J Cranio-Maxillofacial Surg. 2022;50(3):211–217. https://doi.org/10.1016/j.jcms.2021.12.011
- 12. Hernandez-Alfaro F, Bueno JM, Diaz A, Pagés CM. Minimally invasive surgically assisted rapid palatal expansion with limited approach under sedation: A report of 283 consecutive cases. Journal of Oral and Maxillofacial Surgery. 2010;68(9):2154–8. https://doi.org/10.1016/j.joms.2009.09.080
- 13. Haas Júnior OL, Matje PRB, Da Rosa BM, Piccoli VD, Rizzatto SMD, De Oliveira RB, et al. MISMARPE protocol: minimally invasive surgical and miniscrew-assisted rapid palatal expansion. Dental Press J Orthod. 2024;29(3). https://doi.org/10.1590/2177-6709.29.3.e24spe3
- 14. Wilmes B, Ludwig B, Vasudavan S, Nienkemper M, Drescher D. The T-Zone: Median vs. Paramedian Insertion of Palatal Mini-Implants. Journal of Clinical Orthodontics [Internet]. 2016 Sep; 9:543–51.
- 15. Hamedi Sangsari A, Sadr-Eshkevari P, Al-Dam A, Friedrich RE, Freymiller E, Rashad A. Surgically Assisted Rapid Palatomaxillary Expansion With or Without Pterygomaxillary Disjunction: A Systematic Review and Meta-Analysis. J Oral Maxillofac Surg. 2016 Feb;74(2):338–48. https://doi.org/10.1016/j.joms.2015.06.161
- 16. Yi F, Liu S, Lei L, Liu O, Zhang L, Peng Q, Lu Y. Changes of the upper airway and bone in microimplant-assisted rapid palatal expansion: A cone-beam computed tomography (CBCT) study. J Xray Sci Technol. 2020;28(2):271–283 https://doi.org/10.3233/XST-190597
- 17. Garrett BJ, Caruso JM, Rungcharassaeng K, Farrage JR, Kim JS, Taylor GD. Skeletal effects to the maxilla after rapid maxillary expansion assessed with cone-beam computed tomography. Am J Orthod Dentofacial Orthop. 2008 Jul;134(1):8–9 https://doi.org/10.1016/j.ajodo.2007.11.024
- 18. Iacoangeli M, Di Rienzo A, Nocchi N, Balercia P, Lupi E, Regnicolo L, Di Somma LG, Alvaro L, Scerrati M. Piezosurgery as a further technical adjunct in minimally invasive supraorbital keyhole approach and lateral orbitotomy. J Neurol Surg A Cent Eur Neurosurg. 2015 Mar;76(2):112–8. doi:10.1055/s-0034-1368685. Epub 2014 Feb 19. PMID: 24554609. https://doi.org/10.1055/s-0034-1368685
- 19. Iacoangeli M, Neri P, Balercia P, Lupi E, Di Rienzo A, Nocchi N, Alvaro L, Scerrati M. Piezosurgery for osteotomies in orbital surgery: Our experience and review of the literature. Int J Surg Case Rep. 2013;4(2):188–91. doi:10.1016/j.ijscr.2012.11.006. Epub 2012 Nov 17. PMID: 23276764; PMCID: PMC3540226. https://doi.org/10.1016/j.ijscr.2012.11.006
- 20. Javier E-N, María José G-O, Pablo E-L, Marta O-V, Martín R. Factors Affecting MARPE Success in Adults: Analysis of Age, Sex, Maxillary Width, and Midpalatal Suture Bone Density. Applied Sciences. 2024; 14(22):10590. https://doi.org/10.3390/app142210590
- 21. Laudemann K, Petruchin O, Mack MG, Kopp S, Sader R, Landes CA. Evaluation of surgically assisted rapid maxillary expansion with or without pterygomaxillary disjunction based upon preoperative and post-expansion 3D computed tomography data. Oral Maxillofac Surg. 2009 Sep;13(3):159–69. doi:10.1007/s10006-009-0167-3. PMID: 19714376. https://doi.org/10.1007/s10006-009-0167-3
- 22. Bays RA, Greco JM (1992) Surgically assisted rapid palatal expansion: an outpatient technique with long term stability. J Oral Maxillofac Surg 50:266–270 https://doi.org/10.1016/0278-2391(92)90352-Z
- 23. Hamedi-Sangsari A, Chinipardaz Z, Carrasco L. Following Surgically Assisted Rapid Palatal Expansion, Do Tooth-Borne or Bone-Borne Appliances Provide More Skeletal Expansion and Dental Expansion? J Oral Maxillofac Surg. 2017 Oct;75(10):2211–2222. doi:10.1016/j.joms.2017.04.019. Epub 2017 Apr 25. PMID: 28531377. https://doi.org/10.1016/j.joms.2017.04.019
- 24. Mirko Martelli, Wanda Lelia Russomanno, Stefano Di Vecchio, Marco Gargari, Patrizio Bollero, Liliana Ottria, Alessandro Dolci, Francesco Gianfreda 119–123 Orthodontic treatment from childhood to adolescence with minimally invasive therapy correction of atypical swallowing and dental alignment. A case report Oral and Imlantology December 6, 2024 DOI:https://doi.org/10.11138/oi.v16i3.56
- 25. Lin L, Ahn HW, Kim SJ, Moon SC, Kim SH, Nelson G. Tooth-borne vs bone-borne rapid maxillary expanders in late adolescence. Angle Orthod. 2015 Mar;85(2):253–62. doi:10.2319/030514-156.1. Epub 2014 Dec 9. PMID: 25490552; PMCID: PMC8631879. https://doi.org/10.2319/030514-156.1
- 26. Eduardo Basáñez Ribera, Raymundo Ramírez Lugo, Roberto Peña Ruiz, Beatriz Aldape Barrios, Gianluca Botticelli, Thomas Werner Graber, Giovanni Falisi, Ettore Lupi, Enzo Iacomini, Sofia Rastelli, Stefano Mummolo Prosthetic upper jaw restoration with zygomatic and conventional implants in a patient with a giant cell lesion Oral and Imlantology April 16, 2025 https://doi.org/10.11138/oi.v17i2.145 https://doi.org/10.11138/oi.v17i2.145
- 27. Gogna N, Johal AS, Sharma PK. The stability of surgically assisted rapid maxillary expansion (SARME): A systematic review. J Craniomaxillofac Surg. 2020 Sep;48(9):845–852. doi:10.1016/j.jcms.2020.07.003. Epub 2020 Jul 14. PMID: 32732085. https://doi.org/10.1016/j.jcms.2020.07.003
