![]() |
Annali di Stomatologia | 2025; 16(3): 252-256 ISSN 1971-1441 | DOI: 10.59987/ads/2025.3.252-256 Articles |
Central giant cell multifocal granuloma: a case report
Abstract
To present a rare case of synchronous central giant cell granuloma (CGCG) lesions affecting both the maxilla and mandible in a non-syndromic patient without hyperparathyroidism, and to analyze the outcomes of conservative surgical management.
A 67-year-old male patient presented with progressive swelling of the right maxillary region. Clinical examination, radiographic imaging (CT), and histopathological analysis confirmed the diagnosis of CGCG in both the maxilla and the right mandibular angle. Serum levels of parathyroid hormone (PTH), calcium, and phosphate were measured to exclude hyperparathyroidism. The surgical removal of both lesions was performed under general anesthesia, followed by conservative bone curettage.
Both lesions were enucleated, preserving the surrounding structures. The postoperative course was complicated by delayed mucosal healing and facial ecchymosis, attributed to the patient’s comorbid conditions and anticoagulant therapy. Complete healing occurred after two months. At three-year follow-up, clinical and radiographic assessments showed no signs of recurrence.
This case highlights an unusual presentation of synchronous CGCGs in the maxilla and mandible without associated systemic or syndromic conditions. Despite the multifocal nature of the lesions and the patient’s compromised systemic health, conservative surgical treatment yielded a positive outcome. These findings support the effectiveness of enucleation and curettage in selected cases and emphasize the importance of multidisciplinary evaluation and follow-up.
Keywords: Central Giant Cell Granuloma, Noonan syndrome, Jaffe’s reparative granuloma
Introduction
Multiple lesions of different types can occur in the jawbones. Accurately determining the cause of these lesions is essential, as a correct diagnosis combined with timely and suitable treatment usually leads to an excellent prognosis. Therefore, it is necessary to integrate clinical, radiological, and histopathological data [1].
Giant cell reparative granuloma (GCRG), also known as central giant cell granuloma (CGCG), was first identified by Jaffe in 1953 as a reparative lesion [2]. This classification indicated that the lesion was not a malignant tumor but rather a reactive process, often occurring after trauma.
CGCG can occur at any age, although it mainly affects younger people, especially those under 30, and is more commonly seen in pediatric patients. A higher incidence has been reported in females than males [3].
The lesion most often affects the mandible, especially around the mandibular angle, and is usually solitary. However, multiple lesions have been observed, frequently linked to a syndrome such as Noonan syndrome or with systemic diseases like hyperparathyroidism [4].
CGCG is often found accidentally through radiographic imaging. It appears as a large radiolucent area, often with multiple chambers. This type of radiographic appearance requires differential diagnosis from other similar odontogenic lesions, such as ameloblastoma or odontogenic cysts. The lesion may present as a painless, expanding mass [5].
Less commonly, peripheral giant cell granulomas may be seen. Unlike central lesions, these form within the oral mucosa itself.
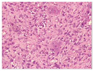
Histologically, CGCGs are characterized by a proliferative fibrous stroma with hemorrhagic areas and hemosiderin deposits. Numerous multinucleated giant cells—morphologically resembling osteoclasts— are interspersed within the lesion, along with areas of reactive bone formation leading to osteolysis. Although the lesion usually follows a localized and benign course, in some cases, it can exhibit aggressive behavior [6].
Microscopically, CGCG exhibits a proliferation of spindle-shaped fibroelastic cells and numerous multinucleated giant cells with centrally clustered nuclei resembling osteoclasts. Additional histological features may include focal hemorrhages, hemosiderin-laden macrophages, and signs of bone regeneration [7].
This report presents a case of CGCG co-occurring in two distinct locations—the maxilla and mandible—in the absence of hyperparathyroidism or any associated syndromic conditions.
Case presentation
In September 2020, patient A.F. visited our department reporting a swelling in the right maxillary region, which first appeared about four months earlier and gradually worsened. The patient’s medical history included several systemic conditions, such as right vocal cord paralysis of unknown cause (lasting for approximately five years), type II diabetes mellitus, advanced heart disease previously treated with coronary revascularization, and a recent history of ischemic cerebrovascular disease.
On clinical examination, a poorly defined, non-tender swelling was observed on the right side of the face and upper lip. The skin over the area appeared intact. Inside the mouth, there was swelling in the right superior vestibular sulcus. The overlying oral mucosa was slightly erythematous.
A CT scan (Figure 1) showed an extensive osteolytic lesion in the right maxilla, causing obliteration of the maxillary sinus and erosion of both the buccal and palatal cortical plates. A second, well-defined round osteolytic lesion was also observed at the right mandibular angle. This lesion had radiologic features similar to those of the maxillary lesion.
An incisional biopsy of the maxillary lesion was performed, and histological examination indicated a diagnosis of central giant cell granuloma (CGCG).
Following this diagnosis, laboratory tests measured parathyroid hormone (PTH), calcium, and phosphate levels within normal limits.
After an anesthesiologic risk assessment, a surgical plan was developed to remove both lesions.
Under general anesthesia with nasotracheal intubation, an incision was made along the right maxillary alveolar crest. Upon elevating the mucosa, extensive erosion of the cortical bone was observed. The lesion was easily removed along a well-defined cleavage plane separating it from the surrounding tissues. The residual bone was then contoured to restore the anatomical profile while preserving the integrity of the nasal mucosa. Hemostasis was achieved, and the surgical site was closed with sutures (Figure 2).
Subsequently, an incision was made in the right retromolar trigone to expose the mandibular angle region, where thinning and expansion of the buccal cortex were observed. A bone window was created to access the lesion, which appeared brownish and lacked a capsule. The mass was enucleated (figure 3) along its cleavage plane, followed by hemostasis and closure of the surgical site (Figure 4).
Histological analysis of both specimens confirmed the diagnosis of central giant cell granuloma (Figures 5,6).
The postoperative course was complicated by delayed healing of intraoral wounds and facial ecchymosis, partly due to the patient’s ongoing systemic medical therapies. During early postoperative follow-up, a minor mucosal dehiscence was observed in the anterior maxillary region and resolved quickly with proper oral hygiene and conservative management.
Two months after surgery, complete healing of the surgical wounds was observed.
The patient demonstrated good local healing at a three-year clinical follow-up, with no signs of disease recurrence.
Discussion
Central giant cell granuloma (CGCG) is a benign intraosseous lesion that contains multinucleated giant cells within a fibrous stroma. Although it more often affects the mandible, maxillary involvement has also been reported in the literature [8]. CGCG usually occurs in individuals under 30 and is more common in females [9]. However, our case was different, involving an older male patient, highlighting the variation in demographic presentation.
Radiographically, CGCG appears as a unilocular or multilocular radiolucency, often linked to expansion and thinning of the cortical bone, root resorption, and sometimes, perforation of the cortical plates [10]. In our patient, the lesion resulted in obliteration of the maxillary sinus and erosion of both buccal and palatal cortices. Additionally, a second asymptomatic lesion was identified in the right mandibular angle during imaging, consistent with documented cases of multifocal involvement [11].
Histologically, CGCG is characterized by a proliferation of mononuclear stromal cells interspersed with numerous osteoclast-like multinucleated giant cells and areas of hemorrhage and hemosiderin deposition [12]. These features are crucial for distinguishing CGCG from other giant cell-rich lesions, such as brown tumors of hyper-parathyroidism. In our case, laboratory values for calcium, phosphate, and parathyroid hormone were within normal limits, ruling out this differential diagnosis [13].
Surgical curettage remains the standard treatment for CGCG, with a generally favorable prognosis and low recurrence when complete excision is achieved [14]. Both lesions in our patient were surgically removed under general anesthesia. Postoperative healing was complicated by delayed mucosal repair and ecchymosis, likely due to systemic comorbidities and anticoagulant therapy. Nonetheless, complete recovery was reached within two months, and no signs of recurrence were observed at the one-year follow-up.
Our results align with those reported by Lazim et al., who reported successful surgical outcomes in cases of CGCG involving both the mandible and maxilla. Their study highlighted the importance of histopathological confirmation and the effectiveness of surgical management [8]. Similarly, Rawashdeh et al. reported cases of maxillary CGCG in patients managed successfully with enucleation, showing very low recurrence at follow-up, which supports the efficacy of our approach [15].
CGCGs exhibit a wide clinical range and resemble other odontogenic or non-odontogenic lesions. Precise diagnosis requires integrating clinical, radiographic, and histologic data. Our case shows that surgical treatment is effective even in patients with significant systemic diseases, as long as comprehensive diagnostic and perioperative management strategies are employed [16].
Conclusion
The case highlights the rare occurrence of synchronous primary lesions in both the maxilla and mandible without syndromic features or hyperparathyroidism. The uniformity of the lesions and their clinical and radiographic appearance required a differential diagnosis with mesenchymal-origin neoplasms, leading to an incisional biopsy for definitive assessment. Although the literature indicates a higher recurrence rate in multifocal cases, no evidence of disease relapse was observed in this case, despite both lesions being treated with a very conservative approach—simple enucleation followed by curettage of the surrounding bone. Unfortunately, our follow-up ends here, as the patient passed away a few days ago due to a cerebral ischemic event.
Reference
- 1. Kruse-Lösler B, Diallo R, Gaertner C, Mischke KL, Joos U, Kleinheinz J. Central giant cell granuloma of the jaws: a clinical, radiologic, and histopathologic study of 26 cases. Oral Surg Oral Med Oral Pathol Oral Radiol Endod. 2006 Mar;101(3):346–54. doi:10.1016/j.tripleo.2005.02.060. https://doi.org/10.1016/j.tripleo.2005.02.060 PMid:16504869
- 2. Jaffe HL. Giant-cell reparative granuloma, traumatic bone cyst, and fibrous (fibro-osseous) dysplasia of the jawbones. Oral Surg Oral Med Oral Pathol. 1953;6(1):159–75. https://doi.org/10.1016/0030-4220(53)90151-0 PMid:13026160
- 3. Güngörmüs M, Akgül HM. Central giant cell granuloma of the jaws: a clinical and radiologic study. J Contemp Dent Pract. 2003 Aug 15;4(3):87–97. PMID: 12937599. https://doi.org/10.5005/jcdp-4-3-87 PMid:12937599
- 4. van Damme PA, Mooren RE. Differentiation of multiple giant cell lesions, Noonan-like syndrome, and (occult) hyperparathyroidism. Case report and review of the literature. Int J Oral Maxillofac Surg. 1994 Feb;23(1):32–6. doi:10.1016/s0901-5027(05)80323-6. https://doi.org/10.1016/S0901-5027(05)80323-6 PMid:8163857
- 5. Avril L, Lombardi T, Ailianou A, Burkhardt K, Varoquaux A, Scolozzi P, Becker M. Radiolucent lesions of the mandible: a pattern-based approach to diagnosis. Insights Imaging. 2014 Feb;5(1):85–101. doi:10.1007/s13244-013-0298-9. https://doi.org/10.1007/s13244-013-0298-9 PMid:24323536 PMCid:PMC3948901
- 6. Rhou YJJ, Wang CJ, Nguyen M, Vanderniet JA, Munns CF, Coleman H, Kim J, Holmes-Walker DJ, Lim L, Girgis CM. Clinical and Radiologic Response of Central Giant Cell Granuloma to Denosumab: A 6-Year Prospective Observational Study. Calcif Tissue Int. 2022 Apr;110(4):464–474. https://doi.org/10.1007/s00223-021-00935-z PMid:35088118
- 7. Jeyaraj P. Management of Central Giant Cell Granulomas of the Jaws: An Unusual Case Report with Critical Appraisal of Existing Literature. Ann Maxillofac Surg. 2019 Jan–Jun;9(1):37–47. doi:10.4103/ams.ams_232_18. https://doi.org/10.4103/ams.ams_232_18 PMid:31293928 PMCid:PMC6585231
- 8. Lazim A, Sakshi F, Amer SM, Mallikarjuna VS, Zenezan D, Kuklani R, Proca D. Central Giant Cell Granuloma of the Mandible and Maxilla: A Clinicopathological Study of 21 Cases. Cureus. 2024 Jun 24;16(6):e63043. doi:10.7759/cureus.63043. https://doi.org/10.7759/cureus.63043
- 9. Stavropoulos F, Katz J. Central giant cell granulomas: a systematic review of the radiographic characteristics by adding 20 new cases. Dentomaxillofac Radiol. 2002 Jul;31(4):213–7. Doi:10.1038/sj.dmfr.4600700. https://doi.org/10.1038/sj.dmfr.4600700 PMid:12087437
- 10. Tabatabaei S, Paknahad M, Garmabi J, Ghorbani F. Central giant cell granuloma in the posterior region of mandible mimicking a fibro-osseous lesion and hemangio-ma: a case report. J Med Case Rep. 2024 May 21;18(1):255. doi:10.1186/s13256-024-04571-7. https://doi.org/10.1186/s13256-024-04571-7 PMid:38769587 PMCid:PMC11106875
- 11. R Sandhya T, Avinash T, Snehal D, Neha T, Uma M. Multifocal Central Giant Cell Granuloma - A Case Report. Iran J Pathol. 2016 Summer;11(3):276–280.
- 12. Kruse-Lösler B, Diallo R, Gaertner C, Mischke KL, Joos U, Kleinheinz J. Central giant cell granuloma of the jaws: a clinical, radiologic, and histopathologic study of 26 cases. Oral Surg Oral Med Oral Pathol Oral Radiol Endod. 2006 Mar;101(3):346–54. doi:10.1016/j.tripleo.2005.02.060. https://doi.org/10.1016/j.tripleo.2005.02.060 PMid:16504869
- 13. Eisenbud L, Stern M, Rothberg M, Sachs SA. Central giant cell granuloma of the jaws: experiences in the management of thirty-seven cases. J Oral Maxillofac Surg. 1988 May;46(5):376–84. doi:10.1016/0278-2391(88)90221-2. https://doi.org/10.1016/0278-2391(88)90221-2 PMid:3163371
- 14. Chrcanovic BR, Gomes CC, Gomez RS. Central giant cell lesion of the jaws: An updated analysis of 2270 cases reported in the literature. J Oral Pathol Med. 2018 Sep;47(8):731–739. doi:10.1111/jop.12730. https://doi.org/10.1111/jop.12730 PMid:29751369
- 15. Rawashdeh MA, Bataineh AB, Al-Khateeb T. Long-term clinical and radiological outcomes of surgical management of central giant cell granuloma of the maxilla. Int J Oral Maxillofac Surg. 2006 Jan;35(1):60–6. doi:10.1016/j.ijom.2005.03.005. https://doi.org/10.1016/j.ijom.2005.03.005 PMid:15876525
- 16. Junquera LM, Lupi E, Lombardía E, Fresno MF. Multiple and synchronous peri-pheral giant cell granulomas of the gums. Ann Otol Rhinol Laryngol. 2002 Aug;111(8):751–3. doi:10.1177/000348940211100817. https://doi.org/10.1177/000348940211100817 PMid:12184600
