![]() |
Annali di Stomatologia | 2025; 16(4): 434-440 ISSN 1971-1441 | DOI: 10.59987/ads/2025.4.434-440 Articles |
Topical application of platelet-rich fibrin in the management of chemoradiotherapy-induced oral mucositis: a retrospective analysis of clinical outcomes
Abstract
Background: Oral mucositis (OM) is a prevalent and debilitating complication arising from chemoradiotherapy in oncologic patients, characterized by painful ulcerations that significantly impair oral functions and quality of life. Platelet-rich fibrin (PRF), an autologous biomaterial rich in growth factors and cytokines, has shown promise in enhancing tissue regeneration and wound healing.
Objective: This retrospective study aims to evaluate topical PRF application’s clinical efficacy and safety in treating OM among patients undergoing chemotherapy and/or radiotherapy.
Methods: A total of 15 patients diagnosed with grade II–III OM were included in this analysis. PRF gel was prepared from autologous blood and applied topically to the mucosal lesions biweekly. Clinical outcomes were assessed based on lesion size reduction, pain relief (measured using a Visual Analog Scale), reepithelialization, and the occurrence of any adverse effects over a follow-up period of six months.
Results: The application of PRF resulted in a significant reduction in lesion size and pain levels, with complete reepithelialization observed after a median of three applications (range: 2–8). Two patients reported transient mild discomfort at the application site, which resolved spontaneously. One patient experienced a recurrence of OM at five months post-treatment. No severe adverse effects or secondary infections were noted.
Conclusion: Topical PRF application is a safe and effective adjunctive therapy for managing OM in chemoradiotherapy patients, promoting accelerated healing and symptomatic relief.
Keywords: Oral mucositis, Platelet-rich fibrin, Chemotherapy, Radiotherapy, Wound healing, Regenerative therapy
Introduction
Oral mucositis (OM) is a prevalent and often severe adverse effect associated with chemotherapy and radiotherapy, especially in patients undergoing treatment for head and neck malignancies. The condition is characterized by erythema, edema, and ulcerative lesions of the oral mucosa, which can result in significant pain, dysphagia, and an elevated risk of secondary infections. The incidence of OM varies, affecting approximately 40% of patients receiving standard-dose chemotherapy and up to 80% of those undergoing high-dose radiotherapy or hematopoietic stem cell transplantation.
The pathogenesis of oral mucositis (OM) is multifactorial, involving direct epithelial damage caused by cytotoxic agents, the release of pro-inflammatory cytokines, and the generation of reactive oxygen species. These processes ultimately lead to mucosal injury and ulceration. Current management strategies primarily focus on symptomatic relief, including the use of analgesics, antimicrobial mouthwashes, and cryotherapy. However, these interventions frequently demonstrate limited efficacy, thereby emphasizing the necessity for the development of novel therapeutic approaches (2–3).
Platelet-rich fibrin (PRF) is a second-generation platelet concentrate obtained from autologous blood without the use of anticoagulants. It is abundant in platelets, leukocytes, and an array of growth factors, including platelet-derived growth factor (PDGF), transforming growth factor-beta (TGF-β), and vascular endothelial growth factor (VEGF). These bioactive constituents play a crucial role in tissue regeneration, angiogenesis, and anti-inflammatory mechanisms. The employment of PRF across various medical disciplines has demonstrated significant improvements in wound healing and tissue regeneration, establishing its potential as a promising modality for the management of OM (4–11).
This retrospective study evaluates the clinical outcomes of topical PRF application in patients with chemoradiotherapy-induced OM, with the aim of assessing its efficacy and safety as an adjunctive treatment modality.
Materials and methods
Study design and patient selection
This retrospective analysis was conducted at the Department of Oral Pathology, Tor Vergata University Hospital, Rome, Italy. Fifteen patients (8 males and 7 females; mean age: 67.5 ± 8.1 years) diagnosed with grade II–III OM, according to the World Health Organization (WHO) Oral Toxicity Scale, were included. All patients were undergoing chemotherapy and/or radiotherapy for various malignancies and presented with symptomatic OM lesions refractory to standard symptomatic treatments. Exclusion criteria encompassed patients with hematological disorders, active infections, or those on anticoagulant therapy. Informed consent was obtained from all participants, and the study was conducted in compliance with the Declaration of Helsinki.
PRF Preparation and application
Autologous PRF was prepared following the protocol described by Choukroun et al. Briefly, (10–11) mL of whole blood was drawn from each patient without anticoagulants and immediately centrifuged at 3000 rpm for 10 minutes.(Figure1) The resultant PRF clot was separated from the red blood cell layer and gently compressed to form a membrane. The PRF membrane was then cut into small pieces and homogenized to create a gel-like consistency suitable for topical application.
Utilizing a sterile spatula, the PRF gel was meticulously applied directly to the mucositis lesions. Treatments were conducted on a biweekly basis (every 14 days) until complete healing was achieved or a maximum of eight applications was reached. Patients were advised to abstain from eating or drinking for 30 minutes following each application to ensure optimal adherence and efficacy.
Outcome Measures and Statistical Analysis
Clinical outcomes were assessed at each visit through:
- Lesion Size Reduction: evaluated using a calibrated periodontal probe.
- Pain Assessment: using a 10-point Visual Analog Scale (VAS).
- Reepithelialization: visually confirmed by clinical examination.
Due to the limited sample size (n = 15), all patient-level data are presented comprehensively in Tables 1 and 2. Descriptive statistics (mean ± SD) were computed for Visual Analog Scale (VAS) scores at baseline, following the second percutaneous radiofrequency (PRF) application, and at the final visit. A paired t-test was employed to compare variations in pain scores across different time points, with statistical significance designated at p < 0.05.
Results
All fifteen patients completed the treatment protocol and follow-up assessments. The lesions were predominantly located on the buccal mucosa (n = 6), tongue (n = 4), labial commissures (n = 3), and upper lip (n = 2). The average duration from the onset of mucositis to the initial application of PRF was 6.1 ± 1.4 days.
Patient Characteristics
The study cohort comprised 15 patients (8 males and 7 females) with a mean age of 67.5 years (±8.1), all diagnosed with WHO grade II or III oral mucositis. Lesions were situated across various intraoral regions, including the buccal mucosa (n = 6), tongue (n = 4), labial commissures (n = 3), and upper lip (n = 2), reflecting the typical mucosal involvement observed in patients undergoing chemoradiotherapy for head and neck malignancies. The average duration from mucositis onset to initial PRF application was 6.1 ± 1.4 days, indicating early intervention subsequent to the failure of conventional management. (Table 1)
This distribution underscores the clinical diversity of OM presentation and the importance of timely intervention to prevent functional impairment.
Clinical outcomes
The topical PRF application demonstrated notable clinical improvement in both subjective symptoms and objective signs of mucosal healing. Pain levels, as assessed by the Visual Analog Scale (VAS), markedly diminished after only two applications, with most patients experiencing near-complete resolution of pain by the conclusion of the treatment regimen.
Importantly, 93.3% (14/15) of patients achieved complete epithelial regeneration, with granulation tissue typically appearing by the second visit. The average number of PRF applications required for complete healing was 3, although this ranged from 2 to 8 based on initial lesion severity. (Table 2)
| Patient ID | Sex | Age | Lesion Location | WHO Grade | Days to PRF Start |
|---|---|---|---|---|---|
| 1 | M | 60 | Buccal Mucosa | II | 6 |
| 2 | F | 64 | Labial Commissure | III | 6 |
| 3 | M | 63 | Labial Commissure | III | 6 |
| 4 | M | 68 | Buccal Mucosa | II | 6 |
| 5 | M | 69 | Buccal Mucosa | III | 7 |
| 6 | F | 68 | Labial Commissure | II | 7 |
| 7 | M | 79 | Tongue | III | 6 |
| 8 | M | 79 | Upper Lip | II | 7 |
| 9 | M | 47 | Buccal Mucosa | III | 5 |
| 10 | F | 72 | Upper Lip | II | 6 |
| 11 | M | 65 | Tongue | III | 5 |
| 12 | M | 66 | Tongue | III | 5 |
| 13 | M | 55 | Tongue | II | 6 |
| 14 | M | 79 | Buccal Mucosa | III | 7 |
| 15 | F | 67 | Tongue | III | 5 |
These findings underscore the capacity of PRF to facilitate swift mucosal healing and enhance the quality of life among oncologic patients suffering from OM.
- Epithelial Healing:
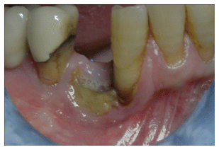
Complete epithelialization was observed in 14 out of 15 patients within a median of 3 PRF applications (range: 2–8). In most cases, the first clinical signs of granulation tissue and epithelial closure appeared as early as the second visit. (Figure 2-3-4) - Pain Reduction:
Mean VAS scores decreased from 7.8 ± 1.2 at baseline to 2.1 ± 0.9 following the second application and further declined to 0.4 ± 0.2 by the final application. Patients reported significant improvements in oral function, including pain-free mastication and speech. - Recurrence and Tolerance:
One patient experienced recurrence of mucositis at 5 months post-treatment, likely associated with a second round of chemoradiotherapy. No systemic infections or allergic reactions were reported. Two patients reported mild, transient burning sensations after application, which resolved spontaneously.
| Patient ID | Baseline VAS | VAS After 2nd Application | Final VAS | Number of PRF Applications | Complete Healing | Recurrence |
|---|---|---|---|---|---|---|
| 1 | 8.2 | 2.7 | 1.0 | 6 | Yes | No |
| 2 | 8.4 | 2.5 | 0.7 | 8 | Yes | No |
| 3 | 7.9 | 2.1 | 0.6 | 4 | Yes | No |
| 4 | 6.0 | 0.8 | 0.0 | 4 | Yes | No |
| 5 | 8.7 | 4.1 | 2.5 | 7 | Yes | No |
| 6 | 6.8 | 1.7 | 0.0 | 5 | Yes | No |
| 7 | 7.2 | 1.7 | 0.0 | 3 | Yes | No |
| 8 | 7.7 | 2.2 | 0.0 | 3 | Yes | No |
| 9 | 7.5 | 2.1 | 0.1 | 6 | Yes | No |
| 10 | 5.9 | 1.0 | 0.0 | 7 | No | No |
| 11 | 6.8 | 1.5 | 0.0 | 2 | Yes | No |
| 12 | 8.9 | 3.8 | 2.2 | 6 | Yes | Yes |
| 13 | 8.6 | 2.6 | 0.5 | 7 | Yes | No |
| 14 | 8.6 | 2.8 | 0.8 | 5 | Yes | No |
| 15 | 8.0 | 2.4 | 0.7 | 5 | Yes | No |
Statistical analysis
A descriptive and inferential analysis was conducted to assess the clinical impact of PRF application on pain alleviation and healing outcomes.
- Pain Reduction:
Pain levels, as assessed by the Visual Analog Scale (VAS), demonstrated a statistically significant decline throughout the course of treatment. The mean baseline VAS score was 7.8 ± 1.2, which decreased to 2.1 ± 0.9 following the second Pulsed Radiofrequency (PRF) application, and further diminished to 0.4 ± 0.2 at the final visit. A paired t-test comparing the baseline and final scores confirmed a significant improvement (p < 0.001). - Healing Time:
The median number of PRF applications required to complete epithelialization was 3 (range: 2–8). Overall, 14 out of 15 patients (93.3%) achieved complete mucosal healing. One patient (6.7%) experienced recurrence at five months post-treatment, coinciding with a second cycle of chemoradiotherapy. - Adverse Effects:
Two patients reported a mild and transient burning sensation at the application site, which resolved spontaneously without intervention. Throughout the study, no systemic infections, allergic reactions, or complications related to venipuncture were observed.
Discussion
The findings from this retrospective analysis substantiate the hypothesis that the topical application of platelet-rich fibrin (PRF) constitutes an effective and safe therapeutic adjunct in the management of chemoradiotherapy-induced oral mucositis (OM). The notable decrease in pain and accelerated reepithelialization observed within this cohort highlight the clinical potential of PRF in promoting mucosal healing and enhancing patient comfort (12–15).
Clinical effectiveness and healing outcomes
PRF demonstrated a noteworthy therapeutic benefit, with a significant reduction in mean pain scores from 7.8 ± 1.2 at baseline to 2.1 ± 0.9 following the second application, and 0.4 ± 0.2 at the conclusion of treatment (p < 0.001). This rapid alleviation of pain resulted in enhanced oral function, including the ability to eat and speak comfortably. Furthermore, 14 out of 15 patients (93.3%) achieved complete mucosal healing, with a median of 3 applications required (range: 2–8), thereby confirming the regenerative potential of PRF when administered during the early stages of OM (14–18).
These findings align with prior reports emphasizing the advantageous impacts of autologous platelet concentrates in tissue repair and the modulation of inflammation (19–23).
Mechanisms of action
The biological efficacy of PRF resides in its abundant content of growth factors, including platelet-derived growth factor (PDGF), transforming growth factor beta (TGF-β), and vascular endothelial growth factor (VEGF). These molecules work synergistically to facilitate angiogenesis, recruit fibroblasts, and promote epithelial cell proliferation—crucial processes for mucosal regeneration. Furthermore, the incorporation of leukocytes within the PRF matrix enhances local antimicrobial activity and controls inflammation, potentially aiding in the prevention of secondary infections in ulcerated tissues (24–26).
Unlike platelet-rich plasma (PRP), PRF does not necessitate the use of anticoagulants or additives, providing a sustained release of cytokines via its fibrin scaffold and thereby streamlining clinical procedures (27–33).
Comparison with other therapeutic modalities
Existing treatments for oral mucositis (OM)—such as low-level laser therapy, zinc supplementation, benzydamine rinses, and keratinocyte growth factor (palifermin)—exhibit considerable variability in their efficacy, accessibility, and cost. Certain treatments are contraindicated for patients undergoing specific chemotherapeutic agents or radiation therapies. Conversely, platelet-rich fibrin (PRF) is a readily available, autologous, and cost-effective material that can be conveniently prepared chairside without the need for complex equipment.
Its favorable safety profile and regenerative properties render it an attractive option, especially in contexts with limited access to advanced therapies.
Study limitations
Despite promising results, several limitations must be acknowledged. First, the absence of a control group restricts the ability to compare PRF to standard care directly. Second, the small sample size (n = 15) may limit generalizability. Third, subjective measures like VAS pain scores can introduce variability, although consistency across patients supports the robustness of observed effects. Lastly, venous access for blood collection may be challenging in severely debilitated or thrombocytopenic patients, limiting applicability in some cases.
Future randomized controlled trials (RCTs), ideally multi-center and with standardized mucositis grading systems and objective endpoints, must validate these preliminary findings and establish clinical guidelines.
Conclusion
The topical application of platelet-rich fibrin represents a promising adjunctive therapy in the management of oral mucositis among oncologic patients. Its autologous origin, regenerative capabilities, ease of application, and minimal adverse effects position it as a compelling alternative or supplement to existing therapeutic approaches. Further research through rigorously designed randomized controlled trials (RCTs) will be imperative to substantiate its role in supportive oncology and to develop evidence-based clinical guidelines.
References
- 1. Gupta S, Paliczak A, Delgado D. Evidence-based indications of platelet-rich plasma therapy. Expert Rev Hematol. 2021;14(1):97–108. doi:10.1080/17474086.2021.1860002 https://doi.org/10.1080/17474086.2021.1860002
- 2. Lalla RV, Bowen J, Barasch A, et al. MASCC/ISOO clinical practice guidelines for the management of mucositis secondary to cancer therapy. Cancer. 2014;120(10):1453–1461. doi:10.1002/cncr.28592 https://doi.org/10.1002/cncr.28592
- 3. Dohan Ehrenfest DM, de Peppo GM, Doglioli P, Sammartino G. Slow release of growth factors and thrombospondin-1 in Choukroun’s platelet-rich fibrin (PRF): a gold standard to achieve for all surgical platelet concentrates technologies. Growth Factors. 2009;27(1):63–69. doi:10.1080/08977190802636713 https://doi.org/10.1080/08977190802636713
- 4. Minervini G, Franco R, Di Blasio M, Martelli M, Gargari M, Bollero P, Cicciù M. Prevalence of bruxism in patients affected by epilepsy: a systematic review and meta-analysis. Acta Odontol Scand. 2025 Apr 2;84:155–164. doi:10.2340/aos.v84.42959. PMID: 40171773; PMCID: PMC12056371. https://doi.org/10.2340/aos.v84.42959
- 5. Minervini G, Franco R, Martelli M, Hafedh S, Maddalena Marrapodi M, Di Blasio M, Bollero P, Cicciù M. Low-level laser treatment’s ability to reduce dry socket pain. Acta Odontol Scand. 2024 Nov 12;83:631–641. doi:10.2340/aos.v83.42261. PMID: 39530606; PMCID: PMC11633036. https://doi.org/10.2340/aos.v83.42261
- 6. Pomella, S.; Melaiu, O.; Dri, M.; Martelli, M.; Gargari, M.; Barillari, G. Effects of Angiogenic Factors on the Epithelial-to-Mesenchymal Transition and Their Impact on the Onset and Progression of Oral Squamous Cell Carcinoma: An Overview. Cells 2024, 13, 1294. https://doi.org/10.3390/cells13151294 https://doi.org/10.3390/cells13151294
- 7. Ceruso FM, Ottria L, Martelli M, Gargari M, Barlattani A Jr. Transgingival implants with a convergent collar (PRAMA); surgical and screwed prosthetic approach. A case report. J Biol Regul Homeost Agents. 2020 Jan–Feb;34(1 Suppl. 1):71–77. DENTAL SUPPLEMENT. PMID: 32064838.
- 8. Carlesi, T., Martelli, M., Gargari, M., Musumeci, F., D’Ercole, S., Malagnino, V.a., et al. (2022). Comparative evaluation of 4 root-end filling materials sealing ability in an in-vitro study. JOURNAL OF BIOLOGICAL REGULATORS & HOMEOSTATIC AGENTS, 36(2), 189–199 [10.23812/j.biol.regul.homeost.agents.202236.2S1.24]. https://doi.org/10.23812/j.biol.regul.homeost.agents.202236.2S1.24
- 9. Kobayashi E, Flückiger L, Fujioka-Kobayashi M, et al. Comparative release of growth factors from PRP, PRF, and advanced-PRF. Clin Oral Investig. 2016;20(9):2353–2360. doi:10.1007/s00784-016-1719-1 https://doi.org/10.1007/s00784-016-1719-1
- 10. Agren MS, Rasmussen K, Pakkenberg B, et al. Growth factor and proteinase profile of Vivo-stat platelet-rich fibrin. Vox Sang. 2014;107(1):37–43. doi:10.1111/vox.12116 https://doi.org/10.1111/vox.12116
- 11. Barlattani A Jr, Martelli M, Ceruso FM, Gargari M, Ottria L. Convergent implant transmucosal collar and healing abutment: aesthetics influence on soft tissues. A clinical study. J Biol Regul Homeost Agents. 2020 Jan–Feb;34(1 Suppl. 1):63–69. DENTAL SUPPLEMENT. PMID: 32064837.
- 12. Ottria, L., Barlattani, A.., Bollero,. P.., Gargari, M.., Gianfreda,. F.., D’Aurelio, A.., Giallaurito,. P.., & Martelli, M.. (2025). Exodontic surgery in patients with coagulation disorders: a litera-ture review. Annali Di Stomatologia, 16(2). https://doi.org/10.59987/ads/2025.2.164–168 https://doi.org/10.59987/ads/2025.2.164-168
- 13. Barnaba P, Rosa A, Gargari M, Martelli M. The Use of Bioceramics in Retrograde Apicectomy: A Systematic Review of Clinical Applications and Outcomes. Aust Endod J. Published online June 4, 2025. doi:10.1111/aej.12960 https://doi.org/10.1111/aej.12960
- 14. Tenenbaum HC, Shear NH. Cyclosporin-induced mucosal hyperplasia. Oral Dis. 2002;8(1):2–7. doi:10.1034/j.1601-0825.2002.080101.x
- 15. Rosa A, Cianconi G, De Angelis R, Pujia AM and Arcuri C (2025) Hypovitaminosis and its association with recurrent aphthous stomatitis: a comprehensive review of clinical correlations and diagnostic considerations. Front. Oral. Health 6:1520067. doi:10.3389/froh.2025.1520067 https://doi.org/10.3389/froh.2025.1520067
- 16. Miranda, Michele PhD*; Gianfreda, Francesco PhD†; Rosa, Alessio‡; Fiorillo, Luca PhD§,II,¶;Cervino, Gabriele PhD§; Cicciù, Marco DDS, PhD#; Bollero, Patrizio PhD**. Treatment of OralMucositis Using Platelet-Rich-Fibrin: A Retrospective Study on Oncological Patients. The Journal of Craniofacial Surgery 34(5):p 1527–1529, July/August 2023. | DOI:10.1097/SCS.0000000000009450 https://doi.org/10.1097/SCS.0000000000009450
- 17. Rosa A, Pujia AM, Arcuri C. Hyaluronic Acid Combined with Ozone in Dental Practice. Biomedicines. 2024; 12(11):2522. https://doi.org/10.3390/biomedicines12112522 https://doi.org/10.3390/biomedicines12112522
- 18. Choukroun J, Diss A, Simonpieri A, et al. Platelet-rich fibrin (PRF): a second-generation plate-let concentrate. Part IV: clinical effects on tissue healing. Oral Surg Oral Med Oral Pathol Oral Radiol Endod. 2006;101(3):e56–60. doi:10.1016/j.tripleo.2005.07.011 https://doi.org/10.1016/j.tripleo.2005.07.011
- 19. Fujioka-Kobayashi M, Miron RJ, Hernandez M, et al. Optimized platelet-rich fibrin with the low-speed concept: growth factor release, biocompatibility, and cellular response. J Periodontol. 2017;88(1):112–121. doi:10.1902/jop.2016.160443 https://doi.org/10.1902/jop.2016.160443
- 20. Yang X, Zhang Y, Wang K, et al. Efficacy of platelet-rich fibrin for wound healing in oral and maxillofacial surgery: a systematic review and meta-analysis. J Oral Maxillofac Surg. 2020;78(4):598–607. doi:10.1016/j.joms.2019.11.014 https://doi.org/10.1016/j.joms.2019.11.014
- 21. Nair RG, Reddy RS, Dinakar A, et al. Management of oral mucositis in cancer patients with platelet-rich fibrin: a randomized control trial. J Clin Diagn Res. 2017;11(6):ZC14–ZC17. doi:10.7860/JCDR/2017/26244.10020
- 22. Rosa, A., Franco, R., Miranda, M., Casella, S., D’Amico, C., Fiorillo, L., & Cervino, G. (2023). The roleof anxiety in patients with hereditary angioedema during oral treatment: a narrative https://doi.org/10.3389/froh.2023.1257703
- 23. Review. Frontiers in oral health, 4, 1257703. https://doi.org/10.3389/froh.2023.1257703 https://doi.org/10.3389/froh.2023.1257703
- 24. Villa A, Sonis ST. Mucositis: pathobiology and management. Curr Opin Oncol. 2015;27(3):159–164. doi:10.1097/CCO.0000000000000174 https://doi.org/10.1097/CCO.0000000000000174
- 25. Lopes NN, Petrilli AS, da Cruz LB, et al. Oral lesions in pediatric patients receiving chemotherapy. Oral Surg Oral Med Oral Pathol Oral Radiol Endod. 2006;102(4):e45–50. doi:10.1016/j.tripleo.2006.04.006 https://doi.org/10.1016/j.tripleo.2006.04.006
- 26. Picardi A, Ferraro AS, Miranda M, et al. Therapeutic efficiency ofvplatelet gel for the treatment of oral ulcers related to chronic graft versus host disease after allogeneic haematopoietic stem cell transplantation. Oral Implantol (Rome) 2017;10:398–405 https://doi.org/10.11138/orl/2017.10.4.398
- 27. Cantore S, Crincoli V, Boccaccio A, et al. Recent advances in endocrine, metabolic and immune disorders: mesenchymal stem cells (MSCs) and engineered scaffolds. Endocr Metab Immune Disord Drug Targets 2018;18:466–469 https://doi.org/10.2174/1871530318666180423102905
- 28. Hirase T, Ruff E, Surani S, et al. Topical application of platelet-rich plasma for diabetic foot ulcers: a systematic review. World J Diabetes 2018;9:172–179 https://doi.org/10.4239/wjd.v9.i10.172
- 29. Miranda M, Gianfreda F, Raffone C, et al. The role of platelet-rich fibrin (PRF) in the prevention of medication-related osteonecrosis 3of the jaw (MRONJ). Biomed Res Int 2021;38:684–692 https://doi.org/10.1155/2021/4948139
- 30. Rosa, A., Pujia, A. M., & Arcuri, C. (2024). Investigation of alveolar osteitis and the effectiveness of laser treatment: a unified Meta-analysis and review of the literature. BMC oral health, 24(1), 700. https://doi.org/10.1186/s12903-024-04461-w https://doi.org/10.1186/s12903-024-04461-w
- 31. Rosa, A., Miranda, M., Franco, R., Guarino, M. G., Barlattani, A., Jr, & Bollero, P. (2016).Experimental protocol of dental procedures In patients with hereditary angioedema: the role ofanxiety and the use of nitrogen oxide. ORAL & implantology, 9(2), 49–53.https://doi.org/10.11138/orl/2016.9.2.049
- 32. Barlattani A Jr, Martelli M, Ottria L, et al. Temporomandibular Joint and Lateral Pterygoid Muscle: Functional Considerations. J Craniofac Surg. Published online June 26, 2025. doi:10.1097/SCS.0000000000011598 https://doi.org/10.1097/SCS.0000000000011598
- 33. Franco, Rocco1; Rosa, Alessio2; Lupi, Ettore1; Capogreco, Mario1. The Influence of Dental ImplantRoughness on Biofilm Formation: A Comprehensive Strategy. Dental Hypotheses 14(3):p 90–92, July–September 2023. | DOI:10.4103/denthyp.denthyp_67_23 https://doi.org/10.4103/denthyp.denthyp_67_23
