![]() |
Annali di Stomatologia | 2025; 16(4): 416-427 ISSN 1971-1441 | DOI: 10.59987/ads/2025.4.416-427 Articles |
Evolution of zirconia materials and current applications for dental restorations: a narrative review
Abstract
Objective: This narrative review synthesizes the current literature on modern zirconia materials used for tooth-supported and implant-supported restorations. It provides an up-to-date review of the evolution of zirconia materials, modern manufacturing technologies, and clinical applications and provides guidance for clinicians’ decision-making.
Methods: A non-systematic literature review was conducted using PubMed/MEDLINE and Scopus on 30 June 2025. The following keywords were used: “zirconia” AND “dental” AND “restoration” OR “prosthesis”. Filters applied: from 30 June 2015 to 30 June 2025 (last 10 years). This study focused on reviews, clinical studies and in vitro studies concerning the evolution of zirconia materials and their current clinical applications for tooth-supported and implant-supported restorations, with particular reference to advances in manufacturing technologies and monolithic solutions.
Results and Discussion: Over the last ten years, the increase in demand for metal-free restorations and advances in CAD-CAM technologies have made zirconia an increasingly popular solution for tooth and implant-supported restorations. The first generations of zirconia materials were widely used in producing prosthetic restorations in the form of zirconia-ceramic systems. Still, they had aesthetic limitations and technical complications that affected their use. Recent developments in zirconia materials have focused on effectively balancing aesthetic and mechanical properties. Monolithic shade-gradient and strength-gradient multilayered zirconia materials represent the latest development, introduced to imitate the characteristics of natural teeth and potentially expand clinical applications in aesthetic areas. These materials, together with modern manufacturing and sintering technologies, which are increasingly efficient and offer potential advantages in terms of time and cost, are promising but, to date, lack clinical data.
Conclusions: Monolithic zirconia is a promising alternative to traditional tooth and implant-supported restoration systems. Furthermore, advances in manufacturing processes and simplified design make it an advantageous option in terms of time and cost. However, monolithic zirconia restorations lack medium- and long-term clinical data. For this reason, in-depth knowledge of the latest generation of zirconia materials is recommended regarding their chemical and physical properties and the technical manufacturing processes involved. This allows for the correct selection of materials, safe restoration design, a favorable prognosis, and aesthetic results in line with patient expectations.
Keywords: Zirconia materials, Monolithic Zirconia, Zirconia evolution, Zirconia restoration, Tooth-supported restoration, Implant-Supported restoration
Introduction
With its excellent aesthetic, mechanical and biocompatibility properties, Zirconia is a well-established material used to manufacture tooth-supported and implant-supported restorations. Continuous advances in CAD/CAM (computer-aided design /computer-aided manufacturing) technologies have simplified the production process and increased the quality of prosthetic restorations, helping to increase the number of users of zirconia materials. These advantages have made zirconia an increasingly popular alternative to traditional metal-ceramic systems, without the drawbacks of metal restorations, such as aesthetic limitations and potential allergic reactions (1,2). In recent years, research and technological development have driven the development of new materials, expanding the range of zirconia materials available, allowing clinicians to personalize their restorative solutions and meet the needs of individual patients. The ability of recent generations of zirconia to combine translucency and strength has increased the versatility of the material and boosted its popularity (3,4). However, the growing range of zirconia materials available requires constant updating on the clinical applications of these materials, for which we currently have little long-term clinical data (>10 years of follow-up) (5). This narrative review aims to synthesize the current literature on modern zirconia materials used for tooth-supported and implant-supported restorations. The purpose of this study is to provide an updated review of the evolution of zirconia materials, modern manufacturing technologies and their current clinical applications, and to provide guidance for clinicians’ decision-making.
Methods
A non-systematic literature review was conducted using PubMed/MEDLINE and Scopus on 30 June 2025. The following keywords were used: “zirconia” AND “dental” AND “restoration” OR “prosthesis”. Filters applied: from 30 June 2015 to 30 June 2025 (last 10 years). This study focused on reviews, clinical studies and in vitro studies concerning the evolution of zirconia materials and their current clinical applications for tooth-supported and implant-supported restorations, with particular reference to advances in manufacturing technologies and monolithic solutions.
Evolution of zirconia materials for dental applications
Zirconia is generally considered a ceramic material, but from a physical and chemical point of view, it is a metal oxide with unique ceramic properties, characterized by polymorphism and allotropy. For use in dental applications, zirconia is stabilized at room temperature by adding a specific percentage of yttrium oxide (Y2O3), which affects the crystalline structure and characteristics of the material (6). Tetragonal Polycrystalline Zirconia represents the first generation of zirconia introduced in dentistry stabilized with 3mol% Y2O3 and 0.25wt% alumina (Al2O3), called 3Y-TZP (3 mol% Y2O3 Tetragonal Zirconia Polycrystal). This material has a tetragonal structure and high mechanical performance: the presence of tetragonal zirconia grains gives the material a toughening mechanism called “Phase Transformation Toughening” (PTT), which results in a significant increase in fracture toughness (3.5–4.5 MPa·m1/2) and flexural strength (1200–1500 MPa) (7,8). The mechanism is based on the ability of the tetragonal structure to counteract the propagation of cracks through a phase transformation of the structure called tetragonal-monoclinic (T-M) associated with volumetric expansion. Although stress-induced transformation is the reason for zirconia’s mechanical performance, it also makes it susceptible to a phenomenon known as “low-temperature degradation” (LTD) or simply “aging”. This involves the T-M phase transformation in the surface of the zirconia exposed to the oral cavity, which propagates within the material through a nucleation and growth mechanism, generating microstructural defects and compromising the mechanical behavior and surface roughness of the material over time (9,10). Although the LTD mechanism introduces uncertainties about the long-term performance of the restoration, the data available on 3Y-TZP have shown acceptable durability in the oral cavity (4,11). Due to its mechanical properties and opacity, this material is caused by the birefringence of its tetragonal structure and the quantity and size of its alumina particles. It is suitable for fixed prosthetic frameworks and provides an aesthetic felspathic ceramic veneering. However, zirconia-ceramic systems are vulnerable to chipping and delamination of the veneering ceramic, with significantly higher numbers than metal-ceramic solutions (12). The technical complication attributable to significant differences in the coefficient of thermal expansion (CTE) between zirconia and ceramic veneering and the reduced fracture resistance of the latter have led to the search for alternative solutions in ‘full-contour’ zirconia (11,13). To this end, a second generation of more translucent 3Y-TZP zirconia was introduced in 2012, significantly reducing Al2O3 content (0.05wt%) and lowering porosity. This material has a tetragonal structure, improved translucency, flexural strength of 900–1300 MPa, and fracture toughness of 3.5–4.5 MPa·m1/2. The improved optical properties have made it possible to create zirconia restorations without necessarily resorting to veneering ceramics, which are therefore defined as “full-contour” or monolithic (9,13). However, the opacity of the material’s tetragonal birefringent crystals does not allow for aesthetic results comparable to glass ceramics, making it a second choice for the anterior area. The advantages of second-generation monolithic zirconia are wear resistance and, when polished to a mirror finish, low abrasiveness on opposing teeth, lower bacterial adhesion and better adhesion to soft tissues, making it advantageous for implant restorations (11). However, the reduced Al2O3 content and surface exposure to the oral environment expose it to a potentially higher susceptibility to the LTD phenomenon (4). In 2015, the third generation of zirconia was introduced with 5mol% Y2O3 and a higher sintering temperature. The result is a zirconia with a stable cubic-tetragonal microstructure characterized by a cubic phase of up to 53%, called cubic zirconia or 5Y-PSZ (13,14). The material’s structure allows for high translucency: in particular, the number and size of the crystals, which are larger than those of 3Y-TZP, favor light transmission, reducing the refraction effect and providing better translucency. However, an increase in the number of cubic crystals affects the crack propagation pattern, reducing flexural strength (400–900 MPa) and fracture toughness (from 2.2 to 2.7 MPa·m1/2) (7). The increased cubic phase in zirconia structure makes this material resistant to the LTD mechanism and less susceptible to aging (9,10). Due to its aesthetic and mechanical characteristics, 5Y-PSZ suits monolithic restorations in the anterior areas (11). However, the material’s mechanical properties do not meet the mechanical requirements for restorations in heavy-load areas. To overcome the mechanical limitations of 5Y-PSZ, the fourth generation of zirconia was introduced in 2017, characterized by a 4mol% Y2O3 content, which is referred to in the literature as 4Y-TZP or 4Y-PSZ. In this case, the cubic phase accounts for approximately 25% of the structure, providing the material with moderate translucency (30% translucency) but improved flexural strength (600–1000 MPa) and fracture toughness (2.5 to 3.5 MPa·m1/2) compared to 5Y-PSZ and better aging resistance compared to 3Y-TZP (7,13,14). Due to its optical and mechanical properties, this material represents an interesting compromise between 3Y-TZP and 5Y-PSZ. A recent study shows that 4Y-PSZ can be used in posterior areas when reasonable aesthetics must be combined with adequate mechanical strength (15). For the correct selection of zirconia materials, it is important to note that the Y2O3 content can also be expressed in weight percent (wt%). Therefore, 5–6wt% of Y2O3 is equivalent to 3mol%, 7–8wt% is equivalent to 4mol% and 8–9wt% is equivalent to 5mol% (16). In the evolutionary path of zirconia materials, current advances are geared towards imitating the characteristics of natural teeth, following the biomimetic principle (17). In this sense, the introduction of monolithic zirconia, defined as ‘multilayer’, created to imitate the color and translucency of natural teeth, should be understood (18). In 2015, multichromatic (or polychromatic) multilayer 3Y-TZP zirconia (M3Y) was introduced, also referred to by some authors as “shade-gradient multilayered 3Y-TZP”. In the same year, multichromatic multilayer 5Y-PSZ zirconia (M5Y) or “shade-gradient multilayered 5Y-PSZ” was introduced (4,11,19). These types of multilayer zirconia are defined as multichromatic because they are pre-pigmented in layers and have a uniform yttrium content and phase composition. With this material, the color gradient of the monolithic restoration determines a succession of color shades between the cervical and incisal portions of the restoration, imitating the natural tooth. The pigment compositions are the only difference between the layers, leading to significant differences in shade but not in the translucency and strength of the layers. Highly translucent M5Y is a successful material because it allows the production of monolithic crowns with high aesthetic value even without feldspathic ceramic veneering. The search for a compromise between translucency and strength in multilayer materials led 2016 to the introduction of the M3Y-5Y multilayer zirconia with hybrid composition, also known as “strength-gradient zirconia”. This zirconia is multichromatic but with variable yttria content and phase composition: this results in a monolithic restoration in which two materials (3Y-TZP and 5Y-PSZ) with different mechanical and translucency characteristics coexist, which we could therefore define as multi-resistant and multi-translucent (4,11,19). Subsequently, with the introduction of 4Y-PSZ, in 2018–2019, multichromatic multilayer 4Y-PSZ zirconia (also known as shade-gradient multilayered 4Y-PSZ) and M4Y-5Y hybrid multilayer zirconia were introduced to the market. In monolithic strength-gradient zirconia restorations, the incisal/occlusal area features zirconia with greater translucency (4/5Y-PSZ), while high-strength zirconia is used for the cervical area. From a microstructural point of view, there is a gradient in the yttria content from the cervical to the incisal sections, with a progressive increase in the cubic phase content and, therefore, in translucency (18,19,20). The combination of different generations of zirconia within the same material significantly impacts the aesthetic result of monolithic zirconia restorations. It represents a promising compromise regarding mechanical characteristics (21). However, even though multilayer systems offer a combination of the advantages of different generations of zirconia, further in vitro studies are needed to investigate potential critical issues regarding the strength of the material and its susceptibility to LTD. Furthermore, the recent introduction of these materials on the market means that medium- and long-term data on their clinical performance are unavailable. It should be noted that the favorable longitudinal prognosis of zirconia restorations is linked to their ability to withstand occlusal loads, which can vary from 200 to 1000 N (22). In this regard, it is important to consider that the fracture resistance of strength-gradient restorations is determined by the amount of weaker zirconia in the occlusal portion of the restoration and not by the stronger zirconia present in the cervical portion (16).
Modern manufacturing technologies
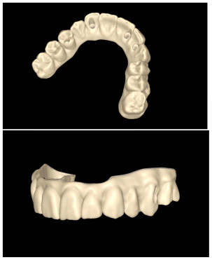
The production of a zirconia restoration originates from powders compacted into blocks or discs by dry, axial or isostatic pressing (23). Today’s most commonly used method is cold isostatic pressing at 200–250 MPa. The pressure used in compacting the powder determines the density of the material. It is a critical step regarding the possible formation of defects that can affect the mechanical reliability of the restoration (23). The most widely used method for obtaining zirconia structures is subtractive manufacturing (SM), which uses CAD-CAM technologies (Figures 1,2). SM production processes include the so-called “in-office chairside” for same-day restorations or the more traditional process involving dental laboratories or milling centers (24). Zirconia can be machined in sintered form (complex machining) or in pre-sintered form (soft machining) using computerized numerical control machines (25).
The milling process of sintered zirconia is considered complex and costly in economic terms, involving tool wear and long processing times, generating residual stresses that can promote the aging mechanism and negatively affect the mechanical properties of zirconia (8). Due to these critical issues, the pre-sintered blocks’ milling process remains the first choice (24). Pre-sintered blocks are milled to an oversized shape of approximately 20–25%. At this stage, the efficiency and number of milling axes in CAD/CAM machining devices directly influence the process’s precision, speed and versatility. These characteristics determine the quality of the dental restoration (2). Five-axis milling is the first choice for complex geometries that require extreme precision (2) (Figures 3,4). After the milling process, the zirconia undergoes sintering, which causes the material to contract and form its final microstructure (23). Conventional sintering takes approximately 8–12 hours, including the heating, holding and cooling phases (26). As an alternative to SM production techniques, additive manufacturing (AM) techniques, also known as 3D printing, have recently been introduced for zirconia materials (25,27). AM uses a computerized 3D model to produce restorations using a layer-by-layer approach (25). Unlike SM, which has high material waste, limited precision in producing complex details, and relatively high manufacturing time and costs, AM offers high accuracy and resolution, low production times, less material waste, and high efficiency (25,27–29). Most studies in the literature on zirconia dental restorations using AM focus on digital light processing (DLP) and stereolithography (SLA) techniques, similar technologies that use UV light and lasers, respectively (25). The current limitation of these technologies is that, in most cases, zirconia for AM has lower flexural strength values than conventional zirconia obtained by SM (200–831 MPa versus 900–1200 MPa) (27).
On the other hand, the values for hardness and fracture toughness are comparable (25). The data in the literature on AM are scarce and relatively recent (all published after 2010). AM is a promising technology, but to date, the final products are less reliable than those obtained by SM. SLA and DLP require studies identifying indications and clinical applicability in prosthetic restorations (27). The potential cost advantages of AM technology will likely drive the development and adoption of this technology (8).
Modern sintering technologies
The conventional zirconia sintering protocol, which involves slow heating and cooling phases (from 5°C to 10°C per minute) and high temperatures (from 1350 to 1600°C) with dwell times between 2 and 5 hours, can induce undesirable microstructural transformations in the material with alteration of mechanical and optical properties and also precludes the delivery of dental restorations on the same day (23,24,30). To make pre-sintered zirconia available chairside, “speed” and “high-speed” sintering protocols have recently been developed using dedicated, latest-generation ovens (24), allowing zirconia restorations to be delivered in a single appointment. Although high-speed sintering protocols currently lack precision, clinical, mechanical and optical performance studies, the available data are encouraging (30–33). However, one limitation of these protocols is that sintering parameters, with the exception of duration, are not always provided in full by manufacturers (31). Furthermore, further research is needed on the effectiveness and applicability of sintering parameters to new materials. Some authors argue that rapid sintering applied to certain types of zirconia or restorations with unsuitable geometric parameters can lead to structural defects or uneven densification (34–36). For this reason, it is crucial to select the type of zirconia suitable for rapid sintering and, if necessary, it is advisable to consult the manufacturer (23). To date, these technologies are dedicated to single dental restorations or FPDs. Among the rapid sintering protocols proposed as an alternative to conventional zirconia sintering is microwave (MW) sintering. The volumetric nature of MW heating allows for: uniform heat distribution; lower thermal stress; reduced sintering times (up to 6 times faster than conventional); uniform and better controlled microstructure; high material density; high surface quality; mechanical properties of the material comparable to conventional sintering; optical properties of the material similar to conventional sintering; reduced energy and processing costs (26,29,37,38). This technology currently lacks data on sintering protocols, which require further studies on the latest generation of zirconia materials.
Furthermore, the heating rate (30°C/min) is lower than some recent fast sintering protocols (~ 100°C/min). However, preliminary data are promising [26;37]. Regardless of the type of sintering used, it is essential to consider that the sintering temperature and dwell time are the main parameters that can influence the grain structure and mechanical and optical properties of zirconia materials, and multilayer materials seem to be more susceptible to this critical issue (39–42). In particular, high temperatures and long dwell times seem to increase grain size and translucency, at the expense of mechanical strength (8). Therefore, optimizing sintering parameters is crucial to balance translucency and strength in zirconia restorations (21), and this appears to be a critical point, particularly for the latest generation of strength-gradient zirconia materials due to their structural complexity. In this regard, it is helpful to consider that most manufacturers of zirconia materials often provide specific sintering temperatures and times based on the zirconia powder used (23).
Zirconia tooth-supported restorations
Over the past 50 years, metal-ceramic systems have been considered the gold standard for dental restorations regarding reliability and aesthetics (43). Changes in dental treatment requirements, increased demand for metal-free restorations, technological developments, and advances in dental materials have favored CAD/CAM workflows over conventional technologies, making zirconia an increasingly popular solution (44). Today, zirconia crowns are an established alternative to metal-ceramic crowns, encouraging survival rates. In particular, tooth-supported zirconia crowns have been found to have a 5-year survival rate of 91.2% with no statistically significant differences between zirconia-ceramic and metal-ceramic systems (45). Although some authors have found no significant difference between monolithic and veneered restorations in terms of survival and biological and technical complications, the use of monolithic zirconia can be considered an advantageous treatment for tooth-supported restorations with potentially fewer failures and complications than veneered zirconia restorations (46). The absence of veneering ceramic eliminates the unknowns associated with weak links between the structure and glass-ceramic and the incompatibility of the thermal expansion coefficient of the materials (46). A recent systematic review of CAD/CAM crowns in monolithic zirconia confirms that this material is viable for single crown restoration, particularly in the posterior area (47). Furthermore, an in vitro study reveals that monolithic zirconia crowns demonstrate better marginal adaptation than porcelain-veneered ones (48). Despite the significant lack of clinical data, monolithic zirconia restorations can be considered effective options for mitigating the incidence of technical complications and are already widely used in current clinical practice [44;5]. The mechanical properties of zirconia also allow it to be used as a framework material in tooth-supported fixed dental prostheses (FDPs). The material of choice for these solutions is 3Y-TZP, which is suitable for heavy-load areas due to its mechanical characteristics. It has been shown that posterior FDPs made of zirconia-ceramic can have clinical results at 10 years comparable to those of posterior metal-ceramic FDPs, with a survival rate of 91.3% (49). However, the limitation of these solutions is the chipping of the veneering ceramic, which at 51.7% is much more significant than the percentages exhibited by metal-ceramic FDPs (49). A recent systematic review on 3-unit posterior zirconia-ceramic FPDs concludes that these solutions represent a predictable treatment in the medium term, with a survival rate of 95.4% compared to 96.9% for metal-ceramic FPDs with comparable biological or mechanical complications, except for the technical complication of ceramic chipping, which is more common in zirconia-ceramic systems (50). Another contemporary study found that short- and medium-term evidence favors traditional metal-ceramic FDPs over zirconia-ceramic FDPs (51). Other authors state that, even though most of the studies examined have short follow-ups, zirconia restorations demonstrate relatively high success and survival rates, defining these solutions as a current clinical alternative that is acceptable from a mechanical and aesthetic point of view and feasible for both crowns and FPDs in the anterior and posterior areas (52). However, chipping the veneering ceramic remains the limitation of zirconia-ceramic systems (51,52). There appears to be a correlation between chipping and FDP length: the probability of chipping in 4- and 5-unit FDPs is 4.9 times higher than that observed in 3-unit FDPs (8). If designed correctly, the new generations of shade-gradient and strength-gradient zirconia materials (3,4) developed for monolithic restorations may be promising solutions for FPDs. A recent in vitro study shows that the latest generation of zirconia materials with appropriately designed connectors can be considered a promising and potentially reliable material for monolithic FDPs in heavy load-bearing areas (15). However, the recent introduction of these materials on the market means that medium- and long-term data on their clinical performance are unavailable. Clinical studies on monolithic zirconia posterior FPDs at 3 years are encouraging, revealing a survival rate close to 100%, with a significantly lower rate of technical complications than zirconia-ceramic systems (8). In a recent systematic review, monolithic FPDs still showed slightly higher failure and complication rates than monolithic single crowns. For monolithic single crowns, the prevalence of failure rates was lower (1%) than that of FPDs (5%). However, the data should be interpreted cautiously because only four studies included monolithic FPDs (46). A recent application of zirconia in dental restoration is for veneers for anterior teeth. Recent ultra-translucent zirconia materials combine high strength with improved aesthetics, allowing thinner veneers (approximately 0.3 mm and even less), enabling more conservative tooth preparation than traditional glass ceramics [8;53]. Although still in the early stages of clinical application, ultra-translucent zirconia veneers are a promising solution (8). Another recently proposed application for zirconia is occlusal veneers: a recent in vitro study testing occlusal veneers in zirconia of 1, 1.5, and 2 mm thickness found an average fracture toughness of 1086–1640 N, significantly higher than traditional glass-ceramics (54). For this application, the minimum thickness of zirconia occlusal veneers can be 1 mm, unlike lithium disilicate, for which a thickness of 1.5 mm is recommended. However, zirconia veneers require further dedicated studies.
Principles of tooth preparation and cementation
The principles of tooth preparation for zirconia veneered restorations typically involve occlusal or incisal reduction of 1.5–2.0 mm and axial surface reduction of 1.0–1.5 mm. Options for finish line designs may include horizontal shoulder, chamfer finish line, or less-invasive knife-edge (5,55). The advent of monolithic zirconia has altered the fundamental principles of tooth preparation, facilitating more conservative approaches with distinct biological benefits for the tooth. The aesthetic and mechanical characteristics of the latest zirconia generation permit the fabrication of thinner restorations, thus reducing the extent of tooth preparation and conserving dental tissue. This approach aids in maintaining tooth vitality, diminishing postoperative sensitivity, and decreasing the likelihood of biological complications (56). Nonetheless, the limited available data preclude a unanimous consensus on the optimal preparation principles for monolithic zirconia restorations. When determining the extent of tooth preparation, it is essential to consider that reducing the mol% of Y2O3 in zirconia enhances fracture resistance; however, decreasing thickness compromises fracture resistance regardless of zirconia type (6). A tooth preparation allowing for a 1 mm occlusal thickness appears sufficient to ensure the longevity and durability of monolithic zirconia restorations (8). Some authors recommend an occlusal reduction of 1–1.5 mm (5). An occlusal thickness of 1.0 mm or 1.5 mm can provide zirconia restorations with greater strength than lithium disilicate (8). Although some scholars consider a minimum occlusal reduction of 0.5 mm feasible (57), it should be noted that occlusal thicknesses of 0.5 mm in monolithic zirconia restorations may pose a risk of fracture in areas subject to heavy loads (5).
Furthermore, a factor often underestimated is that modern literature accepts some adjustment of zirconia prosthetic restorations upon delivery, during immediate follow-up/fitting, or even after a specific period post-delivery (58–60). Specifically, approximately 60% of ceramic restorations require clinical adjustments to occlusal or axial surfaces at the time of delivery (58,59). Therefore, clinicians must consider this when designing tooth preparations and determining restoration thickness. Regarding axial surface reduction, a reduction of 1 mm is deemed appropriate for monolithic zirconia tooth-supported restorations. The recommended finish line design is a light chamfer; however, feather-edge preparation has also been proposed as a viable option (5,16). Although some research suggests that minimally invasive vertical preparation with a marginal thickness of 0.5 mm for monolithic zirconia crowns is feasible (61), it must be acknowledged that a 0.5 mm thickness is critical and may expose the zirconia to fracture risk (8). Zirconia restorations can be cemented using traditional cements such as glass ionomer cement (GIC) or resin cements, selected based on the structure and retention capacity of the abutment tooth (5,16). Resin cements are predominantly employed due to their mechanical strength, aesthetic qualities, and low solubility (21). Given zirconia’s chemical inertness and absence of a glass phase, mechanical and chemical surface treatments have been developed to achieve reliable and durable bonding between zirconia and resin cements. Mechanical treatments include airborne-particle abrasion, tribochemical silica-coating, selective infiltration etching, and laser treatment. Chemical treatments encompass silanization, hydrofluoric acid etching, hot etching, and using primers containing 10-methacryloyloxydecyl dihydrogen phosphate (10-MDP) (8,21,62). A recently introduced treatment known as gas plasma appears less effective (62). The literature unanimously agrees that an effective bonding protocol must combine mechanical and chemical treatments (16,21,63). The most well-documented mechanical treatment is airborne-particle abrasion with 50 μm alumina (Al2O3) particles at a pressure of 2.5 bar for 10 seconds, at a distance of 10 mm. The preferred chemical treatment involves using a primer based on 10-MDP, applied for 2–3 minutes (16,64). Choosing between resin cement adhesives or self-adhesive cements should be made carefully, considering the type and color of the resin cement. Photopolymerization for 40 seconds per surface is recommended (5,16). Some experts advise selecting surface pretreatments based on the resin cement and zirconia types, which are crucial in determining the most suitable surface conditioning methods (6,65). Ultimately, further long-term clinical studies are necessary to establish consensus guidelines for the adhesion of full-coverage and partial-coverage zirconia restorations, especially concerning new high-translucency zirconia materials (8,63).
Zirconia implant-supported restorations
Zirconia is currently a material that has also found widespread use in implant-supported restorations. It represents a valid alternative to metal-ceramic systems for rehabilitating partially edentulous patients, both in single crowns and FPDs. The first applications of zirconia in implant-supported restorations involved zirconia-ceramic systems, which were subject to the technical complication of chipping the veneering ceramic. However, this complication was also found in metal-ceramic restorations (45,66). The aesthetic limitations of the first generations of zirconia and the technical complications associated with chipping the veneering ceramic led to the introduction of monolithic solutions. Currently, monolithic zirconia represents the most modern and promising solution in implant prosthodontics. It has the advantage of resolving the technical complications associated with ceramic fracture or chipping and significantly simplifying the technical manufacturing process (67,68). In clinical applications for implant restorations, the latest generation of monolithic zirconia eliminates the need for veneering ceramic in functional areas. In contrast, areas of high aesthetic importance can be managed with micro-veneering (67,68). Although knowledge regarding the survival and prosthetic complications of single crowns and FPDs in monolithic zirconia remains limited, early data are promising (69,70). A recent systematic review reports excellent short-term survival rates (<5 years) for both single crowns (100%) and FPDs (99.6%) in monolithic zirconia supported by implants. However, medium-term data (>5 years) are still lacking (69). Another study emphasizes that implant-supported monolithic zirconia single crowns and FPDs can be an effective and safe treatment option due to favorable short-term survival and low prosthetic complications (70). In 24 months of follow-up, monolithic zirconia FPDs reported a failure rate of 0% and a complication rate of 4% (70). The results of a recent study suggest that the prosthetic material does not appear to have a significant impact on the survival rates of implant-supported partial restorations: multi-unit restorations in the posterior region made with metal-ceramic, zirconia-ceramic, and monolithic zirconia systems demonstrate high and comparable survival rates (71). Although metal-ceramic systems are less in demand with the advent of zirconia, they may be highly indicated in cases of minimal prosthetic space, or partial dentures with extended cantilevers (67).
Zirconia full-arch implant-supported restorations
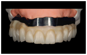
Recently, zirconia has been introduced as a promising alternative to traditional solutions for implant-supported full-arch restorations. Although long-term clinical data are still lacking, short- and medium-term performance is encouraging (72,73). A recent study reports survival rates between 88% and 100% and prosthetic complications that usually do not compromise rehabilitation (74). From an economic point of view, despite higher initial costs compared to traditional solutions, they reduce overall complications and higher survival rates (75). The reference design for zirconia is the screw-retained prosthesis (76), which allows for simplified clinical and technical complications management. The success of the screw-retained zirconia framework is linked to knowledge of the materials, correct design, and the high precision required by 3Y-TZP, which, due to its mechanical characteristics, is the reference material in this prosthetic solution (76). First-generation 3Y-TZP is indicated for implant-supported prostheses as a framework associated with aesthetic veneering ceramic. Compared to titanium structures, one advantage is that zirconia requires a thinner aesthetic ceramic layer for teeth and pink gums (77). However, the limitation of these zirconia-ceramic solutions is the high rate of technical complications related to ceramic chipping, which is clinically unacceptable (72,78). In addition, the zirconia-ceramic system’s ceramization techniques and firing cycles can distort the framework and compromise the accuracy of the restoration. This mechanism, despite conflicting data on the subject (79,80), can significantly affect the marginal fit of full-arch screw-retained zirconia-ceramic restorations (80). Introducing the second generation of 3Y-TZP has simplified implant prosthetic design, allowing monolithic restorations and resolving the technical complications associated with veneering ceramic (81). However, the second-generation monolithic 3Y-TZP framework still requires “cut back” in the CAD phase in non-functional areas to accommodate minimal ceramization of aesthetic regions, including the gingival area (76,81). Recent studies have confirmed that implant-supported solutions in monolithic zirconia demonstrate higher survival and success rates than zirconia-ceramic restorations, with significantly fewer prosthetic complications (82,83). Although scanners and CAD/CAM technology currently allow for the creation of highly complex screw-retained zirconia restorations with acceptable misfit values (84), it should be noted that without optimal adaptation, the zirconia structure is prone to fractures during screw insertion and tightening.
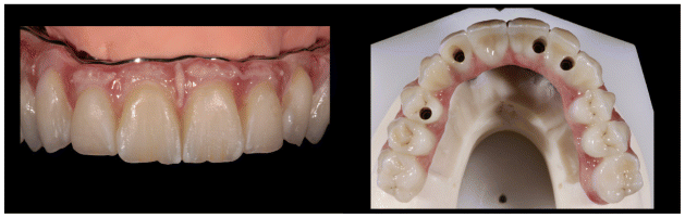
Furthermore, the zirconia framework requires careful design, especially in cases involving cantilevers and patients who grind their teeth (22,85). It should be noted, however, that catastrophic fractures of monolithic zirconia full arches are rarely reported, with the few cases of fracture mainly caused by mismatched implant component sizes (8). Regarding materials, in screw-retained restorations, second-generation 3Y-TZP monolithic zirconia offers sufficient mechanical reliability, albeit with aesthetic limitations (86). Recent monolithic shade-gradient and strength-gradient multilayered zirconia materials appear promising solutions in this clinical scenario. However, clinical data are lacking. Furthermore, the complexity of screw-retained rehabilitation seems to introduce uncertainties about the strength of a heterogeneous structure, such as strength-gradient multilayered zirconia. An alternative design to screw-retained monolithic zirconia has recently been introduced, which aims to overcome some design and clinical critical issues. This type of implant-supported rehabilitation has been defined by some authors as Hybrid Metal-Zirconia Implant Prosthesis (87,88). This solution involves a primary metal structure (substructure or bar) supporting a secondary structure (superstructure) made of latest-generation zirconia (89–91). This design combines the advantages of both materials, offering potentially aesthetic and reliable restorations (Figure 5).
The material of choice for the bar is titanium due to its biocompatibility, tensile strength, fracture resistance, and low weight. The bar allows for versatile use on different implant platforms, compensates for unfavorable angles, and offers the possibility of segmentation if necessary (87–89). Preliminary data on this prosthetic design show an encouraging survival rate with minimal technical complications in the short term (92). However, there are currently no design guidelines or data on the medium- and long-term performance of titanium-zirconia restorations (Figures 6,7).
Conclusions
The growing demand for metal-free restorations and advances in CAD-CAM technologies have made zirconia an increasingly popular solution for tooth and implant-supported restorations. The evolution of zirconia has led to the introduction of materials with superior aesthetic qualities, shade-gradient and strength-gradient multilayered zirconia, which allow for the production of monolithic restorations characterized by a simplified design and less prone to technical complications than previous zirconia-ceramic systems. Monolithic zirconia is currently a promising alternative to metal-ceramic and glass-ceramic systems in both clinically relevant aesthetic cases and cases requiring high mechanical reliability, including full-arch implant-supported restorations. Furthermore, the evolution of manufacturing processes and simplified design make it an advantageous option in terms of time and cost. However, monolithic zirconia restorations lack medium- and long-term clinical data. For this reason, in-depth knowledge of the latest generation of zirconia materials is recommended, both in terms of their chemical and physical properties and the technical manufacturing processes involved. This allows for the correct selection of materials, safe restoration design, a favorable prognosis, and aesthetic results in line with patient expectations.
Author Contributions
Conceptualization AB and SB; Methodology AB and SB; Validation AB and SB; Data curation AB and SB; Writing - Preparation of the original draft AB and SB; Writing – Review and supervision AB and SB.
Acknowledgments
The authors would like to thank for figures and technical case MDT Germano Rossi, Alba Adriatica (Te).
Funding
This research received no external funding.
Conflicts of Interest
The authors declare no conflicts of interest.
References
- 1. Alqutaibi AY, Ghulam O, Krsoum M, Binmahmoud S, Taher H, Elmalky W, Zafar MS. Revolution of Current Dental Zirconia: A Comprehensive Review. Molecules. 2022 Mar 4;27(5):1699. doi:10.3390/molecules27051699. PMID: 35268800; PMCID: PMC8911694.
- 2. Ille CE, Jivănescu A, Pop D, Stoica ET, Flueras R, Talpoş-Niculescu IC, Cosoroabă RM, Popovici RA, Olariu I. Exploring the Properties and Indications of Chairside CAD/CAM Materials in Restorative Dentistry. J Funct Biomater. 2025 Feb 1;16(2):46. doi:10.3390/jfb16020046. PMID: 39997580; PMCID: PMC11856138.
- 3. Inokoshi M, Liu H, Yoshihara K, Yamamoto M, Tonprasong W, Benino Y, Minakuchi S, Vleugels J, Van Meerbeek B, Zhang F. Layer characteristics in strength-gradient multilayered yttria-stabilized zirconia. Dent Mater. 2023 Apr;39(4):430–441. doi:10.1016/j.dental.2023.03.015. Epub 2023 Mar 11. PMID: 36914432.
- 4. Benalcázar-Jalkh EB, Bergamo ETP, Campos TMB, Coelho PG, Sailer I, Yamaguchi S, Alves LMM, Witek L, Tebcherani SM, Bonfante EA. A Narrative Review on Polycrystalline Ceramics for Dental Applications and Proposed Update of a Classification System. Materials (Basel). 2023 Dec 7;16(24):7541. doi:10.3390/ma16247541. PMID: 38138684; PMCID: PMC10744432.
- 5. Miura S, Fujita T, Fujisawa M. Zirconia in fixed prosthodontics: a review of the literature. Odontology. 2025 Apr;113(2):466–487. doi:10.1007/s10266-024-01019-8. Epub 2024 Nov 7. PMID: 39508978.
- 6. Kui A, Manziuc M, Petruțiu A, Buduru S, Labuneț A, Negucioiu M, Chisnoiu A. Translucent Zirconia in Fixed Prosthodontics-An Integrative Overview. Biomedicines. 2023 Nov 22;11(12):3116. doi:10.3390/biomedicines11123116. PMID: 38137337; PMCID: PMC10740999.
- 7. Arellano Moncayo AM, Peñate L, Arregui M, Giner-Tarrida L, Cedeño R. State of the Art of Different Zirconia Materials and Their Indications According to Evidence-Based Clinical Performance: A Narrative Review. Dent J (Basel). 2023 Jan 4;11(1):18. doi:10.3390/dj11010018. PMID: 36661555; PMCID: PMC9857458.
- 8. Huang B, Chen M, Wang J, Zhang X. Advances in zirconia-based dental materials: Properties, classification, applications, and future prospects. J Dent. 2024 Aug;147:105111. doi:10.1016/j.jdent.2024.105111. Epub 2024 Jun 10. PMID: 38866229.
- 9. Camposilvan E, Leone R, Gremillard L, Sorrentino R, Zarone F, Ferrari M, Chevalier J. Aging resistance, mechanical properties and translucency of different yttria-stabilized zirconia ceramics for monolithic dental crown applications. Dent Mater. 2018 Jun;34(6):879–890. doi:10.1016/j.dental.2018.03.006. Epub 2018 Mar 26. PMID: 29598882.
- 10. Kontonasaki E, Giasimakopoulos P, Rigos AE. Strength and aging resistance of monolithic zirconia: an update to current knowledge. Jpn Dent Sci Rev. 2020 Dec;56(1):1–23. doi:10.1016/j.jdsr.2019.09.002. Epub 2019 Nov 14. PMID: 31768195; PMCID: PMC6872834.
- 11. Ban S. Classification and Properties of Dental Zirconia as Implant Fixtures and Superstructures. Materials (Basel). 2021 Aug 27;14(17):4879. doi:10.3390/ma14174879. PMID: 34500970; PMCID: PMC8432657.
- 12. Le M, Papia E, Larsson C. The clinical success of tooth- and implant-supported zirconia-based fixed dental prostheses. A systematic review. J Oral Rehabil. 2015 Jun;42(6):467–80. doi:10.1111/joor.12272. Epub 2015 Jan 10. PMID: 25580846.
- 13. Güth JF, Stawarczyk B, Edelhoff D, Liebermann A. Zirconia and its novel compositions: What do clinicians need to know? Quintessence Int. 2019;50(7):512–520. doi:10.3290/j.qi.a42653. PMID: 31187100.
- 14. Zhang Y, Lawn BR. Novel Zirconia Materials in Dentistry. J Dent Res. 2018 Feb;97(2):140–147. doi:10.1177/0022034517737483. Epub 2017 Oct 16. PMID: 29035694; PMCID: PMC5784474.
- 15. Chiari A, Mantovani S, Berzaghi A, Bellucci D, Bortolini S Cannillo V. Load bearing capability of three-units 4Y-TZP monolithic fixed dental prostheses: An innovative model for reliable testing. Materials & Design March 2023;227:111751. doi.org/10.1016/j.matdes.2023.111751
- 16. Sulaiman TA, Suliman AA, Abdulmajeed AA, Zhang Y. Zirconia restoration types, properties, tooth preparation design, and bonding. A narrative review. J Esthet Restor Dent. 2024 Jan;36(1):78–84. doi:10.1111/jerd.13151. Epub 2023 Oct 15. PMID: 37840220; PMCID: PMC10842315.
- 17. Zafar MS, Amin F, Fareed MA, Ghabbani H, Riaz S, Khurshid Z, Kumar N. Biomimetic Aspects of Restorative Dentistry Biomaterials. Biomimetics (Basel). 2020 Jul 15;5(3):34. doi:10.3390/biomimetics5030034. PMID: 32679703; PMCID: PMC7557867.
- 18. Čokić SM, Cóndor M, Vleugels J, Meerbeek BV, Oosterwyck HV, Inokoshi M, Zhang F. Mechanical properties-translucency-microstructure relationships in commercial monolayer and multilayer monolithic zirconia ceramics. Dent Mater. 2022 May;38(5):797–810. doi:10.1016/j.dental.2022.04.011. Epub 2022 Apr 18. PMID: 35450705.
- 19. Inokoshi M, Liu H, Yoshihara K, Yamamoto M, Tonprasong W, Benino Y, Minakuchi S, Vleugels J, Van Meerbeek B, Zhang F. Layer characteristics in strength-gradient multilayered yttria-stabilized zirconia. Dent Mater. 2023 Apr;39(4):430–441. doi:10.1016/j.dental.2023.03.015. Epub 2023 Mar 11. PMID: 36914432.
- 20. Ghoveizi R, Baghaei M, Tavakolizadeh S, Tabatabaian F. Color match of ultra-translucency multilayer zirconia restorations with different designs and backgrounds. J Prosthodont. 2024 Apr;33(4):382–388. doi:10.1111/jopr.13700. Epub 2023 May 22. PMID: 37155925.
- 21. Binici Aygün E, Kaynak Öztürk E, Tülü AB, Turhan Bal B, Karakoca Nemli S, Bankoğlu Güngör M. Factors Affecting the Color Change of Monolithic Zirconia Ceramics: A Narrative Review. J Funct Biomater. 2025 Feb 11;16(2):58. doi:10.3390/jfb16020058. PMID: 39997594; PMCID: PMC11855960.
- 22. Berzaghi A, Testori T, Scaini R, Bortolini S. Occlusion and Biomechanical Risk Factors in Implant-Supported Full-Arch Fixed Dental Prostheses-Narrative Review. J Pers Med. 2025 Feb 7;15(2):65. doi:10.3390/jpm15020065. PMID: 39997342; PMCID: PMC11856061.
- 23. Cesar PF, Miranda RBP, Santos KF, Scherrer SS, Zhang Y. Recent advances in dental zirconia: 15 years of material and processing evolution. Dent Mater. 2024 May;40(5):824–836. doi:10.1016/j.dental.2024.02.026. Epub 2024 Mar 23. PMID: 38521694; PMCID: PMC11098698.
- 24. Al-Haj Husain N, Özcan M, Dydyk N, Joda T. Conventional, Speed Sintering and High-Speed Sintering of Zirconia: A Systematic Review of the Current Status of Applications in Dentistry with a Focus on Precision, Mechanical and Optical Parameters. J Clin Med. 2022 Aug 20;11(16):4892. doi:10.3390/jcm11164892. PMID: 36013131; PMCID: PMC9409711.
- 25. Branco AC, Colaço R, Figueiredo-Pina CG, Serro AP. Recent Advances on 3D-Printed Zirconia-Based Dental Materials: A Review. Materials (Basel). 2023 Feb 24;16(5):1860. doi:10.3390/ma16051860. PMID: 36902976; PMCID: PMC10004380.
- 26. Luz JN, Kaizer MDR, Ramos NC, Anami LC, Thompson VP, Saavedra GSFA, Zhang Y. Novel speed sintered zirconia by microwave technology. Dent Mater. 2021 May;37(5):875–881. doi:10.1016/j.dental.2021.02.026. Epub 2021 Mar 11. PMID: 33715863; PMCID: PMC11283878.
- 27. Frąckiewicz W, Szymlet P, Jedliński M, Światłowska-Bajzert M, Sobolewska E. Mechanical characteristics of zirconia produced additively by 3D printing in dentistry - A systematic review with meta-analysis of novel reports. Dent Mater. 2024 Jan;40(1):124–138. doi:10.1016/j.dental.2023.10.020. Epub 2023 Nov 7. PMID: 37940500.
- 28. Zenthöfer A, Schwindling FS, Schmitt C, Ilani A, Zehender N, Rammelsberg P, Rues S. Strength and reliability of zirconia fabricated by additive manufacturing technology. Dent Mater. 2022 Oct;38(10):1565–1574. doi:10.1016/j.dental.2022.07.004. Epub 2022 Aug 4. PMID: 35933222.
- 29. Wang L, Jiao Y, Yao L, Sheng Y, Hao Z, Tang W, Dou R. Investigation of mechanical properties and low-temperature degradation of dental 3Y-TZP ceramics fabricated by stereolithography in combination with microwave sintering. J Mech Behav Biomed Mater. 2023 Dec;148:106211. doi:10.1016/j.jmbbm.2023.106211. Epub 2023 Oct 26. PMID: 37935083.
- 30. Jansen JU, Lümkemann N, Letz I, Pfefferle R, Sener B, Stawarczyk B. Impact of high-speed sintering on translucency, phase content, grain sizes, and flexural strength of 3Y-TZP and 4Y-TZP zirconia materials. J Prosthet Dent. 2019 Oct;122(4):396–403. doi:10.1016/j.prosdent.2019.02.005. Epub 2019 Apr 12. PMID: 30982619.
- 31. Attia MA, Radwan M, Blunt L, Bills P, Tawfik A, Arafa AM. Effect of different sintering protocols on the fracture strength of 3-unit monolithic gradient zirconia fixed partial dentures: An in vitro study. J Prosthet Dent. 2023 Dec;130(6):908.e1–908.e8. doi:10.1016/j.prosdent.2023.09.012. Epub 2023 Oct 5. PMID: 37802734.
- 32. Kaizer MR, Gierthmuehlen PC, Dos Santos MB, Cava SS, Zhang Y. Speed sintering translucent zirconia for chairside one-visit dental restorations: Optical, mechanical, and wear characteristics. Ceram Int. 2017 Oct 1;43(14):10999–11005. doi:10.1016/j.ceramint.2017.05.141. Epub 2017 May 19. PMID: 29097830; PMCID: PMC5662116.
- 33. Ersoy NM, Aydoğdu HM, Değirmenci BÜ, Çökük N, Sevimay M. The effects of sintering temperature and duration on the flexural strength and grain size of zirconia. Acta Biomater Odontol Scand. 2015 Aug 3;1(2–4):43–50. doi:10.3109/23337931.2015.1068126. PMID: 28642900; PMCID: PMC5433200.
- 34. Lawson NC, Maharishi A. Strength and translucency of zirconia after high-speed sintering. J Esthet Restor Dent. 2020 Mar;32(2):219–225. doi:10.1111/jerd.12524. Epub 2019 Sep 13. PMID: 31515932.
- 35. Nonaka K, Teramae M, Pezzotti G. Evaluation of the Effect of High-Speed Sintering and Specimen Thickness on the Properties of 5 mol% Yttria-Stabilized Dental Zirconia Sintered Bodies. Materials (Basel). 2022 Aug 18;15(16):5685. doi:10.3390/ma15165685. PMID: 36013827; PMCID: PMC9412651.
- 36. Alshahrani AM, Lim CH, Kim J, Zhang Y. Transient thermal stresses developed during speed sintering of 3 mol% yttria-stabilized tetragonal zirconia polycrystals. Dent Mater. 2023 May;39(5):522–528. doi:10.1016/j.dental.2023.04.004. Epub 2023 Apr 10. PMID: 37045719; PMCID: PMC10168597.
- 37. Barchetta NF, Arata Found A, Yoshito WK, Ussui V, Lazar DRR, Balducci I, Butler S, Saavedra GSFA. Dental zirconia microwave-sintering followed by rapid cooling protocol. J Mech Behav Biomed Mater. 2024 Mar;151:106351. doi:10.1016/j.jmbbm.2023.106351. Epub 2023 Dec 26. PMID: 38184933.
- 38. Kim HK, Kim SH. Comparison of the optical properties of pre-colored dental monolithic zirconia ceramics sintered in a conventional furnace versus a microwave oven. J Adv Prosthodont. 2017 Oct;9(5):394–401. doi:10.4047/jap.2017.9.5.394. Epub 2017 Oct 16. PMID: 29142648; PMCID: PMC5673617.
- 39. Kilinc H, Sanal FA. Effect of sintering and aging processes on the mechanical and optical properties of translucent zirconia. J Prosthet Dent. 2021 Jul;126(1):129.e1–129.e7. doi:10.1016/j.prosdent.2021.03.024. Epub 2021 May 6. PMID: 33965239.
- 40. Engler MLPD, Kauling AEC, Silva J, Rafael CF, Liebermann A, Volpato CAM. Influence of sintering temperature and aging on the color and translucency of zirconia. J Prosthet Dent. 2025 Mar;133(3):888.e1–888.e9. doi:10.1016/j.prosdent.2024.12.022. Epub 2025 Jan 21. PMID: 39843269.
- 41. Juntavee N, Juntavee A, Jaralpong C. Color Characteristics of High Yttrium Oxide-Doped Monochrome and Multilayer Partially Stabilized Zirconia upon Different Sintering Parameters. Eur J Dent. 2025 Feb;19(1):227–239. doi:10.1055/s-0044-1787700. Epub 2024 Jun 28. PMID: 38942053; PMCID: PMC11750310.
- 42. Hassan Shohdy EI, Sabet A, Sherif AH, Salah T. The effect of speed sintering on the optical properties and microstructure of multi-layered cubic zirconia. J Prosthodont. 2025 Mar;34(3):316–322. doi:10.1111/jopr.13822. Epub 2024 Jan 30. PMID: 38288518.
- 43. Walton TR. An up to 15-year longitudinal study of 515 metal-ceramic FPDs: Part 2. Modes of failure and influence of various clinical characteristics. Int J Prosthodont. 2003 Mar–Apr;16(2):177–82. PMID: 12737251.
- 44. Aswal GS, Rawat R, Dwivedi D, Prabhakar N, Kumar V. Clinical Outcomes of CAD/CAM (Lithium disilicate and Zirconia) Based and Conventional Full Crowns and Fixed Partial Dentures: A Systematic Review and Meta-Analysis. Cureus. 2023 Apr 20;15(4):e37888. doi:10.7759/cureus.37888. PMID: 37213959; PMCID: PMC10199723.
- 45. Pjetursson BE, Valente NA, Strasding M, Zwahlen M, Liu S, Sailer I. A systematic review of the survival and complication rates of zirconia-ceramic and metal-ceramic single crowns. Clin Oral Implants Res. 2018 Oct;29 Suppl 16:199–214. doi:10.1111/clr.13306. PMID: 30328190.
- 46. Mazza LC, Lemos CAA, Pesqueira AA, Pellizzer EP. Survival and complications of monolithic ceramic for tooth-supported fixed dental prostheses: A systematic review and meta-analysis. J Prosthet Dent. 2022 Oct;128(4):566–574. doi:10.1016/j.prosdent.2021.01.020. Epub 2021 Mar 19. PMID: 33745685.
- 47. Leitão CIMB, Fernandes GVO, Azevedo LPP, Araújo FM, Donato H, Correia ARM. Clinical performance of monolithic CAD/CAM tooth-supported zirconia restorations: systematic review and meta-analysis. J Prosthodont Res. 2022 Jul 30;66(3):374–384. doi:10.2186/jpr.JPR_D_21_00081. Epub 2021 Oct 6. PMID: 34615842.
- 48. Rayyan MR. Marginal Adaptation of Monolithic High-Translucency Versus Porcelain-Veneered Zirconia Crowns. Int J Prosthodont. 2019 Jul/Aug;32(4):364–366. doi:10.11607/ijp.5985. PMID: 31283817.
- 49. Sailer I, Balmer M, Hüsler J, Hämmerle CHF, Känel S, Thoma DS. 10-year randomized trial (RCT) of zirconia-ceramic and metal-ceramic fixed dental prostheses. J Dent. 2018 Sep;76:32–39. doi:10.1016/j.jdent.2018.05.015. Epub 2018 May 25. PMID: 29807060.
- 50. Limones A, Molinero-Mourelle P, Azevedo L, Romeo-Rubio M, Correia A, Gómez-Polo M. Zirconia-ceramic versus metal-ceramic posterior multiunit tooth-supported fixed dental prostheses: A systematic review and meta-analysis of randomized controlled trials. J Am Dent Assoc. 2020 Apr;151(4):230–238.e7. doi:10.1016/j.adaj.2019.12.013. PMID: 32222175.
- 51. Chen H, Li T, Ng JPZ, Almeheni L, Li KY, Burrow MF. Clinical performance of zirconia-based tooth-supported fixed dental prostheses: A systematic review and meta-analysis. J Dent. 2024 Dec;151:105382. doi:10.1016/j.jdent.2024.105382. Epub 2024 Oct 5. PMID: 39369882.
- 52. Gonzaga CC, Garcia PP, Wambier LM, Prochnow FHO, Madeira L, Cesar PF. Do tooth-supported zirconia restorations present more technical failures related to fracture or loss of retention? Systematic review and meta-analysis. Clin Oral Investig. 2022 Aug;26(8):5129–5142. doi:10.1007/s00784-022-04573-z. Epub 2022 Jun 4. PMID: 35660957.
- 53. Mekled S, Elwazeer S, Jurado CA, White J, Faddoul F, Afrashtehfar KI, Fischer NG. Ultra-Translucent Zirconia Laminate Veneers: The Influence of Restoration Thickness and Stump Tooth-Shade. Materials (Basel). 2023 Apr 11;16(8):3030. doi:10.3390/ma16083030. PMID: 37109865; PMCID: PMC10145317.
- 54. Czechowski Ł, Dejak B, Konieczny B, Krasowski M. Evaluation of Fracture Resistance of Occlusal Veneers Made of Different Types of Materials Depending on Their Thickness. Materials (Basel). 2023 Aug 31;16(17):6006. doi:10.3390/ma16176006. PMID: 37687699; PMCID: PMC10489006.
- 55. Deranek K, Siegel SC, Golberg MB, Valdivieso AF. Tooth Preparation Assessment Criteria for All-Ceramic CAD/CAM Posterior Crowns: An Evidence Map. J Dent Educ. 2025 Feb 23. doi:10.1002/jdd.13849. Epub ahead of print. PMID: 39988901.
- 56. Schwindling FS, Waldecker M, Rammelsberg P, Rues S, Bömicke W. Tooth substance removal for ceramic single crown materials-an in vitro comparison. Clin Oral Investig. 2019 Aug;23(8):3359–3366. doi:10.1007/s00784-018-2753-y. Epub 2018 Dec 4. PMID: 30515576.
- 57. Rinke S, Fischer C. Range of indications for translucent zirconia modifications: clinical and technical aspects. Quintessence Int. 2013;44(8):557–66. doi:10.3290/j.qi.a29937. PMID: 23772439.
- 58. da Rosa LS, Pilecco RO, Sarkis-Onofre R, Kantorski KZ, Valandro LF, Rocha Pereira GK. Should finishing, polishing or glazing be performed after grinding YSZ ceramics? A systematic review and meta-analysis. J Mech Behav Biomed Mater. 2023 Feb;138:105654. doi:10.1016/j.jmbbm.2023.105654. Epub 2023 Jan 2. PMID: 36634437.
- 59. Berzaghi A, Nanni M, Frugone-Zambra RE, Scaini R, Testori T, Bortolini S, Consolo U. Zirconia chairside grinding and polishing: clinical relevance and suggestions. Dental Cadmos 2024;92(8):636–648. doi:10.19256/d.cadmos.08.2024.04.
- 60. Joda T, Katsoulis J, Brägger U. Clinical Fitting and Adjustment Time for Implant-Supported Crowns Comparing Digital and Conventional Workflows. Clin Implant Dent Relat Res. 2016 Oct;18(5):946–954. doi:10.1111/cid.12377. Epub 2015 Sep 22. PMID: 26395013.
- 61. Kasem AT, Ellayeh M, Özcan M, Sakrana AA. Three-year clinical evaluation of zirconia and zirconia-reinforced lithium silicate crowns with minimally invasive vertical preparation technique. Clin Oral Investig. 2023 Apr;27(4):1577–1588. doi:10.1007/s00784-022-04779-1. Epub 2022 Nov 16. PMID: 36383297; PMCID: PMC10102102.
- 62. Li X, Liang S, Inokoshi M, Zhao S, Hong G, Yao C, Huang C. Different surface treatments and adhesive monomers for zirconia-resin bonds: A systematic review and network meta-analysis. Jpn Dent Sci Rev. 2024 Dec;60:175–189. doi:10.1016/j.jdsr.2024.05.004. Epub 2024 Jun 7. PMID: 38938474; PMCID: PMC11208804.
- 63. Al-Amari AS, Saleh MS, Albadah AA, Almousa AA, Mahjoub WK, Al-Otaibi RM, Alanazi EM, Alshammari AK, Malki AT, Alghelaiqah KF, Akbar LF. A Comprehensive Review of Techniques for Enhancing Zirconia Bond Strength: Current Approaches and Emerging Innovations. Cureus. 2024 Oct 5;16(10):e70893. doi:10.7759/cureus.70893. PMID: 39497891; PMCID: PMC11534439.
- 64. Chopra D, Guo T, Gulati K, Ivanovski S. Load, unload and repeat: Understanding the mechanical characteristics of zirconia in dentistry. Dent Mater. 2024 Jan;40(1):e1–e17. doi:10.1016/j.dental.2023.10.007. Epub 2023 Oct 25. PMID: 37891132.
- 65. Mazaheri Tehrani A, Nami M, Zarbakhsh A, Moscowchi A, Jalalian E. Impact of surface pre-treatment on bond strength between cement and zirconia: A systematic review and network meta-analysis. J Prosthet Dent. 2025 Jan 14:S0022-3913(24)00830-8. doi:10.1016/j.prosdent.2024.12.014. Epub ahead of print. PMID: 39814646.
- 66. Sailer I, Strasding M, Valente NA, Zwahlen M, Liu S, Pjetursson BE. A systematic review of the survival and complication rates of zirconia-ceramic and metal-ceramic multiple-unit fixed dental prostheses. Clin Oral Implants Res. 2018 Oct;29 Suppl 16:184–198. doi:10.1111/clr.13277. PMID: 30328185.
- 67. Strasding M, Marchand L, Merino E, Zarauz C, Pitta J. Material and abutment selection for CAD/CAM implant-supported fixed dental prostheses in partially edentulous patients - A narrative review. Clin Oral Implants Res. 2024 Aug;35(8):984–999. doi:10.1111/clr.14315. Epub 2024 Jun 12. PMID: 38864592.
- 68. Zhang Y, Luo J, Di P, Chen B, Li J, Yu Z, Lin Y. Screw-retained ceramic-veneered/monolithic zirconia partial implant-supported fixed dental prostheses: A 5 to 10-year retrospective study on survival and complications. J Prosthodont. 2024 Mar;33(3):221–230. doi:10.1111/jopr.13723. Epub 2023 Jul 7. PMID: 37302066.
- 69. Kim W, Li XC, Bidra AS. Clinical outcomes of implant-supported monolithic zirconia crowns and fixed partial dentures: A systematic review. J Prosthodont. 2023 Feb;32(2):102–107. doi:10.1111/jopr.13575. Epub 2022 Aug 18. PMID: 35929416.
- 70. Lemos CAA, Verri FR, de Luna Gomes JM, Santiago Junior JF, Miyashita E, Mendonça G, Pellizzer EP. Survival and prosthetic complications of monolithic ceramic implant-supported single crowns and fixed partial dentures: A systematic review with meta-analysis. J Prosthet Dent. 2022 Dec 21:S0022-3913(22)00736-3.
- 71. Pjetursson BE, Sailer I, Merino-Higuera E, Spies BC, Burkhardt F, Karasan D. Systematic review evaluating the influence of the prosthetic material and prosthetic design on the clinical outcomes of implant-supported multi-unit fixed dental prosthesis in the posterior area. Clin Oral Implants Res. 2023 Sep;34 Suppl 26:86–103. doi:10.1111/clr.14103. PMID: 37750526.
- 72. Pieralli S, Kohal RJ, Rabel K, von Stein-Lausnitz M, Vach K, Spies BC. Clinical outcomes of partial and full-arch all-ceramic implant-supported fixed dental prostheses. A systematic review and meta-analysis. Clin Oral Implants Res. 2018 Oct;29 Suppl 18:224–236. doi:10.1111/clr.13345. PMID: 30306694.
- 73. Al-Tarawneh S, Thalji G, Shonberg D, Fayz L, Cooper L. Retrospective Cohort Evaluation of Full-Arch Zirconia Implant-Supported Fixed Prostheses. Int J Oral Maxillofac Implants. 2023 Mar–Apr;38(2):381–390. doi:10.11607/jomi.10022. PMID: 37083903.
- 74. Cinquini C, Alfonsi F, Marchio V, Gallo F, Zingari F, Bolzoni AR, Romeggio S, Barone A. The Use of Zirconia for Implant-Supported Fixed Complete Dental Prostheses: A Narrative Review. Dent J (Basel). 2023 Jun 1;11(6):144. doi:10.3390/dj11060144. PMID: 37366667; PMCID: PMC10297443.
- 75. Barootchi S, Askar H, Ravidà A, Gargallo-Albiol J, Travan S, Wang HL. Long-term Clinical Outcomes and Cost-Effectiveness of Full-Arch Implant-Supported Zirconia-Based and Metal-Acrylic Fixed Dental Prostheses: A Retrospective Analysis. Int J Oral Maxillofac Implants. 2020 Mar/Apr;35(2):395–405. doi:10.11607/jomi.7833. PMID: 32142577.
- 76. Rojas Vizcaya F. Retrospective 2- to 7-Year Follow-Up Study of 20 Double Full-Arch Implant-Supported Monolithic Zirconia Fixed Prostheses: Measurements and Recommendations for Optimal Design. J Prosthodont. 2018 Jul;27(6):501–508. doi:10.1111/jopr.12528. Epub 2016 Aug 29. PMID: 27570943.
- 77. Yilmaz B, Alp G, Johnston WM. Effect of framework material on the color of implant-supported complete-arch fixed dental prostheses. J Prosthet Dent. 2019 Jul;122(1):69–75. doi:10.1016/j.prosdent.2018.11.005. Epub 2019 Mar 22. PMID: 30910280.
- 78. Bagegni A, Abou-Ayash S, Rücker G, Algarny A, Att W. The influence of prosthetic material on implant and prosthetic survival of implant-supported fixed complete dentures: a systematic review and meta-analysis. J Prosthodont Res. 2019 Jul;63(3):251–265. doi:10.1016/j.jpor.2019.02.001. Epub 2019 Mar 11. PMID: 30871937.
- 79. Svanborg P, Norström Saarva V, Stenport V, Eliasson A. Fit of 3Y-TZP complete-arch implant-supported fixed dental prostheses before and after porcelain veneering. J Prosthet Dent. 2019 Aug;122(2):137–141. doi:10.1016/j.prosdent.2018.12.021. Epub 2019 Mar 15. PMID: 30885581.
- 80. Yilmaz B, Alshahrani FA, Kale E, Johnston WM. Effect of feldspathic porcelain layering on the marginal fit of zirconia and titanium complete-arch fixed implant-supported frameworks. J Prosthet Dent. 2018 Jul;120(1):71–78. doi:10.1016/j.prosdent.2017.11.003. Epub 2018 Feb 6. PMID: 29426786.
- 81. Amin S, Weber HP, Kudara Y, Papaspyridakos P. Full-Mouth Implant Rehabilitation With Monolithic Zirconia: Benefits and Limitations. Compend Contin Educ Dent. 2017 Jan;38(1):e1–e4. PMID: 28054794.
- 82. Martakoush-Saleh S, Salgado-Peralvo AO, Peña-Cardelles JF, Kewalramani N, Gallucci GO. Evaluating the clinical behavior of veneered zirconia in comparison with monolithic zirconia complete arch implant-supported prostheses: A systematic review and meta-analysis. J Prosthet Dent. 2024 Nov;132(5):899–912. doi:10.1016/j.prosdent.2023.07.021. Epub 2023 Aug 9. PMID: 37696747.
- 83. Saponaro PC, Karasan D, Donmez MB, Johnston WM, Yilmaz B. Prosthetic complications with monolithic or micro-veneered implant-supported zirconia single-unit, multiple-unit, and complete-arch prostheses on titanium base abutments: A single center retrospective study with mean follow-up period of 72.35 months. Clin Implant Dent Relat Res. 2023 Feb;25(1):99–106. doi:10.1111/cid.13149. Epub 2022 Nov 2. PMID: 36321480.
- 84. Al-Meraikhi H, Yilmaz B, McGlumphy E, Brantley W, Johnston WM. In vitro fit of CAD-CAM complete arch screw-retained titanium and zirconia implant prostheses fabricated on 4 implants. J Prosthet Dent. 2018 Mar;119(3):409–416. doi:10.1016/j.prosdent.2017.04.023. Epub 2017 Jul 15. PMID: 28720339.
- 85. Luo J, Zhang Y, Yu Z, Jiang X, Li J, Chen B, Di P, Lin Y, Zhang Y. A retrospective single cohort study on the 5–13 year clinical outcomes of implant-supported cross-arch fixed dental prostheses with monolithic zirconia-based frameworks. J Prosthodont. 2025 Apr;34(4):365–375. doi:10.1111/jopr.13991. Epub 2024 Dec 10. PMID: 39655784.
- 86. Sadowsky SJ. Has zirconia made a material difference in implant prosthodontics? A review. Dent Mater. 2020 Jan;36(1):1–8. doi:10.1016/j.dental.2019.08.100. Epub 2019 Sep 6. PMID: 31500904.
- 87. Stumpel LJ, Haechler W. The Metal-Zirconia Implant Fixed Hybrid Full-Arch Prosthesis: An Alternative Technique for Fabrication. Compend Contin Educ Dent. 2018 Mar;39(3):176–181. PMID: 29493247.
- 88. Bidra AS. Complete Arch Monolithic Zirconia Prosthesis Supported By Cobalt Chromium Metal Bar: A Clinical Report. J Prosthodont. 2020 Aug;29(7):558–563. doi:10.1111/jopr.13172. Epub 2020 Jun 24. PMID: 32237248.
- 89. Berzaghi A, Bortolini S. Modern concepts in Implant-Supported Fixed Complete Dental Prostheses (IFCDPs): from traditional solutions to current monolithic zirconia restorations. Concise review. Ann Stomatol 2023;14(1):17–22. doi:10.59987/ads/2023.1.17–22.
- 90. Berzaghi A, Bortolini S. Double Full-Arch Implant-Supported Fixed Complete Dental Prostheses (IFCDPs): advanced monolithic zirconia solutions. Ann Stomatol 2024;15(1):17–20. doi:10.59987/ads/2024.1.17-20.
- 91. Parpaiola A, Toia M, Norton M, Rodriguez Y Baena R, Todaro C, Lupi SM. Fully digital workflow for implant-supported fixed restorations consisting of a titanium primary structure and a zirconia secondary structure. Int J Oral Implantol (Berl). 2023 Nov 23;16(4):351–358. PMID: 37994822.
- 92. Mijiritsky E, Elad A, Krausz R, Ivanova V, Zlatev S. Clinical performance of full-arch implant-supported fixed restorations made of monolithic zirconia luted to a titanium bar: A retrospective study with a mean follow-up of 16 months. J Dent. 2023 Oct;137:104675. doi:10.1016/j.jdent.2023.104675. Epub 2023 Aug 20. PMID: 37607658.
