![]() |
Annali di Stomatologia | 2025; 16(4): 375-384 ISSN 1971-1441 | DOI: 10.59987/ads/2025.4.375-384 Articles |
Autotransplantation for the management of traumatic loss of a maxillary incisor in a growing pediatric patient
These authors contributed equally to this work.
Abstract
This study presents the clinical management of a traumatic loss of a maxillary central incisor in a growing pediatric patient treated with autotransplantation. Dental trauma in children often involves maxillary incisors and poses significant challenges in rehabilitation due to ongoing craniofacial growth, which contraindicates implant therapy and fixed prosthetic solutions. Autotransplantation represents a valid alternative, allowing alveolar growth and orthodontic movement to be preserved. A 13-year-old male patient presented with a compromised maxillary left central incisor (2.1) following previous trauma and unsuccessful endodontic treatment. Clinical and radiographic examinations, including CBCT, revealed a vertical root fracture and extensive periapical lesion involving both 2.1 and 2.2, leading to a hopeless prognosis for 2.1. Treatment options considered included prosthetic replacement, orthodontic mesialization, and autotransplantation. Fixed provisional prostheses for further implant therapy were excluded because they would have interfered with maxillary growth; orthodontic mesialization was considered complex functionally and aesthetically. Therefore, autotransplantation was selected as the most favorable option. Following orthodontic pre-treatment of six weeks to mobilize and stimulate the donor tooth (2.5), surgical explantation of 2.1 was performed, and the recipient socket was prepared. Tooth 2.5, explanted atraumatically, was transplanted into the 2.1 site and stabilized passively with orthodontic splinting. Postoperative care included antibiotics, analgesics, and chlorhexidine rinses. Clinical follow-ups at 10 days and 4 weeks showed healthy periodontal tissues, and composite resin was used to reshape the transplanted premolar esthetically. Orthodontic treatment resumed after 8 weeks, and CBCT at 12 months confirmed complete healing without root resorption or periapical pathology. The contralateral premolar (1.5) was later extracted as part of the orthodontic plan, and a definitive composite restoration was performed at the end. Five-year follow-up demonstrated successful periodontal and pulp healing, with the transplanted tooth integrated functionally and esthetically, responding positively to thermal testing. This case supports autotransplantation as a reliable treatment option for pediatric patients. It should be considered the first-line approach when managing loss or compromise of permanent teeth in growing individuals.
Keywords: Tooth autotransplantation; tooth autologous transplantation; tooth autograft; dental trauma; pulp vitality; pulp revascularization; orthodontics; tooth replantation; premature tooth loss; growing patient
Introduction
The therapeutic management of pediatric patients differs from that of adults, as children are still undergoing growth and development. Skeletal maturation, including that of the jaws, must be carefully considered when planning treatment. In cases of congenital agenesis or traumatic loss of permanent teeth, fixed prosthetic rehabilitation or implant placement is contraindicated because these solutions interfere with normal maxillary development (1).
Pediatric patients, however, are the population most frequently affected by dental trauma, which may irreversibly compromise permanent teeth. Epidemiological data indicate that up to 25% of school-aged children experience dental trauma, with maxillary incisors being the most commonly involved (2). While many cases can be managed conservatively, severely compromised teeth present a therapeutic challenge, particularly when interim management must be planned during active growth.
In addition to functional and developmental concerns, trauma in the esthetic zone has significant psychosocial implications. Losing an anterior tooth during adolescence may negatively affect self-esteem and psychological well-being, making timely and effective rehabilitation essential (3).
When traumatic avulsion occurs, replantation is the treatment of choice and, if performed appropriately, may result in successful healing (4). However, when replantation is not feasible, alternative therapies that preserve growth potential and remain compatible with orthodontic needs must be considered. In this context, tooth autotransplantation represents a valuable therapeutic option (1).
Autotransplantation involves relocating a donor tooth to replace a missing, compromised, or malpositioned tooth. Long-term studies have demonstrated excellent survival and success rates in adults (5) and children (6). Importantly, integration occurs through periodontal ligament healing (7), allowing the transplanted tooth to adapt to jaw growth and to be orthodontically moved. These unique biological advantages make autotransplantation particularly suitable for pediatric patients.
This report aims to describe a clinical case of premolar autotransplantation used to replace a maxillary central incisor compromised by trauma in a growing adolescent.
Case Report
A 13-year-old male patient presented with his parents to evaluate the possibility of orthodontic treatment due to anterior crowding. Clinically confirmed anterior crowding and revealed a buccal fistula in the regions of teeth 2.1 and 2.2 (Figure 1a). The maxillary left central incisor (2.1) had sustained trauma at the age of 8, resulting in a complicated crown fracture with pulp exposure, treated at that time by apexification and coronal restoration (Figure).
Thermal sensitivity testing confirmed vitality in all adjacent teeth except 2.1. Periapical radiography demonstrated an incongruent root canal treatment, incomplete root development, and a periapical radiolucency (Figure 1b). A preliminary plan of nonsurgical endodontic retreatment was considered; however, upon re-entry, methylene blue staining revealed a vertical distal root fracture (Figure 1c). CBCT confirmed a vertical fracture of 2.1 and a large osteolytic lesion extending to 2.2, with complete loss of the interdental septum and vestibular alveolar fenestration (Figure 2).
Given the hopeless prognosis of 2.1, three options were evaluated: (1) extraction and prosthetic replacement (Maryland bridge or removable prosthesis), waiting for an age suitable for implant rehabilitation, (2) orthodontic mesialization of adjacent teeth with subsequent prosthetic reshaping, and (3) autotransplantation of a premolar into the 2.1 site. Provisional prosthetic rehabilitation was excluded due to a long waiting discomfort period before implant placement, while orthodontic mesialization was deemed complex and esthetically unfavorable. Autotransplantation was therefore selected as the most suitable approach.
The donor tooth chosen was the maxillary left second premolar (2.5), which presented incomplete root development (Figure 3b). Following six weeks of orthodontic pre-treatment to mobilize and stimulate periodontal tissues (Figure 3), surgical extraction of 2.1 was performed under local anesthesia (Figure 4).
The socket was prepared using implant drills according to the dimensions of the donor tooth (Figure 5a). Tooth 2.5 was atraumatically explanted, immediately transplanted into the 2.1 site (Figure 5b), and stabilized passively with a flexible orthodontic splint. Coronoplasty was performed to avoid occlusal interference.
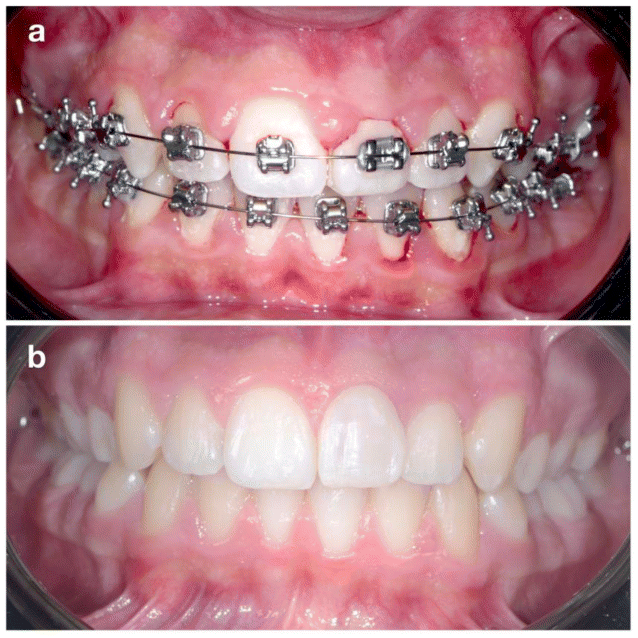
Postoperative management included systemic antibiotics, analgesics, and chlorhexidine rinses. At 10 days, the gingiva appeared healthy with no periodontal probing. At 4 weeks, composite resin was applied to reshape the transplanted premolar into an incisor morphology (Figure 6a). Orthodontic treatment resumed at 8 weeks. After 12 months, CBCT confirmed complete healing without root resorption or periapical pathology (Figure 7). The radiographic images reveal complete resolution of the initial osteolytic lesion and full regeneration of the alveolar socket surrounding the root of the transplanted tooth. Moreover, the vestibular bone wall has entirely reconstituted, closely following the anatomical contour of the tooth root. The contralateral premolar (1.5) was later extracted as part of the orthodontic plan completed in 10 months. Definitive composite restoration was placed after completion of orthodontic treatment (Figure 6b).
A five-year follow-up demonstrated stable periodontal integration and pulp vitality of the transplanted tooth, with positive, though slightly reduced, thermal sensitivity compared to adjacent teeth.
Discussion
In his seminal work, Tsukiboshi wrote that “words associated with transplantation of teeth are ‘pessimism and tragedy’ for some dentists but ‘hope and pleasure’ for others,” reflecting skepticism within the dental community (8). However, current literature consistently reports high survival and success rates for autotransplantation (9), comparable to those achieved with implant therapy.
In adult patients, implants and fixed prostheses are established, well-documented options, and autotransplantation may be considered an alternative. In pediatric patients, however, implants and prostheses interfere with maxillary growth and are contraindicated (1). In this context, autotransplantation, often combined with orthodontics, represents the treatment of choice. This approach is frequently used for management of impacted canines not treatable with orthodontics (10) and to rehabilitate an upper incisor lost to trauma by transplanting a premolar (11). In the present case, orthodontic treatment of an anterior tooth overcrowding with premolar extractions provided an opportunity to use one of the extracted teeth as a donor, illustrating the synergy between transplantology and orthodontics.
Autotransplantation offers several advantages: immediate replacement of a missing tooth, preservation of normal jaw growth, and possible orthodontic movement. These benefits are made possible by healing through the periodontal ligament, which is the key determinant of successful integration (7, 8). Preservation of the periodontal ligament during donor tooth extraction is therefore critical. Among the adjunctive strategies, orthodontic pre-treatment effectively mobilizes the donor tooth, widens the periodontal space, and stimulates cellular activity, all of which improve healing outcomes (12).
It is also noteworthy that the periodontal ligament could regenerate the alveolus three-dimensionally, even in areas where some bony walls were partially or absent. The regenerative potential of the periodontal ligament has previously been documented in a case of root membrane transplantation for implant purposes, where placing a root membrane instead of the missing buccal wall resulted in successful bone regeneration (13). Similarly, complete regeneration of all bony walls resorbed due to infection was achieved in the present case.
This case was advantageous because pulp healing and periodontal healing were achieved. It is well established that immature transplanted teeth may revascularize, whereas mature teeth generally require root canal treatment (8). A recent report, however, suggests that even mature teeth may sometimes retain vitality without endodontic intervention in specific cases, suggesting the monitoring of the pulp healing instead of the root canal treatment (14). In this case, no periapical pathology developed, and positive sensitivity testing confirmed pulp health, supporting the potential for spontaneous pulp healing in teeth with incomplete root formation.
This is why, to facilitate pulp healing, the selected donor tooth was 2.5, the least developed among the potential premolars identified on the preoperative CBCT scan.
Conclusions
This case highlights the effectiveness of autotransplantation as a treatment option for replacing compromised permanent teeth in pediatric patients. In growing individuals, where implants and fixed prostheses are contraindicated, autotransplantation offers a biologically favorable solution that preserves alveolar growth and enables orthodontic movement. Successful outcomes depend primarily on preserving periodontal ligament vitality, which is facilitated by careful surgical technique and, when feasible, orthodontic pre-treatment of the donor tooth.
Authors contributions
Michele Melillo: conceptualization; writing – preparation of the original draft.
Maria Eleonora Bizzoca: writing – Review and supervision.
Lorenzo Lo Muzio: writing – Review and supervision.
Luca Boschini: conceptualization, methodology; writing – preparing the original draft; writing – Review and supervision.
Fundings
This work did not receive any financial support.
Conflicts of interest
Authors declare any conflicts of interest.
References
- 1. Tsukiboshi M, Tsukiboshi C, Levin L. A step-by-step guide for autotransplantation of teeth. Dent Traumatol. 2023 Jul;39 Suppl 1:70–80. doi:10.1111/edt.12819. Epub 2023 Feb 3. PMID: 36655600. https://doi.org/10.1111/edt.12819
- 2. Levin L, Day PF, Hicks L, O’Connell A, Fouad AF, Bourguignon C, Abbott PV. International Association of Dental Traumatology guidelines for the management of traumatic dental injuries: General introduction. Dent Traumatol. 2020 Aug;36(4):309–313. doi:10.1111/edt.12574. Epub 2020 Jun 22. PMID: 32472740. https://doi.org/10.1111/edt.12574
- 3. Lee JY, Divaris K. Hidden consequences of dental trauma: the social and psychological effects. Pediatr Dent. 2009 Mar–Apr;31(2):96–101. PMID: 19455926.
- 4. Fouad AF, Abbott PV, Tsilingaridis G, Cohenca N, Lauridsen E, Bourguignon C, O’Connell A, Flores MT, Day PF, Hicks L, Andreasen JO, Cehreli ZC, Harlamb S, Kahler B, Oginni A, Semper M, Levin L. International Association of Dental Traumatology guidelines for the management of traumatic dental injuries: 2. Avulsion of permanent teeth. Dent Traumatol. 2020 Aug;36(4):331–342. doi:10.1111/edt.12573. Epub 2020 Jun 13. PMID: 32460393. https://doi.org/10.1111/edt.12573
- 5. Boschini L, Melillo M, Berton F. Long term survival of mature autotransplanted teeth: A retrospective single center analysis. J Dent. 2020 Jul;98:103371. doi:10.1016/j.jdent.2020.103371. Epub 2020 May 7. PMID: 32389731. https://doi.org/10.1016/j.jdent.2020.103371
- 6. Czochrowska EM, Stenvik A, Bjercke B, Zachrisson BU. Outcome of tooth transplantation: survival and success rates 17–41 years posttreatment. Am J Orthod Dentofacial Orthop. 2002 Feb;121(2):110–9; quiz 193. doi:10.1067/mod.2002.119979. PMID: 11840123. https://doi.org/10.1067/mod.2002.119979
- 7. Meto A, Çota K, Meto A, Bara S, Boschini L. Tooth Autotransplantation in Contemporary Dentistry: A Narrative Review of Its Clinical Applications and Biological Basis. J Clin Med. 2025 Sep 4;14(17):6249. doi:10.3390/jcm14176249. PMID: 40944008; PMCID: PMC12429413. https://doi.org/10.3390/jcm14176249
- 8. Tsukiboshi M. Autotransplantation of teeth: requirements for predictable success. Dent Traumatol. 2002 Aug;18(4):157–80. doi:10.1034/j.1600-9657.2002.00118.x. PMID: 12442825. https://doi.org/10.1034/j.1600-9657.2002.00118.x
- 9. Tan BL, Tong HJ, Narashimhan S, Banihani A, Nazzal H, Duggal MS. Tooth autotransplantation: An umbrella review. Dent Traumatol. 2023 Jul;39 Suppl 1:2–29. doi:10.1111/edt.12836. Epub 2023 Apr 19. PMID: 36898857. https://doi.org/10.1111/edt.12836
- 10. Boschini, L., Tepedino, M., Melillo, M., Mastrangelo, F., Laurenziello, M., Chimenti, C., Lo Muzio, L. and Ciavarella, D. (2019), Autotransplantation of an impacted maxillary canine with complete root formation in a young female - a case report. Oral Surg, 12: 139–147. https://doi.org/10.1111/ors.12393 https://doi.org/10.1111/ors.12393
- 11. Akhlef Y, Hosseini M, Schwartz O, Andreasen JO, Gerds TA, Jensen SS. Autotransplantation of Premolars to the Anterior Maxilla: A Long-Term Retrospective Cohort Study of Survival, Success, Esthetic, and Patient-Reported Outcome With up to 38-Year Follow-Up. Dent Traumatol. 2025 Jun;41(3):322–337. doi:10.1111/edt.13025. Epub 2024 Dec 11. PMID: 39663542. https://doi.org/10.1111/edt.13025
- 12. Pini Prato G, Franceschi D, Pace R, Di Gianfilippo R. Translational approach to tooth autotransplantation: A 27-year case study. Clin Adv Periodontics. 2024 Sep;14(3):165–171. doi:10.1002/cap.10272. Epub 2023 Nov 20. PMID: 37983628. https://doi.org/10.1002/cap.10272
- 13. Campione F, Campione L, Campione MF, Melillo M, Arena C, Abella F, Boschini L. Root Membrane Replantation as an Alternative Technique for the Socket Preservation. Case Rep Dent. 2022 May 2;2022:7455050. doi:10.1155/2022/7455050. PMID: 35548384; PMCID: PMC9085336. https://doi.org/10.1155/2022/7455050
- 14. Boschini L, Giudice A, Melillo M, Bennardo F, Abella Sans F, Arcari M, Tagliatesta L. Computer-Guided Surgery Can Avoid Prophylactic Endodontic Treatment in Autologous Tooth Transplantation: A 5-Year Follow-Up Case Report. Dent J (Basel). 2024 Apr 25;12(5):124. doi:10.3390/dj12050124. PMID: 38786522; PMCID: PMC11120491. https://doi.org/10.3390/dj12050124
