![]() |
Annali di Stomatologia | 2025; 16(4): 469-475 ISSN 1971-1441 | DOI: 10.59987/ads/2025.4.469-475 Articles |
The use of computer-guided surgery in oral implantology to simplify cases of regenerative and reconstructive surgery. A case series
Abstract
Aim: In the field of oral implantology, implant placement is usually accompanied by other more complicated regenerative procedures that present a challenge for the surgeon and the patient. The introduction of digital technology has significantly reduced the complexity of these procedures, increased accuracy, and allowed minimally invasive procedures. This study aimed to evaluate patient satisfaction and the patients’ trust in the new digital technology.
Methods: In this case series, three cases were performed fully guided with 3D-printed surgical guides: one case of lateral window sinus lift, one case of ramus block bone graft harvest, and one case of connective tissue graft harvest from the palate.
Results: a visual analog scale was used to evaluate two objectives: 1) patient satisfaction, 2) patients’ trust in the new technology. The results showed extreme patient satisfaction and extreme trust in the new technology. The observation from this case series is that the surgical guide technology has greatly simplified these procedures and ensured faster surgeries and greater precision.
Conclusion: digital technology has significantly simplified complex implant-related surgeries with high patient satisfaction and increased trust in this new technology and the surgeon. We totally agree with the previous studies supporting the use of computer-guided technology in oral implantology, and we recommend using computer-guided technology in all implant-related surgeries.
Keywords: Computer-guided surgery, Surgical guide, Guided surgery, 3D printing.
Introduction
The introduction of computer-guided surgery has notably simplified the implant process, leading to reduced procedural durations and enhanced patient satisfaction while maintaining procedural precision.
Typically, implant surgery involves regenerative and reconstructive procedures performed before, during, or after implant placement.
This case series highlights the application of guided surgery in non-implant scenarios, including connective tissue graft harvesting, bone block harvesting from the mandibular ramus, and lateral window sinus lifts. In the three cases presented, the guided surgery technique exhibited a superior level of simplicity, the highest level of patient satisfaction, and an extremely high level of trust by the patient in this new advanced technology (1–4).
Materials and methods
Case 1 Lateral window sinus lift
A 50-year-old medically free female patient presented to our clinic complaining of missing teeth numbers 14,15.
A CBCT was made for implant site analysis; the findings were vertical bone deficiency with a residual crest height of 3mm.
A lateral window approach was decided for the treatment.
Case planning was done on Realguide 5.0 (3 diemme, Varese, Italy). The sinus lift was planned on a tooth-supported guide with an extension over the bone in the window region (Figure 1).
Two implants were planned: C-tech 3.8*9 in the sinus lift zone and 3.8*11 in element 14 (Esthetic Line-EL®, C-Tech, Bologna, Italy).
Procedural steps
- Local anesthesia administration 4% Articaine with 1:100,000 Epinephrine (Septanest, Septodont, Saint-Maur-des-Fossés, France) with an infiltration approach buccally and a greater palatine nerve block was performed.
- A full mucoperiosteal flap was raised, extending one tooth before and one after the surgical site.
- The guide was placed and checked for correct seating. (Figure 2)
- A piezo surgery motor (Piezomed, W&H, Bürmoos, Austria) was designed to perform the lateral window sinus lift.
- Two C-tech EL 3.8 implants were then placed fully guided and covered with cover screws. (Figure 3)
- Xenograft particulate granules were packed into the sinus cavity after the implant placement (cerabone®, Botiss Biomaterials GmbH, Germany).
- A collagen membrane covered the window OSSIX-Plus (OraPharma Inc., Warminster, Pennsylvania).
- A horizontal mattress suture was placed, then interrupted sutures were placed 4-0 PGLA (Sweden and Martina, Due Carrare, Padova, Italy).
- 6 months later, implants were uncovered.
Case 2: Bone graft harvest from the mandibular ramus
A 38-year-old medically free male patient presented to our clinic complaining of a missing upper left lateral incisor. The patient wanted to place an implant for aesthetic reasons, and a CBCT was made for implant site analysis.
The CBCT findings were the presence of a cyst and a severe horizontal bone defect.
A decision was made to harvest a block graft from the ramus in a fully guided manner and place it on the crest after complete cyst enucleation.
Case planning was done on Realguide 5.0 (3diemme, Varese, Italy) (Figure 5). A tooth-supported guide was created, 3D printed with Mono X2 (Hong Kong Anycubic Technology Co., Hong Kong, China). Harvest was performed using a piezoelectric surgery unit (Piezomed, W&H, Bürmoos, Austria)
In this case, in particular, the surgical guide was extremely useful due to the critical position of the IAN, which has also limited the size of the block harvest.
The surgery went without complications, and the patient suffered no sensory deficits.
Procedural steps
- Local anesthesia administration of 4% Articaine with 1:100,000 Epinephrine (Septanest, Septodont, Saint-Maur-des-Fossés, France) with an infiltration approach, labial, and incisive nerve block was performed in the recipient site.
- An IAN block and a long buccal nerve block were performed in the donor site. 4% Articaine with 1:100,000 Epinephrine (Septanest, Septodont, Saint-Maur-des-Fossés, France) was used.
- A full mucoperiosteal flap was raised, extending one tooth before and one after the recipient site.
- The cyst was enucleated and sent for pathology, and the site was packed with sterile gauze.
- A vestibular incision was performed on the external oblique ridge in the donor site, starting at the first molar and going back to the ascending ramus, just behind the last molar.
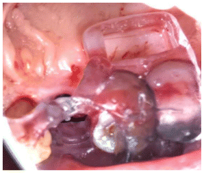
- The guide was placed and checked for correct seating. (Figure 6)
- Harvest was made with piezoelectric instruments.
- The donor site was packed.
- The block graft was trimmed extra orally. (Figure 7)
- The block was then fixed in place with 2 screws.
- The rest of the cyst defect was grafted with a mixture of auto (scraped with a bone scrapper) and xenograft (cerabone®, Botiss Biomaterials GmbH, Germany) (Figure 8)
- A collagen membrane was sutured in place OSSIX-Plus (OraPharma Inc., Warminster, Pennsylvania).
- A horizontal mattress suture was placed, and then interrupted sutures were placed 4-0 PGLA (Sweden and Martina, Due Carrare, Padova, Italy) in the recipient site and in the donor site.
Case 3: free gingival graft harvest from the palate
A 60-year-old female medically free patient presented to our clinic complaining of a broken upper left first premolar.
A CBCT was ordered after an implant site analysis was performed. Fully guided immediate implant placement was decided, together with gingival augmentation utilizing a guided connective tissue graft harvest from the palate.
Case planning was done on Realguide 5.0 (3diemme, Varese, Italy). (Figure 9,10)
Two tooth-supported guides were created, one for implant (Esthetic Line-EL®, C-Tech, Bologna, Italy) placement and one for graft harvest. They were 3D printed with Mono X2 (Hong Kong Anycubic Technology Co., Hong Kong, China).
Procedural steps
- Local anesthesia was administered using 4% Articaine with 1:100,000 Epinephrine (Septanest, Septodont, Saint-Maur-des-Fossés, France), with an infiltration approach buccally and palatally in the recipient site. A greater palatine nerve block was performed on the donor site.
- A partial thickness flap was performed in the implant site with a 15c blade.
- Atraumatic tooth extraction was performed.
- The tooth-supported implant surgical guide was placed in position, and a fully guided implant placement was performed.
- The harvest guide was then placed, and the FGG harvest was performed. (Figure 11,12)
- The donor site was packed with a hemostaticcollagen sponge from Gelitaspon (GELITAMEDICAL GmbH, Eberbach, Germany).
- Graft was then de-epithelialized extra orally.
- Graft was placed submarginally and sutured to theflap. (Figure 13).
Results
Statistical analysis
Recorded data were analyzed using the statistical package for the social sciences, version 26.0 (SPSS Inc., Chicago, Illinois, USA). The quantitative data were presented as mean±standard deviation and ranges when their distribution was parametric (standard). Also, qualitative variables were presented as numbers and percentages.
For the first outcome, the distribution of patient satisfaction outcomes across the three-case series reveals a pronounced inclination towards extremely positive perceptions, with all patients (n=3) reporting to be Extremely Satisfied (100%). No patients fell into the Unsatisfied (0.0%) or Moderately Satisfied (0.0%) categories. (Graph. 1, Table 1)
| Patient satisfaction | Patients group (n=3) |
|---|---|
| Unsatisfied | 0 (0.0%) |
| Moderate satisfied | 0 (0.0%) |
| Extremely satisfied | 3 (100%) |
For the second outcome, the assessment of patient trust in the new technology across the three-case series demonstrates unanimous and absolute confidence, with all patients (n=3) expressing Extremely Trust (100%), and no patients indicating No Trust (0.0%) or Moderate Trust (0.0%). (Grap. 2, Table 2)
Discussion
While classic dentistry has been practiced with success for a long time, digital technology has revolutionized modern dentistry and is now incorporated in all aspects of dentistry.(5)
Especially in the field of oral implantology, the emergence of 3D printing and computer-guided surgery has significantly increased the precision and simplicity of the procedures, even the complicated ones.(1, 6)
Usually, dental implant placement is accompanied by more complicated regenerative procedures, such as lateral window sinus lifting, bone grafting, and connective tissue grafting.
Using digital technology in complicated procedures, such as the lateral window sinus lifts and the block graft harvesting from the mandibular ramus, has increased the precision and simplicity, significantly reducing the complications of these complex procedures.(2, 7, 8)
In this case series, the three cases presented were performed in a completely digital manner. The results of our study showed extreme patient satisfaction and trust in the new technology and the surgeon. All cases showed perfect healing and no complications.
We totally agree with the previous studies supporting the use of computer-guided technology in oral implantology.
Conclusions
In this case series, we have presented three complicated implant-related surgeries: lateral window sinus lift, bone graft harvest from the mandibular ramus, and connective tissue graft harvest from the palate. These complicated procedures usually present a challenge to the surgeon and discomfort for the patient. The use of digital technology has significantly simplified these procedures, with very high patient satisfaction and increased the patient’s trust in the new technology and the surgeon.
More time was needed for the planning and case workup than freehand surgery; however, this time spent in the planning phase saved much surgery time.
| Patient trust in new technology | Patients group (n=3) |
|---|---|
| No trust | 0 (0.0%) |
| Moderate trust | 0 (0.0%) |
| Extremely trust | 3 (100%) |
We totally agree with previous studies supporting the use of computer-guided technology in oral implantology and recommend its use in all implant-related surgeries.
Funding
The study was funded entirely by the authors.
Conflict of interest
The authors declare no conflict of interest.
References
- 1. Husain, F., et al., Comparative evaluation of accuracy of implants placed with thermoplastic and three-dimensional-printed surgical guides: A randomized controlled trial. J Indian Soc Periodontol, 2024. 28(2): p. 244–251. https://doi.org/10.4103/jisp.jisp_256_23
- 2. De Stavola, L., et al., Accuracy and Technical Predictability of Computer Guided Bone Harvesting from the Mandible: A Cone-Beam CT Analysis in 22 Consecutive Patients. J Funct Biomater, 2022. 13(4). https://www.mdpi.com/2079-4983/13/4/292
- 3. Pardal-Pelaez, B., J.R. Cordoba-Llorente, and C. Belarra-Arenas, Sinus lift through the use of a surgical guide: a case report. Int J Comput Dent, 2020. 23(4): p. 377–386. https://pubmed.ncbi.nlm.nih.gov/33491933/
- 4. Bencharit, S., et al., In Vivo Tooth-Supported Implant Surgical Guides Fabricated With Desktop Stereolithographic Printers: Fully Guided Surgery Is More Accurate Than Partially Guided Surgery. J Oral Maxillofac Surg, 2018. 76(7): p. 1431–1439. https://doi.org/10.1016/j.joms.2018.02.010
- 5. Anadioti, E., et al., 3D printed complete removable dental prostheses: a narrative review. BMC Oral Health, 2020. 20(1): p. 343. https://doi.org/10.1186/s12903-020-01328-8 https://bmcoralhealth.biomedcentral.com/articles/10.1186/s12903-020-01328-8
- 6. Choi, W., et al., Freehand Versus Guided Surgery: Factors Influencing Accuracy of Dental Implant Placement. Implant Dent, 2017. 26(4): p. 500–509. https://doi.org/10.1097/ID.0000000000000620
- 7. Strbac, G.D., et al., Guided Lateral Sinus Lift Procedure Using 3-Dimensionally Printed Templates for a Safe Surgical Approach: A Proof-of-Concept Case Report. J Oral Maxillofac Surg, 2020. 78(9): p. 1529–1537. https://linkinghub.elsevier.com/retrieve/pii/S0278239120304481 https://doi.org/10.1016/j.joms.2020.04.042
- 8. De Stavola, L., A. Fincato, and A.M. Albiero, A computer-guided bone block harvesting procedure: a proof-of-principle case report and technical notes. Int J Oral Maxillofac Implants, 2015. 30(6): p. 1409–13. https://doi.org/10.11607/jomi.4045
