![]() |
Annali di Stomatologia | 2026; 17(1): 83-119 ISSN 1971-1441 | DOI: 10.59987/ads/2026.1.83-119 Articles |
Application of AMCOP® elastodontic device for early orthodontic management of class III malocclusion in pediatric patients
† These authors contributed equally to this work as co-first.
††These authors contributed equally to this work as co-last.
Abstract
Introduction: Managing Class III malocclusions remains a complex issue in orthodontics today. While traditional functional approaches have often led to favorable outcomes, newer alternatives such as elastodontic devices have recently gained attention as a more advanced iteration of conventional methods. These appliances may offer a promising early intervention strategy for growing patients presenting with Class III malocclusions.
Aim: This retrospective study aims to investigate the clinical effectiveness of the AMCOP® TC bioactivator in addressing dento-skeletal Class III malocclusions. Additionally, the study presents four selected clinical cases to illustrate the outcomes.
Materials and Methods: A total of 11 pediatric patients (5 boys and 6 girls) aged between 6 and 12 years were included in the study. All patients exhibited Class III malocclusion and were treated with the AMCOP® TC elastodontic appliance. The device was worn for two hours in the afternoon and overnight for an initial period of 6–8 months, followed by exclusive nighttime wear. Lateral cephalometric radiographs were taken at the start (T0) and end (T1) of the treatment. All radiographic data were evaluated using DeltaDent® software.
Conclusions: The AMCOP® TC elastodontic device effectively contributed to the correction of dento-skeletal Class III malocclusion and supported the postural improvement of the cervical spine, specifically the first vertebra. Despite the need for additional clinical studies, the results suggest that this treatment may serve as a noninvasive and well-tolerated option for interceptive orthodontic care.
Keywords: Class III malocclusion, Elastodontic therapy, AMCOP® TC bioactivator, Early orthodontic treatment
Introduction
Class III malocclusion is a complex condition involving an abnormal sagittal relationship between the maxilla and mandible, where the lower jaw is positioned ahead of the upper jaw (1–10). This discrepancy may be purely dental or skeletal in nature (11–29) (30–41). Dental Class III can be identified through clinical assessment, while skeletal Class III requires cephalometric analysis, particularly evaluating the ANB angle on lateral cephalograms (42–50). An ANB angle below 0° indicates Class III, whereas angles between 0°–4° and over 4° denote Class I and Class II, respectively (38–46).
The malocclusion may stem from mandibular overgrowth, maxillary underdevelopment, or both (60–68). Genetics often play a significant role, with Class III traits frequently observed within families (69–75). Environmental and epigenetic factors, such as mouth breathing, abnormal swallowing, short lingual frenulum, or cleft palate, can also contribute, mainly by disrupting tongue posture and jaw development (76–91). Class III can present alongside different vertical patterns: a normal vertical dimension (normo-bite), a reduced dimension (deep bite), or an increased one (open bite), the latter generally indicating a poorer prognosis (92–103). Clinically, signs include forward positioning of the lower dental arch, a concave facial profile, and alterations in lip posture (104–127). The condition may be linked with other health issues such as sleep apnea, joint pain, speech disorders, reflux, and psychological effects (128–149). Orthopedic treatment, especially during growth phases, is a preferred intervention (150–159). One such method involves elastodontic therapy using AMCOP® TC bioactivators, which are functional appliances designed to correct dento-craniofacial anomalies through neuromuscular re-education (160–169). These devices act on both jaw alignment and posture by engaging the first cervical vertebrae (170–186). The AMCOP® system includes various components: vestibular and lingual flanges that create a balanced pressure zone for proper tooth positioning; a lip bumper effect for muscular detachment and bone stimulation; a tongue ramp and button to encourage correct tongue placement; and design elements accommodating oral anatomy (187–200). Their flexibility is enhanced by thermoplastic materials of variable hardness, which can be softened in hot water for better fit (Figure 1) (201–212).
AMCOP® devices are classified based on malocclusion type—first class for transverse/vertical disharmonies, SC for Class II, and TC for Class III (213–219). The TC model aims to limit mandibular growth and restore physiological tongue function (69–75) (220–223). Specific models also exist for primary dentition and sleep-related breathing disorders (224–246).
This retrospective experimental study investigates the effectiveness of AMCOP® TC bioactivators in treating growing patients with Class III dento-skeletal malocclusions, illustrating the outcomes through four clinical case studies (247–261).
Material and methods
Sample Selection
The study included 11 patients (5 males, 6 females), aged between 6 and 12 years, who were treated with the AMCOP® TC bioactivator at the Orthodontic Department of Bari Polyclinic and a private practice. Inclusion criteria required skeletal Class III malocclusion (ANB < 0°), noticeable improvement in facial profile, and availability of lateral cephalometric radiographs before and after treatment. Patients were excluded if they had prior orthodontic treatment or craniofacial syndromes. Informed consent was obtained. Collected records included extra-oral and intra-oral photos, panoramic and lateral cephalometric X-rays, taken at the start (T0) and end (T1) of treatment.
Treatment Protocol
Treatment involved using the AMCOP® TC bioactivator, designed for Class III cases in primary, mixed, or permanent dentition. The device features a maxillary sliding plane and a mandibular stop. Patients wore the appliance for two hours in the afternoon and overnight for 6–8 months, followed by night-time use only. Treatment success was assessed by comparing cephalometric values (SNA, SNB, ANB) and observing clinical improvements.
Cephalometric Analysis
Lateral cephalograms were analyzed at T0 and T1 using DeltaDent® software to measure treatment outcomes.
Discussion
Traditional Functional Therapy
Class III malocclusions are among the most difficult to manage in orthodontics (262–265). Functional or interceptive treatments are often used for growing patients (266–273). Functional orthodontics, first introduced in Europe in the early 20th century, employs various appliances that influence jaw growth and occlusion (274–279). These devices are most effective during late mixed dentition (280–289). They are typically removable and encourage muscle reprogramming by prompting tongue and lip function, ultimately improving occlusal relationships (290–294).
Functional appliances are grouped into activators and morphoconformers (295–297) (298–308). The latter, such as Fränkel function regulators, act on soft tissues to guide skeletal growth by reducing abnormal muscular forces (309–312). For optimal effects, appliances are worn overnight and for 1–2 hours during the day (313–315). Nocturnal use engages involuntary reflexes like swallowing and breathing, while daytime use reinforces the response at the cortical level (316–318).
However, discomfort and lack of cooperation can lead to high failure rates (up to 34%). To address this, fixed appliances like the Herbst or Forsus are used for Class II malocclusions (319, 320). For Class III, treatments often include maxillary expansion to correct transverse discrepancies using devices such as rapid palatal expander or Transverse Sagittal Maxillary Expander (TSME) (321, 322). Research has shown similar improvements from both devices, though TSME offers superior maxillary arch perimeter gains (323–325). Alternative protocols like Reverse Twin Block with Lip Pads-Rapid Maxillary Expander (RTBLPRME) and Face Mask-Rapid Maxillary Expander (FM-RME) have also proven effective in improving skeletal and dental relationships (326–328). RTBLPRME showed more favorable skeletal changes (329).
Bone anchored maxillary protraction has demonstrated superior forward movement of the maxilla compared to FM-RME, though it is more invasive due to surgical anchor placement (330–332). In contrast, FM-RME is simpler but requires longer usage (333). Another study compared face masks with and without anterior protrusion devices (DPA), showing that DPA can limit unwanted mandibular rotation (334, 335).
Elastodontic Therapy
Elastodontic therapy represents a modern advancement of traditional functional orthodontics (336). It uses soft, elastic forces to promote skeletal and dental corrections, especially in growing children with mixed dentition (337, 338). Known also as myofunctional therapy, this approach corrects dysfunctional muscle patterns—restoring nasal breathing, lip seal, proper tongue posture, and correct swallowing (339, 340). Patients are also instructed to do home exercises to support proper tongue and breathing habits (341). Elastodontic appliances are pre-formed and may include additional elements depending on the case (342, 343). They are typically made of soft silicones or polymers that provide gentle force without causing trauma (344). The best timing for elastodontic treatment is during early or mixed dentition to ensure orthopedic and orthodontic results (345, 346). These appliances are used during early treatment phases and for long-term retention (347, 348). Well-known elastodontic devices include Éducation Fonctionnelle, Myobrace®, LM-Activator, Multi-Function System, Muppy®, Occluso-Guide®, and AMCOP®. AMCOP® bioactivators offer neuromuscular, orthopedic, and orthodontic benefits (349–351). Their ease of use and good patient tolerance make them effective, with notable clinical and radiographic improvements seen after 16–20 months (325–355). A review by Ureni et al. confirmed that elastodontic therapy improves sagittal relationships and tooth alignment, especially in patients with oral dysfunctions (356–360). However, it may be less effective than conventional appliances in producing skeletal changes (361–364). Ciavarella et al. found that elastodontic appliances enhanced mandibular growth but had limited effect on tooth inclinations (365–367).
Similarly, Ronsivalle et al. noted both elastodontics and bi-maxillary plates improved Class III malocclusion, though elastodontics yielded better transverse palatal development (368–370).
Clinical cases
Case 1
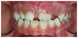
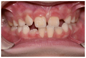
The patient was a young female presenting with a Class III dento-skeletal malocclusion, which was treated using the AMCOP® TC appliance. A comprehensive diagnostic protocol was carried out both before and after treatment, including orthopantomography (Figure 2–3), postero-anterior teleradiography (Figures 4, 5), latero-lateral cephalometric radiography (Figures 6, 7), cephalometric analysis (Tables 1, 2), as well as extraoral (Figures 8, 9) and intraoral photographs (Figures 10, 11). The extraoral examination revealed an edge-to-edge incisal relationship and the presence of a midline diastema. Pre-treatment cephalometric analysis (Deltadent® Lana, Bolzano, Italy) confirmed the diagnosis of a skeletal Class III malocclusion. The treatment plan involved the use of the AMCOP® TC appliance. The patient was instructed to wear the device for two hours in the afternoon and throughout the night for the first six months, followed by nighttime use only for an additional six months. Upon completion of the treatment, the patient achieved a Class I occlusion, with correction of both overjet and overbite. Additionally, the device facilitated tongue re-education and contributed to the postural realignment of the first cervical vertebra.
| Cephalometric Analysis before Treatment | Values (°) | Normal Values (°) |
|---|---|---|
| SNA | 81,3 | 82 ± 3 |
| SNB | 82,9 | 80 ± 3 |
| ANB | −1,6 | 2 ± 2 |
| OVJ | 3.5 | 3.5 ± 2,5 |
| OVB | 0.6 | 2 ± 2,5 |
| CoGoMe | 136,0 | 128,8 ± 4 |
| Is^Ans-Pns | 126,4 | 110 ± 6 |
| Li^GoGn | 106 | 94 ± 7 |
| Apg-Li | 3,6 | 2 ± 2 |
| Cephalometric Analysis after Treatment | Values (°) | Normal Values (°) |
|---|---|---|
| SNA | 83,0 | 82 ± 3 |
| SNB | 84,0 | 80 ± 3 |
| ANB | 1,0 | 2 ± 2 |
| OVJ | 2,5 | 3.5 ± 2,5 |
| OVB | 1,5 | 2 ± 2,5 |
| CoGoMe | 128,0 | 128,8 ± 4 |
| Is^Ans-Pns | 115,4 | 110 ± 6 |
| Li^GoGn | 99,7 | 94 ± 7 |
| Apg-Li | 2,0 | 2 ± 2 |
Case 2
The patient was a growing female child who presented during early mixed dentition with an anterior crossbite associated with a deep overbite and a marked sagittal discrepancy (Figures 12–19). The initial clinical examination revealed a negative overjet, complete anterior deep bite, and a functional Class III occlusal pattern. Extraoral assessment showed a flattened facial profile, while cephalometric analysis confirmed a skeletal imbalance characterized by increased SNA and SNB values, an ANB of 0°, negative Withs appraisal, and significant dentoalveolar compensations, including proclination of both upper and lower incisors (Table 3). The vertical pattern was predominantly hypodivergent, suggesting a high risk of unfavorable mandibular growth progression if left untreated. Given the patient’s young age and growth potential, an early interceptive treatment was planned to use the AMCOP® TC appliance, with the aim of correcting the anterior crossbite, improving neuromuscular balance, and guiding sagittal and vertical development during growth. The appliance was worn nightly and for additional daytime hours, according to patient compliance.
After 18 months of treatment, a clear clinical improvement was observed. Intraoral examination demonstrated complete correction of the anterior crossbite, with establishment of a positive overjet and normalization of the anterior occlusal relationship. The deep bite was reduced, allowing more functional anterior guidance. Occlusal relationships improved toward a stable dental Class I, and the need for excessive dentoalveolar compensation was reduced. Cephalometric reassessment showed an overall improvement in sagittal relationships and incisor inclinations, with a trend toward normalization of the previously altered parameters. These findings indicate that early functional therapy with the AMCOP® TC appliance was effective in intercepting the developing Class III malocclusion, improving occlusal function, and potentially reducing the severity of future skeletal discrepancies (Table 4).
| Parameter | Values | Normal Values |
|---|---|---|
| SNA (°) | 92.2° | 82 ± 3 |
| SNB (°) | 92.2° | 80 ± 3 |
| ANB (°) | 0.0° | 2 ± 2 |
| Overjet (OVJ) | −7.0 mm (Wits) | 3.5 ± 2.5 |
| Overbite (OVB) | ~0 / reduced | 2 ± 2.5 |
| CoGoMe (°) | ~126–128°* | 128.8 ± 4 |
| Upper incisor inclination (Is^Ans–Pns) | ~113.4° | 110 ± 6 |
| Lower incisor inclination (Li^GoGn) | 105.9° | 94 ± 7 |
| Lower incisor compensation (Apg–Li) | ~4.4 mm | 2 ± 2 |
| Parameter | Values | Normal Values |
|---|---|---|
| SNA (°) | 86.9° | 82 ± 3 |
| SNB (°) | 84.3° | 80 ± 3 |
| ANB (°) | 2.6° | 2 ± 2 |
| Overjet (OVJ) | −4.1 mm (Wits) | 3.5 ± 2.5 |
| Overbite (OVB) | Deep bite (reduced) | 2 ± 2.5 |
| CoGoMe (°) | ~128–130°* | 128.8 ± 4 |
| Upper incisor inclination (Is^Ans–Pns) | 111.9° | 110 ± 6 |
| Lower incisor inclination (Li^GoGn) | 101.0° | 94 ± 7 |
| Lower incisor compensation (Apg–Li) | ~3.3 | mm 2 ± 2 |
This case highlights the importance of early diagnosis and timely functional intervention in growing patients, demonstrating how interceptive treatment can favorably influence occlusal development and facial balance during critical growth phases.
Case 3
The patient was a 6-year-old female presenting with a Class III dento-skeletal malocclusion associated with anterior crossbite in the early mixed dentition (Figures 20–26). Baseline diagnostic records included orthopantomography, latero-lateral cephalometric radiography with cephalometric analysis, and extraoral and intraoral photographs. Clinical examination revealed a flat-to-slightly convex facial profile with sagittal skeletal discrepancy and negative overjet (Tables 5, 6). The treatment consisted exclusively of functional orthopedic therapy using the AMCOP® TC appliance, worn throughout the night and for one additional hour during the day, for a total duration of 24 months. At the end of active treatment, complete correction of the anterior crossbite was achieved, with normalization of overjet and overbite and establishment of a Class I dental relationship. A long-term follow-up evaluation performed at the age of 12 years, in complete permanent dentition, confirmed the stability of the results, showing a well-maintained anterior dental seal and a stable Class I occlusion. The AMCOP® TC appliance was continued as nighttime retention only, supporting neuromuscular balance and occlusal stability throughout growth.
| Parameter | Values | Normal Values |
|---|---|---|
| SNA (°) | 81.9° | 82 ± 3 |
| SNB (°) | 83.0° | 80 ± 3 |
| ANB (°) | −1.2° | 2 ± 2 |
| Overjet (OVJ) | −5.7 mm (Wits) | 3.5 ± 2.5 |
| Overbite (OVB) | Deep bite | 2 ± 2.5 |
| CoGoMe (°) | ~136°* | 128.8 ± 4 |
| Upper incisor inclination (Is^Ans–Pns) | 110.2° | 110 ± 6 |
| Lower incisor inclination (Li^GoGn) | 96.9° | 94 ± 7 |
| Lower incisor compensation (Apg–Li) | ~2.6 mm | 2 ± 2 |
| Parameter | Values | Normal Values |
|---|---|---|
| SNA (°) | 84.4° | 82 ± 3 |
| SNB (°) | 83.5° | 80 ± 3 |
| ANB (°) | 1.0° | 2 ± 2 |
| Overjet (OVJ) | −3.6 mm (Wits) | 3.5 ± 2.5 |
| Overbite (OVB) | Deep bite | 2 ± 2.5 |
| CoGoMe (°) | ~129–130°* | 128.8 ± 4 |
| Upper incisor inclination (Is^Ans–Pns) | 107.7° | 110 ± 6 |
| Lower incisor inclination (Li^GoGn) | 96.9° | 94 ± 7 |
| Lower incisor compensation (Apg–Li) | ~0.7 | mm 2 ± 2 |
Case 4
The patient presented in early mixed dentition with a complete anterior crossbite associated with a bilateral posterior crossbite, resulting in a functional mandibular shift and lower dental midline deviation (Figures 27–34) (Table 7). Extraoral examination revealed a flat facial profile with a tendency toward convexity, a long facial pattern, and mild facial asymmetry, consistent with a functional component superimposed on an underlying skeletal Class III tendency. The treatment protocol involved the use of an AMCOP TC appliance, designed to address the transverse maxillary deficiency and eliminate the functional shift. The appliance allowed progressive transverse development of the maxillary arch, promoting spontaneous mandibular repositioning and restoration of a more physiologic maxillomandibular relationship during growth. Following active treatment, a complete correction of both anterior and posterior crossbite was achieved. Transverse arch coordination was obtained, with elimination of the unilateral posterior crossbite and resolution of the functional mandibular deviation. The occlusion was stabilized in a dental Class I relationship, with normalization of overjet and overbite and centering of the lower dental midline relative to the maxillary midline. From a sagittal perspective, the correction of the functional shift contributed to an improvement in the intermaxillary relationship, with favorable dentoalveolar adaptation and reduction of compensatory incisor inclinations. Vertical relationships remained stable throughout treatment, maintaining a normodivergent growth pattern. Extraoral assessment after treatment showed an improvement in facial balance and symmetry, with a more harmonious sagittal profile compared to baseline. The correction of occlusal relationships allowed a more stable mandibular posture, positively influencing soft tissue profile and facial proportions. The post-treatment lateral cephalogram (Table 8) and the clinical, occlusal, and photographic records clearly demonstrate total correction of the malocclusion, supporting the effectiveness of early interceptive treatment with AMCOP TC in patients with Class III malocclusion associated with transverse maxillary deficiency and functional mandibular displacement. Early orthopedic–orthodontic intervention appears to play a key role in restoring functional occlusion and guiding craniofacial development toward a more favorable pattern.
| Cephalometric Analysis after Treatment | Values (°) | Normal Values (°) |
|---|---|---|
| SNA | 79° | 82 ± 3 |
| SNB | 78,5° | 80 ± 3 |
| ANB | 0,5° | 2 ± 2 |
| OVJ | 2,5 | 3.5 ± 2,5 |
| OVB | 1,5 | 2 ± 2,5 |
| CoGoMe | 131° | 128,8 ± 4 |
| Is^Ans-Pns | 112° | 110 ± 6 |
| Li^GoGn | 100° | 94 ± 7 |
| Apg-Li | 2,0 mm | 2 ± 2 |
| Parameter | Values | Normal Values |
|---|---|---|
| SNA (°) | 80.0° | 82 ± 3 |
| SNB (°) | 79.9° | 80 ± 3 |
| ANB (°) | 0.0° | 2 ± 2 |
| Overjet (OVJ) | −5.4 mm (Wits) | 3.5 ± 2.5 |
| Overbite (OVB) | Deep bite | 2 ± 2.5 |
| CoGoMe (°) | ~132–133°* | 128.8 ± 4 |
| Upper incisor inclination (Is^Ans–Pns) | 109.4° | 110 ± 6 |
| Lower incisor inclination (Li^GoGn) | 95.1° | 94 ± 7 |
| Lower incisor compensation (Apg–Li) | ~1.5 mm | 2 ± 2 |
Case 5
The patient was a 4-year-old male who began treatment during complete deciduous dentition, presenting at clinical examination with a tendency toward skeletal Class III malocclusion, characterized by anterior crossbite with 100% deep bite, deviated mandibular midline, and a flat facial profile (Figures 35–40). Initial intraoral documentation refers to this early age; however, radiographic records (orthopantomography and latero-lateral cephalometric radiography) were obtained only after 18 months of therapy, once parental consent was granted and the patient had entered the mixed dentition phase. Cephalometric analysis performed at that time confirmed a growth pattern unfavorable to skeletal Class III development (Table 9). The treatment protocol consisted exclusively of functional orthopedic therapy using the AMCOP® TC appliance, initiated in early childhood and currently ongoing. At the 18-month clinical follow-up, significant improvements were observed, including anterior bite opening, transverse maxillary development favoring correction of the anterior crossbite, and improvement of the dental midline relationship. Given the patient’s growth phase and skeletal pattern, the treatment is still in progress and requires continued monitoring over time to guide craniofacial development and assess long-term stability.
| Parameter | Plausible Value | Normal Values |
|---|---|---|
| SNA (°) | 78.0 | 82 ± 3 |
| SNB (°) | 82.5 | 80 ± 3 |
| ANB (°) | −4.5 | 2 ± 2 |
| Overjet (mm) | −2.0 | 3.5 ± 2.5 |
| Overbite (mm) | 1.0 | 2 ± 2.5 |
| Wits (mm) | −5.0 | 0 ± 2 |
| CoGoMe (°) | 133.0 | 128.8 ± 4 |
| Is^Ans–Pns (°) | 116.0 | 110 ± 6 |
| Li^GoGn (°) | 88.0 | 94 ± 7 |
| Apg–Li (mm) | −2.0 | 2 ± 2 |
Case 6
The patient presented for orthodontic evaluation in the early mixed dentition phase, with only the lower central incisors erupted (Figures 41–47). At the initial clinical examination, an anterior and unilateral posterior crossbite on the left side was observed, associated with a lower dental midline deviation to the left.
Extraoral examination revealed a flat facial profile with a tendency toward convexity, a long facial pattern, and facial asymmetry, likely related to the functional mandibular shift induced by the unilateral posterior crossbite. Cephalometric analysis performed before treatment (Table 10) showed a skeletal Class III relationship, characterized by reduced maxillary sagittal position (SNA 75.9°), mandibular retrusion (SNB 76.4°), and a negative ANB angle (−0.5°). Vertical relationships were within normal limits, with a normodivergent growth pattern (CoGoMe 130.7°). Dental compensation was evident, particularly at the mandibular level, with marked proclination of the lower incisors (Li^GoGn 110.6°) and reduced overjet and overbite (OVJ −0.9 mm; OVB −3.1 mm) (Table 10).
The treatment protocol included the use of an AMCOP TC appliance, aimed at correcting the transverse discrepancy, eliminating the unilateral posterior crossbite, and resolving the functional mandibular deviation. Following therapy, a complete correction of the left posterior crossbite was achieved, along with recentering of the lower dental midline and establishment of a dental Class I relationship.
The occlusion appeared stable, with improved transverse coordination of the arches and normalization of anterior relationships, as documented in the post-treatment intraoral records.
At present, a post-treatment lateral cephalogram is not available due to family-related constraints; therefore, cephalometric comparisons are limited to pre-treatment data. Nevertheless, clinical outcomes demonstrate effective interception of the transverse and functional components of the malocclusion, potentially reducing the risk of worsening skeletal discrepancies during growth.
| Cephalometric Analysis before Treatment | Values (°) | Normal Values (°) |
|---|---|---|
| SNA | 75,9 | 82 ± 3 |
| SNB | 76,4 | 80 ± 3 |
| ANB | −0,5 | 2 ± 2 |
| OVJ | −0,9 | 3.5 ± 2,5 |
| OVB | −3,1 | 2 ± 2,5 |
| CoGoMe | 130,7° | 128,8 ± 4 |
| Is^Ans-Pns | 111 | 110 ± 6 |
| Li^GoGn | 110,6° | 94 ± 7 |
| Apg-Li | −0,5 | 2 ± 2 |
Case 7
The patient was a 7.5-year-old female in mixed dentition, presenting with a flat facial profile. Intraoral clinical examination revealed mandibular deviation to the right associated with unilateral posterior crossbite in the right molar region, lower dental midline deviation to the right, and a tendency toward dental Class III malocclusion (Figures 48–53) (Table 11). The maxillary arch appeared constricted, with evident space deficiency for the eruption of the permanent maxillary lateral incisors, while the permanent mandibular incisors showed retroinclination. The patient was treated with the AMCOP® TC appliance, and therapy is currently ongoing. At the 12-month follow-up, clinical evaluation demonstrated significant transverse maxillary expansion with correction of the unilateral posterior crossbite and improvement in maxillo-mandibular transverse relationships, as well as a favorable trend toward midline correction. Given the patient’s growth phase and evolving dentition, treatment will be continued and closely monitored, with final radiographic assessments planned to evaluate skeletal relationships and long-term stability.
| Parameter | Values (°) | Normal Values (°) |
|---|---|---|
| SNA | 74.6° | 82 ± 3 |
| SNB | 74.9° | 80 ± 3 |
| ANB | −0.3° | 2 ± 2 |
| Overjet (OVJ) | −1.0 mm | 3.5 ± 2.5 |
| Overbite (OVB) | ~0 / reduced | 2 ± 2.5 |
| CoGoMe (°) | ≈130.7° | 128.8 ± 4 |
| Upper incisor inclination (Is^Ans–Pns) | ~111° | 110 ± 6 |
| Lower incisor inclination (Li^GoGn) | ~108–110° | 94 ± 7 |
| Lower incisor compensation (Apg–Li) | −0.5 mm | 2 ± 2 |
Case 8
The patient was a growing child presenting an anterior crossbite involving the permanent maxillary left incisor, associated with an early dental Class III pattern (Figures 54–60). The initial cephalometric analysis revealed a sagittal skeletal discrepancy characterized by reduced SNA and SNB values, a negative ANB (−0.3°), and a negative Wits appraisal (−5.3 mm), consistent with a developing Class III malocclusion (Table 12). Dentoalveolar compensation was also observed, with proclination of both upper and lower incisors and a negative overjet.
An interceptive orthodontic treatment was carried out using the AMCOP® TC appliance for a period of 12 months. The therapy resulted in complete clinical correction of the anterior crossbite, restoration of a positive overjet, and improvement of the dental Class III relationship. Clinical examination and photographic records documented favorable maxillary transverse development, contributing to improved occlusal relationships and anterior guidance. The vertical dimension remained well controlled throughout treatment. Post-treatment cephalometric radiographs were not available; therefore, treatment outcomes were evaluated on the basis of clinical findings and photographic documentation. Despite this limitation, the observed occlusal correction and transverse maxillary development suggest a positive orthopedic and dentoalveolar response to early functional therapy.
| Parameter | Value | Normal Values |
|---|---|---|
| SNA (°) | 74.6 | 82 ± 3 |
| SNB (°) | 74.9 | 80 ± 3 |
| ANB (°) | −0.3 | 2 ± 2 |
| Wits (mm) | −5.3 | 0 ± 2 |
| CoGoMe (°) | 129.0 | 128.8 ± 4 |
| Is^Ans–Pns (°) | 112.6 | 110 ± 6 |
| Li^GoGn (°) | 108.0 | 94 ± 7 |
| Apg–Li (mm) | −3.5 | 2 ± 2 |
| Overjet (mm) | −1.0 | 3.5 ± 2.5 |
| Overbite (mm) | 4.0 | 2 ± 2.5 |
Case 9
The patient (Figures 61–65) was a growing male child presenting with a dental Class III malocclusion characterized by an anterior crossbite and an altered incisal relationship, detected during the mixed dentition phase. The initial clinical examination revealed a negative overjet with reduced anterior guidance and an unstable anterior occlusal seal, consistent with a functional and dentoalveolar Class III pattern. Although lateral cephalometric radiographs (LL) were not available either before or after treatment due to parental reluctance to radiographic exposure, comprehensive clinical and photographic documentation was performed, supported by orthopantomography and serial intraoral and extraoral records.
The treatment plan consisted of an early orthopedic–functional approach using the AMCOP® TC appliance, prescribed with nighttime wear and additional daytime use according to patient compliance. The therapeutic goal was to intercept the Class III malocclusion by promoting favorable dentoalveolar adaptation and neuromuscular rebalancing during active growth, while improving anterior occlusal relationships.
At the 12-month follow-up, a marked clinical improvement was observed. Intraoral examination documented complete correction of the anterior crossbite, with restoration of a positive overjet and overbite and the achievement of a stable anterior occlusal seal. The molar and canine relationships evolved toward a dental Class I, indicating a favorable sagittal correction. Extraoral photographs showed an improvement in smile aesthetics and perioral balance, without signs of functional deviation. The panoramic radiograph confirmed harmonious dental eruption and alignment consistent with the patient’s developmental stage.
Despite the absence of lateral cephalometric data, the consistency between clinical findings, photographic documentation, and occlusal outcomes supports the effectiveness of the AMCOP® TC appliance in the early treatment of dental Class III malocclusion. This case highlights the clinical relevance of early functional intervention in growing patients, demonstrating that significant occlusal correction and stabilization can be achieved within a relatively short treatment period when therapy is initiated during a favorable growth phase.
Conclusions
Patients treated with the AMCOP® TC elastodontic device wore it for two hours in the afternoon and overnight for 6–8 months, followed by nighttime use only. This approach led to correction of skeletal Class III malocclusion and improvement in cervical spine posture. Treatment lasted 16–24 months on average, with the appliance replaced every 6–8 months due to loss of elasticity. Typically, two to three devices were used per patient. Although promising for its minimal invasiveness and high patient compliance, further studies are needed to confirm the effectiveness of AMCOP® TC bioactivators in managing Class III malocclusions.
Funding
This research received no external funding.
Institutional review board statement
Not applicable.
Informed consent statement
Not applicable.
Data availability statement
Not applicable.
Conflicts of interest
The authors declare no conflict of interest.
Abbreviations
AMCOP: Multifunctional Cranio-Occlusal-Postural Harmoniser
DPA: Anterior Protrusion Device
FM-RME: Face Mask-Rapid Maxillary Expander
RTBLP-RME: Reverse Twin Block with Lip Pads-Rapid Maxillary Expander
SC: Second Class
TC: Third Class
TSME: Transverse Sagittal Maxillary Expander
References
- 1. Velásquez, G.; Aliaga-Del Castillo, A.; Valerio, M.V.; Maranhão, O.B.V.; Miranda, F.; Janson, G. Effects of Eruption Guidance Appliance in the Early Treatment of Class III Malocclusion. Angle Orthod 2024, 94, 286–293, doi:10.2319/071223-488.
- 2. Tepedino, M.; Iancu-Potrubacz, M.; Ciavarella, D.; Masedu, F.; Marchione, L.; Chimenti, C. Expansion of Permanent First Molars with Rapid Maxillary Expansion Appliance Anchored on Primary Second Molars. J Clin Exp Dent 2018, 10, e241–e247, doi:10.4317/jced.54585.
- 3. Tabellion, M.; Lisson, J.A. Dentofacial and Skeletal Effects of Two Orthodontic Maxillary Protraction Protocols: Bone Anchors versus Facemask. Head & Face Medicine 2024, 20, 60, doi:10.1186/s13005-024-00462-w.
- 4. Solano-Mendoza, B.; Iglesias-Linares, A.; Yañez-Vico, R.M.; Mendoza-Mendoza, A.; Alió-Sanz, J.J.; Solano-Reina, E. Maxillary Protraction at Early Ages. The Revolution of New Bone Anchorage Appliances. J Clin Pediatr Dent 2012, 37, 219–229, doi:10.17796/jcpd.37.2.q0k770403v443053.
- 5. Shrestha, A.; Song, S.H.; Aung, H.N.; Sangwatanakul, J.; Zhou, N. Three-Dimensional Cephalometric Analysis: The Changes in Condylar Position Pre- and Post-Orthognathic Surgery With Skeletal Class III Malocclusion. J Craniofac Surg 2021, 32, 546–551, doi:10.1097/SCS.0000000000006873.
- 6. Sar, C.; Sahinoğlu, Z.; Özçirpici, A.A.; Uçkan, S. Dentofacial Effects of Skeletal Anchored Treatment Modalities for the Correction of Maxillary Retrognathia. Am J Orthod Dentofacial Orthop 2014, 145, 41–54, doi:10.1016/j.ajodo. 2013.09.009.
- 7. Quinzi, V.; Paskay, L.C.; Manenti, R.J.; Giancaspro, S.; Marzo, G.; Saccomanno, S. Telemedicine for a Multidisciplinary Assessment of Orofacial Pain in a Patient Affected by Eagle’s Syndrome: A Clinical Case Report., doi:10.2174/1874210602115010102.
- 8. Ortu, E.; Barrucci, G.; Aprile, G.; Guerrini, L.; Pietropaoli, D.; Monaco, A. Electromyographic Evaluation during Orthodontic Therapy: Comparison of Two Elastodontic Devices. J Biol Regul Homeost Agents 2020, 34, 1935–1939, doi:10.23812/20-141-L.
- 9. Möhlhenrich, S.C.; Kötter, F.; Peters, F.; Kniha, K.; Chhatwani, S.; Danesh, G.; Hölzle, F.; Modabber, A. Effects of Different Surgical Techniques and Displacement Distances on the Soft Tissue Profile via Orthodontic-Orthognathic Treatment of Class II and Class III Malocclusions. Head Face Med 2021, 17, 13, doi:10.1186/s13005-021-00264-4.
- 10. Minervini, G.; Lucchese, A.; Perillo, L.; Serpico, R.; Minervini, G. Unilateral Superior Condylar Neck Fracture with Dislocation in a Child Treated with an Acrylic Splint in the Upper Arch for Functional Repositioning of the Mandible. Cranio 2017, 35, 337–341, doi:10.1080/08869634.2016.1203560.
- 11. Meme’, L.; Gallusi, G.; Coli, G.; Strappa, E.; Bambini, F.; Sampalmieri, F. Photobiomodulation to Reduce Orthodontic Treatment Time in Adults: A Historical Prospective Study. Applied Sciences 2022, 12, 11532, doi:10.3390/app122211532.
- 12. Lim, L.-I.; Choi, J.-Y.; Ahn, H.-W.; Kim, S.-H.; Chung, K.-R.; Nelson, G. Treatment Outcomes of Various Force Applications in Growing Patients with Skeletal Class III Malocclusion: Angle Orthod 2021, 91, 449–458, doi:10.2319/090320-768.1.
- 13. Lee, Y.-S.; Lee, J.-Y. Orthodontic Diagnosis Rates Based on Panoramic Radiographs in Children Aged 6–8 Years: A Retrospective Study. Korean J Orthod 2024, 54, 185–195, doi:10.4041/kjod24.004.
- 14. Lee, W.-C.; Shieh, Y.-S.; Liao, Y.-F.; Lee, C.-H.; Huang, C.S. Long-Term Maxillary Anteroposterior Changes Following Maxillary Protraction with or without Expansion: A Meta-Analysis and Meta-Regression. PLoS One 2021, 16, e0247027, doi:10.1371/journal.pone.0247027.
- 15. Kotuła, J.; Kuc, A.E.; Lis, J.; Kawala, B.; Sarul, M. New Sagittal and Vertical Cephalometric Analysis Methods: A Systematic Review. Diagnostics (Basel) 2022, 12, 1723, doi:10.3390/diagnostics12071723.
- 16. Kanas, R.J.; Carapezza, L.; Kanas, S.J. Treatment Classification of Class III Malocclusion. J Clin Pediatr Dent 2008, 33, 175–185, doi:10.17796/jcpd.33.2.431877341u182416.
- 17. Janson, G.; Nakamura, A.; Chiqueto, K.; Castro, R.; de Freitas, M.R.; Henriques, J.F.C. Treatment Stability with the Eruption Guidance Appliance. Am J Orthod Dentofacial Orthop 2007, 131, 717–728, doi:10.1016/j.ajodo.2005.04.048.
- 18. Hodecker, L.D.; Kühle, R.; Weichel, F.; Roser, C.J.; Lux, C.J.; Bauer, C.A.J. Concept for the Treatment of Class III Anomalies with a Skeletally Anchored Appliance Fabricated in the CAD/CAM Process—The MIRA Appliance. Bioengineering (Basel) 2023, 10, 616, doi:10.3390/bioengineering10050616.
- 19. Eslami, S.; Faber, J.; Fateh, A.; Sheikholaemmeh, F.; Grassia, V.; Jamilian, A. Treatment Decision in Adult Patients with Class III Malocclusion: Surgery versus Orthodontics. Prog Orthod 2018, 19, 28, doi:10.1186/s40510-018-0218-0.
- 20. Ellis, E.; McNamara, J.A. Components of Adult Class III Open-Bite Malocclusion. Am J Orthod 1984, 86, 277–290, doi:10.1016/0002-9416(84)90138-6.
- 21. Dinoi, M.T.; Marchetti, E.; Garagiola, U.; Caruso, S.; Mummolo, S.; Marzo, G. Orthodontic Treatment of an Unerupted Mandibular Canine Tooth in a Patient with Mixed Dentition: A Case Report. J Med Case Rep 2016, 10, 170, doi:10.1186/s13256-016-0923-6.
- 22. Contaldo, M.; Itro, A.; Lajolo, C.; Gioco, G.; Inchingolo, F.; Serpico, R. Overview on Osteoporosis, Periodontitis and Oral Dysbiosis: The Emerging Role of Oral Microbiota. Applied Sciences 2020, 10, 6000, doi:10.3390/app10176000.
- 23. Ciavarella, D.; Parziale, V.; Mastrovincenzo, M.; Palazzo, A.; Sabatucci, A.; Suriano, M.M.; Bossù, M.; Cazzolla, A.P.; Lo Muzio, L.; Chimenti, C. Condylar Position Indicator and T-Scan System II in Clinical Evaluation of Temporomandibular Intracapsular Disease. J Craniomaxillofac Surg 2012, 40, 449–455, doi:10.1016/j.jcms.2011.07.021.
- 24. Ciavarella, D.; Mastrovincenzo, M.; Tepedino, M.; Laurenziello, M.; Guida, L.; Montaruli, G.; Troiano, G.; Muzio, L.L. Early Treatment of Pseudo-Class III Malocclusion with Modified Swallowing Occlusal Contact Intercept Appliance (S.O.C.I.A.). J Indian Soc Pedod Prev Dent 2018, 36, 206–212, doi:10.4103/JISPPD.JISPPD_83_17.
- 25. CASSANO, M.; RUSSO, G.; GRANIERI, C.; CIAVARELLA, D. Modification of Growth, Immunologic and Feeding Parameters in Children with OSAS after Adenotonsillectomy. Acta Otorhinolaryngol Ital 2018, 38, 124–130, doi:10.14639/0392-100X-1380.
- 26. Baik, J.-C.; Choi, Y.-K.; Jeon, H.H.; Kim, S.-H.; Kim, S.-S.; Park, S.-B.; Kim, Y.-I. Skeletal and Dentoalveolar Effects of Maxillary Protraction Using Tooth- and Miniscrew-Anchored Devices in Patients with Class III Malocclusion with Maxillary Deficiency: A Retrospective Follow-Up Study. Applied Sciences 2023, 13, 10530, doi:10.3390/app131810530.
- 27. Baccetti, T.; Franchi, L.; Toth, L.R.; McNamara, J.A. Treatment Timing for Twin-Block Therapy. Am J Orthod Dentofacial Orthop 2000, 118, 159–170, doi:10.1067/mod.2000.105571.
- 28. Azeem, M.; Ul Haq, A.; Ul Hamid, W.; Hayat, M.B.; Khan, D.I.; Ahmed, A.; Khan, M.T. Efficiency of Class III Malocclusion Treatment with 2-Premolar Extraction and Molar Distalization Protocols. Int Orthod 2018, 16, 665–675, doi:10.1016/j.ortho.2018.09.007.
- 29. Dipalma, G.; Inchingolo, A.M.; Morolla, R.; Inchingolo, F.; Venere, D.D.; Maspero, C.; Palermo, A.; Marinelli, G.; Inchingolo, A.D. Association Between Bone Density and Maxillary Canine Impaction: A CBCT-Based Study. Journal of Clinical Medicine 2026, 15, 776, doi:10.3390/jcm15020776.
- 30. Inchingolo, A.D.; Inchingolo, A.M.; Piras, F.; Malcangi, G.; Patano, A.; Di Pede, C.; Netti, A.; Ciocia, A.M.; Corriero, A.; Semjonova, A.; et al. A Systematic Review of Positional Plagiocephaly Prevention Methods for Patients in Development. Applied Sciences 2022, 12, 11172, doi:10.3390/app122111172.
- 31. Acceleration Techniques for Teeth Movements in Extractive Orthodontic Therapy Available online: https://www.mdpi.com/2076-3417/13/17/9759 (accessed on 27 April 2025).
- 32. Inchingolo, F.; Inchingolo, A.M.; Latini, G.; Palmieri, G.; Di Pede, C.; Trilli, I.; Ferrante, L.; Inchingolo, A.D.; Palermo, A.; Lorusso, F.; et al. Application of Graphene Oxide in Oral Surgery: A Systematic Review. Materials (Basel) 2023, 16, 6293, doi:10.3390/ma16186293.
- 33. Minetti, E.; Palermo, A.; Inchingolo, A.D.; Patano, A.; Viapiano, F.; Ciocia, A.M.; de Ruvo, E.; Mancini, A.; Inchingolo, F.; Sauro, S.; et al. Autologous Tooth for Bone Regeneration: Dimensional Examination of Tooth Transformer® Granules. Eur Rev Med Pharmacol Sci 2023, 27, 5421–5430, doi:10.26355/eurrev_202306_32777.
- 34. Malcangi, G.; Patano, A.; Pezzolla, C.; Riccaldo, L.; Mancini, A.; Di Pede, C.; Inchingolo, A.D.; Inchingolo, F.; Bordea, I.R.; Dipalma, G.; et al. Bruxism and Botulinum Injection: Challenges and Insights. J Clin Med 2023, 12, 4586, doi:10.3390/jcm12144586.
- 35. Bellocchio, L.; Patano, A.; Inchingolo, A.D.; Inchingolo, F.; Dipalma, G.; Isacco, C.G.; de Ruvo, E.; Rapone, B.; Mancini, A.; Lorusso, F.; et al. Cannabidiol for Oral Health: A New Promising Therapeutical Tool in Dentistry. Int J Mol Sci 2023, 24, 9693, doi:10.3390/ijms24119693.
- 36. Bellocchio, L.; Inchingolo, A.D.; Inchingolo, A.M.; Lorusso, F.; Malcangi, G.; Santacroce, L.; Scarano, A.; Bordea, I.R.; Hazballa, D.; D’Oria, M.T.; et al. Cannabinoids Drugs and Oral Health-From Recreational Side-Effects to Medicinal Purposes: A Systematic Review. Int J Mol Sci 2021, 22, 8329, doi:10.3390/ijms22158329.
- 37. Patano, A.; Malcangi, G.; De Santis, M.; Morolla, R.; Settanni, V.; Piras, F.; Inchingolo, A.D.; Mancini, A.; Inchingolo, F.; Dipalma, G.; et al. Conservative Treatment of Dental Non-Carious Cervical Lesions: A Scoping Review. Biomedicines 2023, 11, 1530, doi:10.3390/biomedicines11061530.
- 38. Malcangi, G.; Inchingolo, A.D.; Inchingolo, A.M.; Santacroce, L.; Marinelli, G.; Mancini, A.; Vimercati, L.; Maggiore, M.E.; D’Oria, M.T.; Hazballa, D.; et al. COVID-19 Infection in Children, Infants and Pregnant Subjects: An Overview of Recent Insights and Therapies. Microorganisms 2021, 9, 1964, doi:10.3390/microorganisms9091964.
- 39. Popovici, C.; Bordea, I.R.; Inchingolo, A.D.; Inchingolo, F.; Inchingolo, A.M.; Dipalma, G.; Muntean, A.L. Dental Splints and Sport Performance: A Review of the Current Literature. Dent J (Basel) 2025, 13, 170, doi:10.3390/dj13040170.
- 40. Dipalma, G.; Inchingolo, A.M.; Casamassima, L.; Nardelli, P.; Ciccarese, D.; De Sena, P.; Inchingolo, F.; Palermo, A.; Severino, M.; Maspero, C.M.N.; et al. Effectiveness of Dental Restorative Materials in the Atraumatic Treatment of Carious Primary Teeth in Pediatric Dentistry: A Systematic Review. Children 2025, 12, 511, doi:10.3390/children12040511.
- 41. Dipalma, G.; Inchingolo, A.D.; Pezzolla, C.; Sardano, R.; Trilli, I.; Di Venere, D.; Corsalini, M.; Inchingolo, F.; Severino, M.; Palermo, A.; et al. Head and Cervical Posture in Sagittal Skeletal Malocclusions: Insights from a Systematic Review. Journal of Clinical Medicine 2025, 14, 2626, doi:10.3390/jcm14082626.
- 42. Troiano, G.; Dioguardi, M.; Cocco, A.; Zhurakivska, K.; Ciavarella, D.; Muzio, L.L. Increase the Glyde Path Diameter Improves the Centering Ability of F6 Skytaper. Eur J Dent 2018, 12, 89–93, doi:10.4103/ejd.ejd_231_17.
- 43. Troiano, G.; Dioguardi, M.; Cocco, A.; Laino, L.; Cervino, G.; Cicciu, M.; Ciavarella, D.; Lo Muzio, L. Conservative vs Radical Approach for the Treatment of Solid/Multicystic Ameloblastoma: A Systematic Review and Meta-Analysis of the Last Decade. Oral Health Prev Dent 2017, 15, 421–426, doi:10.3290/j.ohpd.a38732.
- 44. Troiano, G.; Dioguardi, M.; Cocco, A.; Giuliani, M.; Fabiani, C.; D’Alessandro, A.; Ciavarella, D.; Lo Muzio, L. Centering Ability of ProTaper Next and WaveOne Classic in J-Shape Simulated Root Canals. ScientificWorldJournal 2016, 2016, 1606013, doi:10.1155/2016/1606013.
- 45. Termine, N.; Panzarella, V.; Ciavarella, D.; Lo Muzio, L.; D’Angelo, M.; Sardella, A.; Compilato, D.; Campisi, G. Antibiotic Prophylaxis in Dentistry and Oral Surgery: Use and Misuse. Int Dent J 2009, 59, 263–270.
- 46. Tepedino, M.; Illuzzi, G.; Laurenziello, M.; Perillo, L.; Taurino, A.M.; Cassano, M.; Guida, L.; Burlon, G.; Ciavarella, D. Craniofacial Morphology in Patients with Obstructive Sleep Apnea: Cephalometric Evaluation. Braz J Otorhinolaryngol 2022, 88, 228–234, doi:10.1016/j.bjorl.2020.05.026.
- 47. Tepedino, M.; Iancu-Potrubacz, M.; Ciavarella, D.; Masedu, F.; Marchione, L.; Chimenti, C. Expansion of Permanent First Molars with Rapid Maxillary Expansion Appliance Anchored on Primary Second Molars. J Clin Exp Dent 2018, 10, e241–e247, doi:10.4317/jced.54585.
- 48. Lo Russo, L.; Zhurakivska, K.; Montaruli, G.; Salamini, A.; Gallo, C.; Troiano, G.; Ciavarella, D. Effects of Crown Movement on Periodontal Biotype: A Digital Analysis. Odontology 2018, 106, 414–421, doi:10.1007/s10266-018-0370-5.
- 49. Sabatucci, A.; Raffaeli, F.; Mastrovincenzo, M.; Luchetta, A.; Giannone, A.; Ciavarella, D. Breathing Pattern and Head Posture: Changes in Craniocervical Angles. Minerva Stomatol 2015, 64, 59–74.
- 50. Lo Russo, L.; Ciavarella, D.; Salamini, A.; Guida, L. Alignment of Intraoral Scans and Registration of Maxillo-Mandibular Relationships for the Edentulous Maxillary Arch. J Prosthet Dent 2019, 121, 737–740, doi:10.1016/j.prosdent.2018.06.022.
- 51. Lo Muzio, L.; Lo Russo, L.; Falaschini, S.; Ciavarella, D.; Pentenero, M.; Arduino, P.; Favia, G.; Maiorano, E.; Rubini, C.; Pieramici, T.; et al. Beta- and Gamma-Catenin Expression in Oral Dysplasia. Oral Oncol 2009, 45, 501–504, doi:10.1016/j.oraloncology.2008.06.004.
- 52. Lo Muzio, L.; Santarelli, A.; Panzarella, V.; Campisi, G.; Carella, M.; Ciavarella, D.; Di Cosola, M.; Giannone, N.; Bascones, A. Oral Squamous Cell Carcinoma and Biological Markers: An Update on the Molecules Mainly Involved in Oral Carcinogenesis. Minerva Stomatol 2007, 56, 341–347.
- 53. Laino, L.; Troiano, G.; Giannatempo, G.; Graziani, U.; Ciavarella, D.; Dioguardi, M.; Lo Muzio, L.; Lauritano, F.; Cicciù, M. Sinus Lift Augmentation by Using Calcium Sulphate. A Retrospective 12 Months Radiographic Evaluation Over 25 Treated Italian Patients. Open Dent J 2015, 9, 414–419, doi:10.2174/1874210601509010414.
- 54. Gallo, C.; Ciavarella, D.; Santarelli, A.; Ranieri, E.; Colella, G.; Lo Muzio, L.; Lo Russo, L. Potential Salivary Proteomic Markers of Oral Squamous Cell Carcinoma. Cancer Genomics Proteomics 2016, 13, 55–61.
- 55. Dioguardi, M.; Di Gioia, G.; Illuzzi, G.; Ciavarella, D.; Laneve, E.; Troiano, G.; Lo Muzio, L. Passive Ultrasonic Irrigation Efficacy in the Vapor Lock Removal: Systematic Review and Meta-Analysis. ScientificWorldJournal 2019, 2019, 6765349, doi:10.1155/2019/6765349.
- 56. Crincoli, V.; Cazzolla, A.P.; Di Comite, M.; Lo Muzio, L.; Ciavarella, D.; Dioguardi, M.; Bizzoca, M.E.; Palmieri, G.; Fontana, A.; Giustino, A.; et al. Evaluation of Vitamin D (25OHD), Bone Alkaline Phosphatase (BALP), Serum Calcium, Serum Phosphorus, Ionized Calcium in Patients with Mandibular Third Molar Impaction. An Observational Study. Nutrients 2021, 13, 1938, doi:10.3390/nu13061938.
- 57. Compilato, D.; Cirillo, N.; Termine, N.; Kerr, A.R.; Paderni, C.; Ciavarella, D.; Campisi, G. Long-Standing Oral Ulcers: Proposal for a New “S-C-D Classification System.” J Oral Pathol Med 2009, 38, 241–253, doi:10.1111/j.1600-0714.2008.00722.x.
- 58. Ciavarella, D.; Tepedino, M.; Gallo, C.; Montaruli, G.; Zhurakivska, K.; Coppola, L.; Troiano, G.; Chimenti, C.; Laurenziello, M.; Lo Russo, L. Post-Orthodontic Position of Lower Incisors and Gingival Recession: A Retrospective Study. J Clin Exp Dent 2017, 9, e1425–e1430, doi:10.4317/jced.54261.
- 59. Ciavarella, D.; Parziale, V.; Mastrovincenzo, M.; Palazzo, A.; Sabatucci, A.; Suriano, M.M.; Bossù, M.; Cazzolla, A.P.; Lo Muzio, L.; Chimenti, C. Condylar Position Indicator and T-Scan System II in Clinical Evaluation of Temporomandibular Intracapsular Disease. J Craniomaxillofac Surg 2012, 40, 449–455, doi:10.1016/j.jcms.2011.07.021.
- 60. Ciavarella, D.; Mastrovincenzo, M.; D’Onofrio, V.; Chimenti, C.; Parziale, V.; Barbato, E.; Lo Muzio, L. Saliva Analysis by Surface-Enhanced Laser Desorption/Ionization Time-of-Flight Mass Spectrometry (SELDI-TOF-MS) in Orthodontic Treatment: First Pilot Study. Prog Orthod 2011, 12, 126–131, doi:10.1016/j.pio.2011.06.002.
- 61. Ciavarella, D.; Monsurrò, A.; Padricelli, G.; Battista, G.; Laino, L.; Perillo, L. Unilateral Posterior Crossbite in Adolescents: Surface Electromyographic Evaluation. Eur J Paediatr Dent 2012, 13, 25–28.
- 62. Cianci, C.; Pappalettera, G.; Renna, G.; Casavola, C.; Laurenziello, M.; Battista, G.; Pappalettere, C.; Ciavarella, D. Mechanical Behavior of PET-G Tooth Aligners Under Cyclic Loading. 2020, doi:10.3389/fmats.2020.00104.
- 63. Cazzolla, A.P.; Campisi, G.; Lacaita, G.M.; Cuccia, M.A.; Ripa, A.; Testa, N.F.; Ciavarella, D.; Lo Muzio, L. Changes in Pharyngeal Aerobic Microflora in Oral Breathers after Palatal Rapid Expansion. BMC Oral Health 2006, 6, 2, doi:10.1186/1472-6831-6-2.
- 64. Cazzolla, A.P.; Zhurakivska, K.; Ciavarella, D.; Lacaita, M.G.; Favia, G.; Testa, N.F.; Marzo, G.; La Carbonara, V.; Troiano, G.; Lo Muzio, L. Primary Hyperoxaluria: Orthodontic Management in a Pediatric Patient: A Case Report. Special Care in Dentistry 2018, 38, 259–265, doi:10.1111/scd.12302.
- 65. Cassano, M.; Russo, G.; Granieri, C.; Ciavarella, D. Modification of Growth, Immunologic and Feeding Parameters in Children with OSAS after Adenotonsillectomy. Acta Otorhinolaryngol Ital 2018, 38, 124–130, doi:10.14639/0392-100X-1380.
- 66. Campobasso, A.; Lo Muzio, E.; Battista, G.; Ciavarella, D.; Crincoli, V.; Lo Muzio, L. Taxonomic Analysis of Oral Microbiome during Orthodontic Treatment. Int J Dent 2021, 2021, 8275181, doi:10.1155/2021/8275181.
- 67. Avvanzo, P.; Ciavarella, D.; Avvanzo, A.; Giannone, N.; Carella, M.; Lo Muzio, L. Immediate Placement and Temporization of Implants: Three- to Five-Year Retrospective Results. J Oral Implantol 2009, 35, 136–142, doi:10.1563/1548-1336-35.3.136.
- 68. Annibali, S.; Cristalli, M.P.; Solidani, M.; Ciavarella, D.; La Monaca, G.; Suriano, M.M.; Lo Muzio, L.; Lo Russo, L. Langerhans Cell Histiocytosis: Oral/Periodontal Involvement in Adult Patients. Oral Dis 2009, 15, 596–601, doi:10.1111/j.1601-0825.2009.01601.x.
- 69. Patano, A.; Inchingolo, A.M.; Cardarelli, F.; Inchingolo, A.D.; Viapiano, F.; Giotta, M.; Bartolomeo, N.; Di Venere, D.; Malcangi, G.; Minetti, E.; et al. Effects of Elastodontic Appliance on the Pharyngeal Airway Space in Class II Malocclusion. J Clin Med 2023, 12, 4280, doi:10.3390/jcm12134280.
- 70. Inchingolo, F.; Dipalma, G.; Paduanelli, G.; De Oliveira, L.A.; Inchingolo, A.M.; Georgakopoulos, P.I.; Inchingolo, A.D.; Malcangi, G.; Athanasiou, E.; Fotopoulou, E.; et al. Computer-Based Quantification of an Atraumatic Sinus Augmentation Technique Using CBCT. J Biol Regul Homeost Agents 2019, 33, 31–39. DENTAL SUPPLEMENT.
- 71. Pasciuti, E.; Coloccia, G.; Inchingolo, A.D.; Patano, A.; Ceci, S.; Bordea, I.R.; Cardarelli, F.; Di Venere, D.; Inchingolo, F.; Dipalma, G. Deep Bite Treatment with Aligners: A New Protocol. Applied Sciences 2022, 12, 6709, doi:10.3390/app12136709.
- 72. Inchingolo, A.M.; Malcangi, G.; Ferrara, I.; Patano, A.; Viapiano, F.; Netti, A.; Azzollini, D.; Ciocia, A.M.; de Ruvo, E.; Campanelli, M.; et al. MRONJ Treatment Strategies: A Systematic Review and Two Case Reports. Applied Sciences 2023, 13, 4370, doi:10.3390/app13074370.
- 73. Inchingolo, A.M.; Ceci, S.; Coloccia, G.; Azzollini, D.; Malcangi, G.; Mancini, A.; Inchingolo, F.; Trerotoli, P.; Dipalma, G.; Patano, A. Predictability and Effectiveness of Nuvola® Aligners in Dentoalveolar Transverse Changes: A Retrospective Study. Biomedicines 2023, 11, 1366, doi:10.3390/biomedicines11051366.
- 74. Inchingolo, A.D.; Pezzolla, C.; Patano, A.; Ceci, S.; Ciocia, A.M.; Marinelli, G.; Malcangi, G.; Montenegro, V.; Cardarelli, F.; Piras, F.; et al. Experimental Analysis of the Use of Cranial Electromyography in Athletes and Clinical Implications. Int J Environ Res Public Health 2022, 19, 7975, doi:10.3390/ijerph19137975.
- 75. Inchingolo, A.D.; Cosola, M.D.; Inchingolo, A.M.; Lucchina, A.G.; Malcangi, G.; Pettini, F.; Scarano, A.; Bordea, I.R.; Hazballa, D.; Lorusso, F.; et al. Correlation between Occlusal Trauma and Oral Microbiota: A Microbiological Investigation. Journal of Biological Regulators and Homeostatic Agents 2021, 35, 295–302, doi:10.23812/21-2supp1-29.
- 76. A, L.; G, D.; D, I.A.; S, C.; V, C.; C, T.F.; R, T.S.; C, B.; M, C.; A, P.; et al. DENTAL ISSUES FOLLOWING THE PLACEMENT OF ORTHODONTIC MINI-SCREWS. 2024.
- 77. Bellocchio, L.; Dipalma, G.; Inchingolo, A.M.; Inchingolo, A.D.; Ferrante, L.; Del Vecchio, G.; Malcangi, G.; Palermo, A.; Qendro, A.; Inchingolo, F. COVID-19 on Oral Health: A New Bilateral Connection for the Pandemic. Biomedicines 2023, 12, 60, doi:10.3390/biomedicines12010060.
- 78. Cenzato, N.; Inchingolo, A.M.; Dipalma, G.; Manti, A.; Stella, G.; Zara, F.; Inchingolo, F.; Maspero, C.; Cenzato, N.; Inchingolo, A.M.; et al. Optimal Skeletal Anchorage in Orthodontics: A Scoping Review. European Journal of Musculoskeletal Diseases 2024, 13, S190–S199.
- 79. Boccalari, E.; Khijmatgar, S.; Occhipinti, C.; Del Fabbro, M.; Inchingolo, F.; Tartaglia, G.M. Effect of Hydrogen Peroxide and Hyaluronic Acid in Mouth Rinse after Third Molar Extraction: A Triple-Blind Parallel Randomized Controlled Clinical Trial. Eur Rev Med Pharmacol Sci 2024, 28, 3946–3957, doi:10.26355/eurrev_202407_36527.
- 80. Cenzato, N.; Farronato, M.; Tartaglia, F.C.; Giannini, L.; Inchingolo, A.M.; Dipalma, G.; Maspero, C.; Inchingolo, F. Soft Tissue Facial Morphology in Growing Patients with Different Occlusal Classes. J Pers Med 2024, 14, 1042, doi:10.3390/jpm14101042.
- 81. Cerkezi, S.; Nakova, M.; Gorgoski, I.; Ferati, K.; Bexheti-Ferati, A.; Palermo, A.; Inchingolo, A.D.; Ferrante, L.; Inchingolo, A.M.; Inchingolo, F.; et al. The Role of Sulfhydryl (Thiols) Groups in Oral and Periodontal Diseases. Biomedicines 2024, 12, 882, doi:10.3390/biomedicines12040882.
- 82. Charitos, I.A.; Inchingolo, A.M.; Ferrante, L.; Inchingolo, F.; Inchingolo, A.D.; Castellaneta, F.; Cotoia, A.; Palermo, A.; Scacco, S.; Dipalma, G. The Gut Microbiota’s Role in Neurological, Psychiatric, and Neurodevelopmental Disorders. Nutrients 2024, 16, 4404, doi:10.3390/nu16244404.
- 83. Comuzzi, L.; Ceddia, M.; Di Pietro, N.; Inchingolo, F.; Inchingolo, A.M.; Romasco, T.; Tumedei, M.; Specchiulli, A.; Piattelli, A.; Trentadue, B. Crestal and Subcrestal Placement of Morse Cone Implant-Abutment Connection Implants: An In Vitro Finite Element Analysis (FEA) Study. Biomedicines 2023, 11, 3077, doi:10.3390/biomedicines11113077.
- 84. Converti, I.; Maggiore, M.E.; Patano, A.; Ceci, S.; Corriero, A.; Ciocia, A.M.; Giacomo, A.D.; Marinelli, G.; Ferati, K.; Bexheti-Ferati, A.; et al. Toothache and Brain: Any Connections? Journal of Biological Regulators and Homeostatic Agents 2022, 36, 399–411, doi:10.23812/j.biol.regul.homeost.agents.202236.2S3.34.
- 85. Corriero, A.; Giglio, M.; Inchingolo, F.; Moschetta, A.; Varrassi, G.; Puntillo, F. Gut Microbiota Modulation and Its Implications on Neuropathic Pain: A Comprehensive Literature Review. Pain Ther 2024, 13, 33–51, doi:10.1007/s40122-023-00565-3.
- 86. Corriero, A.; Giglio, M.; Soloperto, R.; Inchingolo, F.; Varrassi, G.; Puntillo, F. Microbial Symphony: Exploring the Role of the Gut in Osteoarthritis-Related Pain. A Narrative Review. Pain Ther 2024, 13, 409–433, doi:10.1007/s40122-024-00602-9.
- 87. De Francesco, M.; Ferrara, E.; Inchingolo, F.; Dalmaschio, G.; Pispero, A.; Inchingolo, A.M.; Dipalma, G.; Testori, T.; Tartaglia, G.M.; Rapone, B. Soft-Tissue Management Dental Implants with Digitally Customized Healing Abutments: A Pilot Study. Prosthesis 2024, 6, 596–618, doi:10.3390/prosthesis6030042.
- 88. Del Prete, R.; Nesta, D.; Triggiano, F.; Lorusso, M.; Garzone, S.; Vitulano, L.; Denicolò, S.; Indraccolo, F.; Mastria, M.; Ronga, L.; et al. Human Papillomavirus Carcinogenicity and the Need of New Perspectives: Thoughts from a Retrospective Analysis on Human Papillomavirus Outcomes Conducted at the Hospital University of Bari, Apulia, Italy, between 2011 and 2022. Diagnostics (Basel) 2024, 14, 968, doi:10.3390/diagnostics14090968.
- 89. Inchingolo, A.D.; Marinelli, G.; Bassi, P.; Lagioia, R.; Inchingolo, F.; Vinjolli, F.; Palermo, A.; Celli, D.; Inchingolo, A.M.; Dipalma, G. Comparison of Skeletal and Airway Changes Between Subjects with Class II Malocclusion Treated with Functional Therapy in the Pre-Pubertal and Pubertal Phases. Eur J Paediatr Dent 2025, 26, 255–267, doi:10.23804/ejpd.2025.2544.
- 90. Crincoli, V.; Inchingolo, A.D.; Marinelli, G.; Lagioia, R.; Bassi, P.; Ciocia, C.; Calò, F.; Deodato, R.; Marsella, G.; Inchingolo, F.; et al. Evaluation of the Possible Correlation Between Dental Occlusion and Craniomandibular Disorders by Means of Teethan® Electromyography: Clinical-Observational Study on 20 Patients. J Clin Med 2025, 14, 5508, doi:10.3390/jcm14155508.
- 91. Dipalma, G.; Inchingolo, A.D.; Calò, F.; Lagioia, R.; Bassi, P.; de Ruvo, E.; Inchingolo, F.; Palermo, A.; Marinelli, G.; Inchingolo, A.M. Eighty-Four-Month Clinical Outcomes of Autologous Dentin Graft Using Tooth Transformer® and Concentrated Growth Factors in Maxillary Atrophy: A Retrospective Study of 31 Patients. J Funct Biomater 2025, 16, 357, doi:10.3390/jfb16100357.
- 92. Pelo, S.; Correra, P.; Gasparini, G.; Marianetti, T.M.; Cervelli, D.; Grippaudo, C.; Boniello, R.; Azzuni, C.; Deli, R.; Moro, A. Three-Dimensional Analysis and Treatment Planning of Hemimandibular Hyperplasia. J Craniofac Surg 2011, 22, 2227–2234, doi:10.1097/SCS.0b013e31823200da.
- 93. Oliva, B.; Sferra, S.; Greco, A.L.; Valente, F.; Grippaudo, C. Three-Dimensional Analysis of Dental Arch Forms in Italian Population. Prog Orthod 2018, 19, 34, doi:10.1186/s40510-018-0233-1.
- 94. Muraglie, S.; Leonardi, R.; Aboulazm, K.; Stumpo, C.; Loreto, C.; Grippaudo, C. Evaluation of Structural Skeletal Asymmetry of the Glenoid Fossa in Adult Patients with Unilateral Posterior Crossbite Using Surface-to-Surface Matching on CBCT Images. Angle Orthod 2020, 90, 376–382, doi:10.2319/061819-415.1.
- 95. Grippaudo, C.; Paolantonio, E.G.; Pantanali, F.; Antonini, G.; Deli, R. Early Orthodontic Treatment: A New Index to Assess the Risk of Malocclusion in Primary Dentition. European Journal of Paediatric Dentistry 2014, 15, 401–406.
- 96. Grippaudo, C.; D’Apolito, I.; Cafiero, C.; Re, A.; Chiurazzi, P.; Frazier-Bowers, S.A. Validating Clinical Characteristic of Primary Failure of Eruption (PFE) Associated with PTH1R Variants. Prog Orthod 2021, 22, 43, doi:10.1186/s40510-021-00387-z.
- 97. Grippaudo, C.; Cancellieri, D.; Grecolini, M.E.; Deli, R. Comparison between Different Interdental Stripping Methods and Evaluation of Abrasive Strips: SEM Analysis. Prog Orthod 2010, 11, 127–137, doi:10.1016/j.pio.2010.08.001.
- 98. Grippaudo, C.; Paolantonio, E.G.; Deli, R.; La Torre, G. Orthodontic Treatment Need in the Italian Child Population. Eur J Paediatr Dent 2008, 9, 71–75.
- 99. Grippaudo, C.; Paolantonio, E.G.; Deli, R.; La Torre, G. Validation of the Risk Of Malocclusion Assessment (ROMA) Index. Eur J Paediatr Dent 2007, 8, 136–142.
- 100. Grippaudo, C.; Pantanali, F.; Paolantonio, E.G.; Grecolini, M.E.; Saulle, R.; La Torre, G.; Deli, R. Prevalence of Malocclusion in Italian Schoolchildren and Orthodontic Treatment Need. Eur J Paediatr Dent 2013, 14, 314–318.
- 101. Grippaudo, C.; Pantanali, F.; Paolantonio, E.G.; Saulle, R.; Latorre, G.; Deli, R. Orthodontic Treatment Timing in Growing Patients. Eur J Paediatr Dent 2013, 14, 231–236.
- 102. De Angelis, P.; Manicone, P.F.; De Angelis, S.; Grippaudo, C.; Gasparini, G.; Liguori, M.G.; Camodeca, F.; Piccirillo, G.B.; Desantis, V.; D’Amato, G.; et al. Patient and Operator Centered Outcomes in Implant Dentistry: Comparison between Fully Digital and Conventional Workflow for Single Crown and Three-Unit Fixed-Bridge. Materials (Basel) 2020, 13, 2781, doi:10.3390/ma13122781.
- 103. Cafiero, C.; Re, A.; Stigliano, E.; Bassotti, E.; Moroni, R.; Grippaudo, C. Optimization of DNA Extraction from Dental Remains. Electrophoresis 2019, 40, 1820–1823, doi:10.1002/elps.201900142.
- 104. Pre-Formed Crowns and Pediatric Dentistry: A Systematic Review of Different Techniques of Restorations. JOCPD 2025, 49, 1, doi:10.22514/jocpd.2025.001.
- 105. Signs and Symptoms Commonly Seen in COVID-19 in Newborns, Children, and Adolescents and Pediatric Subjects Available online: https://colab.ws/articles/10.1016%2Fb978-0-323-95059-6.00007-3 (accessed on 7 April 2025).
- 106. Scarano, A.; Khater, A.G.A.; Gehrke, S.A.; Inchingolo, F.; Tari, S.R. Animal Models for Investigating Osseointegration: An Overview of Implant Research over the Last Three Decades. J Funct Biomater 2024, 15, 83, doi:10.3390/jfb15040083.
- 107. Scarano, A.; Inchingolo, F.; Alla, I.; Lorusso, F.; Tari, S.R.; Gehrke, S.A.; Khater, A.G.A. Patients’ Satisfaction with Mandibular Overdentures Retained Using Mini-Implants: An Up-to-16-Year Cross-Sectional Study. Prosthesis 2024, 6, 251–262, doi:10.3390/prosthesis6020019.
- 108. Romasco, T.; Pignatelli, P.; Tumedei, M.; Hossein, H.H.S.; Cipollina, A.; Piattelli, A.; Inchingolo, F.; Di Pietro, N. The Influence of Truncated-Conical Implant Length on Primary Stability in Maxillary and Mandibular Regions: An in Vitro Study Using Polyurethane Blocks. Clin Oral Investig 2023, 28, 28, doi:10.1007/s00784-023-05444-x.
- 109. Rapone, B.; Inchingolo, F.; Tartaglia, G.M.; De Francesco, M.; Ferrara, E. Asymmetric Dimethylarginine as a Potential Mediator in the Association between Periodontitis and Cardiovascular Disease: A Systematic Review of Current Evidence. Dent J (Basel) 2024, 12, 297, doi:10.3390/dj12090297.
- 110. Rapone, B.; Ferrara, E.; Qorri, E.; Inchingolo, F.; Isola, G.; Dongiovanni, P.; Tartaglia, G.M.; Scarano, A. Research Efficacy of Gaseous Ozone Therapy as an Adjuvant to Periodontal Treatment on Oxidative Stress Mediators in Patients with Type 2 Diabetes: A Randomized Clinical Trial. BMC Oral Health 2023, 23, 278, doi:10.1186/s12903-023-02985-1.
- 111. Publisher, B. IMPACTED TEETH AND TEMPORARY ANCHORAGE DEVICES, A MODERN APPROACH: SYSTEMATIC REVIEW AND CLINICAL CASES. Biolife - Scientific Publisher 2024.
- 112. Pizzolante, T.; Meme, L.; Ciccariello, A.; Andreoli, E.; Bambini, F.; Inchingolo, F.; Mummolo, S. Complications of Zygomatic Implantology: Observational Clinical Study. 2024, doi:10.58240/1829006X-2024.4-73.
- 113. Patano, A.; Inchingolo, A.M.; Laudadio, C.; Azzollini, D.; Marinelli, G.; Ceci, S.; Latini, G.; Rapone, B.; Inchingolo, A.D.; Mancini, A.; et al. Therapeutic Strategies of Primary Molar Infraocclusion: A Systematic Review. Children (Basel) 2023, 10, 582, doi:10.3390/children10030582.
- 114. Muntean, A.; Mzoughi, S.M.; Pacurar, M.; Candrea, S.; Inchingolo, A.D.; Inchingolo, A.M.; Ferrante, L.; Dipalma, G.; Inchingolo, F.; Palermo, A.; et al. Silver Diamine Fluoride in Pediatric Dentistry: Effectiveness in Preventing and Arresting Dental Caries—A Systematic Review. Children 2024, 11, 499, doi:10.3390/children11040499.
- 115. Patano, A.; Cardarelli, F.; Montenegro, V.; Ceci, S.; Inchingolo, A.D.; Semjonova, A.; Palmieri, G.; Pede, C.D.; Mancini, A.; Maggiore, M.E.; et al. Early Functional Orthodontic Treatment of Bad Oral Habits with AMCOP® Bio-Activators. Journal of Biological Regulators and Homeostatic Agents 2022, 36, 91–110, doi:10.23812/j.biol.regul.homeost.agents.202236.2S3.10.
- 116. Minetti, E.; Dipalma, G.; Palermo, A.; Inchingolo, A.D.; Viapiano, F.; Inchingolo, A.M.; Inchingolo, F. The Most Suitable System to Grind the Whole Tooth to Use It as Graft Material. Explor Med. 2024, 5, 1–16, doi:10.37349/emed.2024.00202.
- 117. Meme’, L.; Bambini, F.; Sampalmieri, F.; Dipalma, G.; Inchingolo, A.M.; Pennacchio, B.F.P.; Giorgio, R.V.; Corsalini, M.; Paduanelli, G.; Tartaglia, F.C.; et al. THE THERAPEUTIC POTENTIAL OF CBD IN DENTISTRY: APPLICATIONS, MECHANISMS, AND FUTURE PROSPECTS. 2024.
- 118. Meme’, L.; Bambini, F.; Sampalmieri, F.; Dipalma, G.; Inchingolo, A.D.; Lauria, P.; Carone, C.; Sabatelli, F.; Corsalini, M.; Paduanelli, G.; et al. SEVEN-YEAR FOLLOW-UP OF CLINICAL OSTEONECROSIS OF THE JAW CASES MANAGED WITH CGF AND PIEZOSURGERY. 2024.
- 119. Meme’, L.; Bambini, F.; Sampalmieri, F.; Dipalma, G.; Inchingolo, A.D.; Lauria, P.; Carone, C.; Sabatelli, F.; Corsalini, M.; Paduanelli, G.; et al. NATURAL ANTIOXIDANTS’ ADVANTAGES FOR DENTAL HEALTH. 2024.
- 120. Meme’, L.; Bambini, F.; Sampalmieri, F.; Dipalma, G.; Inchingolo, A.D.; Lauria, P.; Carone, C.; Sabatelli, F.; Corsalini, M.; Paduanelli, G.; et al. EXPLORING THE POSITIVE IMPACT OF PROBIOTICS ON ORAL HEALTH: A COMPREHENSIVE SYSTEMATIC REVIEW. 2024.
- 121. Meme’, L.; Bambini, F.; Sampalmieri, F.; Dipalma, G.; Inchingolo, A.D.; Inchingolo, F.; Marotti, P.; Ciccarese, D.; Corsalini, M.; Paduanelli, G.; et al. ANALYSIS OF THE LITERATURE ABOUT MOUTH CANCER. 2024.
- 122. Meme’, L.; Bambini, F.; Inchingolo, A.D.; Sampalmieri, F.; Dipalma, G.; Nardelli, P.; Casamassima, L.; Corsalini, F.M.; Sabatelli, F.; Paduanelli, G.; et al. ORTHODONTIC BRACKET PLACEMENT: DIRECT AND INDIRECT BONDING TECHNIQUES. A SYSTEMATIC REVIEW. 2024.
- 123. Meme’, L.; Bambini, F.; Dipalma, G.; Sampalmieri, F.; Laforgia, A.; Inchingolo, A.D.; Pennacchio, B.F.P.; Giorgio, R.V.; Corsalini, M.; Paduanelli, G.; et al. THE KEY ROLE OF THE PALATAL EXPANDER IN ORTHODONTICS. 2024.
- 124. Meme’, L.; Bambini, F.; Dipalma, G.; Sampalmieri, F.; Inchingolo, A.D.; Pennacchio, B.F.P.; Giorgio, R.V.; Sabatelli, F.; Paduanelli, G.; Tartaglia, F.C.; et al. IMPACT OF ENDODONTIC TREATMENT ON SYSTEMIC OXIDATIVE STRESS IN CHRONIC APICAL PERIODONTITIS: A PROSPECTIVE STUDY. 2024.
- 125. Memè, L.; Pizzolante, T.; Saggiomo, A.P.; Plaku, D.; Inchingolo, A.D.; Inchingolo, F.; Rastelli, S. The Use of Ozone Therapy for the Treatment and Post-Surgical Management of Patients Treated with Bilateral Extraction of the Included Third Mandibular Molars. Oral and Implantology: A Journal of Innovations and Advanced Techniques for Oral Health 2024, 16, 124–132, doi:10.11138/oi163124-132.
- 126. Memè, L.; Bambini, F.; Pizzolante, T.; Inchingolo, F.; Marricco, F.; Sampalmieri, F.; Mummolo, S. Osteonecrosis of the Jaw in Patients with Metastatic Renal Carcinoma: Systematic Review and Meta-Analysis. Oral and Implantology: A Journal of Innovations and Advanced Techniques for Oral Health 2024, 16, 79–87, doi:10.11138/oi16279-87.
- 127. Matei, L.I.; Neag, M.A.; Mocan, L.P.; Suflețel, R.T.; Cuțaș, A.; Onofrei, M.M.; Gherman, L.M.; Armencea, G.; Mihu, C.; Ilea, A.; et al. The Effects of Radiofrequency Electromagnetic Radiation Emitted by Mobile Phones on Rat Parotid Gland Histology - an Experimental Study. Eur Rev Med Pharmacol Sci 2024, 28, 4405–4419, doi:10.26355/eurrev_202410_36864.
- 128. Maspero, C.; Cenzato, N.; Inchingolo, A.M.; Dipalma, G.; Costa, S.; Di Venere, D.; Corsalini, M.; Inchingolo, F.; Inchingolo, A.D.; Palermo, A.; et al. The Evolution of Upper Arch Distalization Systems: A Systematic Review. European Journal of Musculoskeletal Diseases 2024, 13, S200–S206.
- 129. Mancini†, A.; Laforgia, A.; Inchingolo, A.D.; Marotti, P.; Ciccarese, D.; Corsalini, M.; Paduanelli1, G.; Tartaglia, F.C.; Palermo, A.; Tari††, S.R.; et al. NON-HODGKIN’S LYMPHOMA: AN OVERVIEW AND CASE STUDY. 2024.
- 130. Mancini, A.; Inchingolo, A.M.; Chirico, F.; Colella, G.; Piras, F.; Colonna, V.; Marotti, P.; Carone, C.; Inchingolo, A.D.; Inchingolo, F.; et al. Piezosurgery in Third Molar Extractions: A Systematic Review. Journal of Personalized Medicine 2024, 14, 1158, doi:10.3390/jpm14121158.
- 131. Mancini, A.; Inchingolo, A.M.; Blasio, M.D.; de Ruvo, E.; Noia, A.D.; Ferrante, L.; Vecchio, G.D.; Palermo, A.; Inchingolo, F.; Inchingolo, A.D.; et al. Neurological Complications Following Surgical Treatments of the Lower Molars. Int J Dent 2024, 2024, 5415597, doi:10.1155/2024/5415597.
- 132. Mancini, A.; Chirico, F.; Inchingolo, A.M.; Piras, F.; Colonna, V.; Marotti, P.; Carone, C.; Inchingolo, A.D.; Inchingolo, F.; Dipalma, G. Osteonecrosis of the Jaws Associated with Herpes Zoster Infection: A Systematic Review and a Rare Case Report. Microorganisms 2024, 12, 1506, doi:10.3390/microorganisms12081506.
- 133. Mancini, A.; Laforgia, A.; Inchingolo, A.D.; Dipalma, G.; Balestriere, L.; Fiore, A.; Tartaglia, F.C.; Corsalini, M.; Paduanelli, G.; Palermo, A.; et al. OCCLUSAL TRAUMA AND ORAL MICROBIOTA CORRELATION: A MICROBIOLOGICAL STUDY. 2024.
- 134. Mancini, A.; Jamilian, P.; Converti, I.; Maggiore, M.E.; Ferati, K.; Bexheti-Ferati, A.; Hazballa, D.; Semjonova, A.; Marinelli, G.; Xhajanka, E.; et al. Orthodontic Emergencies and Patients’ Perceptions of Orthodontic Patients during the COVID-19 Pandemic. Journal of Biological Regulators and Homeostatic Agents 2022, 36, 381–397, doi:10.23812/j.biol.regul.homeost.agents.202236.2S3.33.
- 135. Mancini, A.; Inchingolo, F.; Inchingolo, A.M.; Cardarelli, F.; Piras, F.; Ferrante, L.; Palermo, A.; Scarano, A.; Tari, S.R.; Inchingolo, A.D.; et al. SURFACE ELECTROMYOGRAPHY AS AN EVALUATION TOOL FOR BITE THERAPY IN PATIENTS WITH CRANIO-MANDIBULAR PAIN: A SYSTEMATIC REVIEW. 2024.
- 136. Mancini, A.; Inchingolo, A.D.; Nardelli, P.; Casamassima, L.; Palermo, A.; Tartaglia, F.C.; Laforgia, A.; Corsalini, M.; Paduanelli, G.; Inchingolo, F.; et al. INFLUENCE OF PROBIOTIC SUPPLEMENTATION ON NUTRIENT ASSIMILATION IN HEALTHY PEDIATRIC POPULATIONS: A RANDOMIZED, DOUBLE-BLIND, PLACEBOCONTROLLED EXPLORATORY STUDY. 2024.
- 137. Le-Huy, T.; Balzanelli, M.G.; Thai-Phuong, P.; Tran Thai, T.; Nguyen Vu Ngoc, H.; Tran Phuc, L.; Le Quoc, T.; Nguyen Thanh, T.; Nai Thanh, T.; Le Van, T.; et al. A Study Survey on Molnupiravir Treatment in COVID-19 Patients at Home in Ninh Thuan Province, Vietnam. Eur Rev Med Pharmacol Sci 2024, 28, 433–443, doi:10.26355/eurrev_202401_34932.
- 138. Laforgia, A.; Viapiano, F.; Inchingolo, A.; Inchingolo, A.D.; Di Palma Gianna; Inchingolo, F. AMCOP® ELASTODONTIC DEVICES IN ORTHODONTICS: A LITERATURE REVIEW. 2023.
- 139. Laforgia, A.; Inchingolo, A.D.; Piras, F.; Colonna, V.; Giorgio, R.V.; Carone, C.; Rapone, B.; Malcangi, G.; Inchingolo, A.M.; Inchingolo, F.; et al. Therapeutic Strategies and Genetic Implications for Periodontal Disease Management: A Systematic Review. Int J Mol Sci 2024, 25, 7217, doi:10.3390/ijms25137217.
- 140. Kunert, M.; Piwonski, I.; Hardan, L.; Bourgi, R.; Sauro, S.; Inchingolo, F.; Lukomska-Szymanska, M. Dentine Remineralisation Induced by “Bioactive” Materials through Mineral Deposition: An In Vitro Study. Nanomaterials 2024, 14, 274, doi:10.3390/nano14030274.
- 141. Laforgia, A.; Inchingolo, A.D.; Riccaldo, L.; Avantario, P.; Buongiorno, S.; Malcangi, G.; Bordea, I.R.; Palermo, A.; Inchingolo, F.; Inchingolo, A.M.; et al. The Use of Platelet-Rich Fibrin (PRF) in the Management of Dry Socket: A Systematic Review. Int J Mol Sci 2024, 25, 10069, doi:10.3390/ijms251810069.
- 142. Inchingolo, F.; Inchingolo, A.M.; Riccaldo, L.; Morolla, R.; Sardano, R.; Di Venere, D.; Palermo, A.; Inchingolo, A.D.; Dipalma, G.; Corsalini, M. Structural and Color Alterations of Teeth Following Orthodontic Debonding: A Systematic Review. Journal of Functional Biomaterials 2024, 15, 123, doi:10.3390/jfb15050123.
- 143. Inchingolo, F.; Inchingolo, A.M.; Piras, F.; Ferrante, L.; Mancini, A.; Palermo, A.; Inchingolo, A.D.; Dipalma, G. The Interaction between Gut Microbiome and Bone Health. Curr Opin Endocrinol Diabetes Obes 2024, 31, 122–130, doi:10.1097/MED.0000000000000863.
- 144. Inchingolo, F.; Inchingolo, A.M.; Piras, F.; Ferrante, L.; Mancini, A.; Palermo, A.; Inchingolo, A.D.; Dipalma, G. Management of Patients Receiving Anticoagulation Therapy in Dental Practice: A Systematic Review. Healthcare 2024, 12, 1537, doi:10.3390/healthcare12151537.
- 145. Inchingolo, F.; Inchingolo, A.M.; Palmieri, G.; Di Pede, C.; Garofoli, G.; de Ruvo, E.; Inchingolo, A.D.; Palermo, A.; Mancini, A.; Di Venere, D.; et al. Root Resorption during Orthodontic Treatment with Clear Aligners vs. Fixed Appliances— A Systematic Review. Applied Sciences 2024, 14, 690, doi:10.3390/app14020690.
- 146. Inchingolo, F.; Inchingolo, A.M.; Malcangi, G.; Ferrante, L.; Trilli, I.; Di Noia, A.; Piras, F.; Mancini, A.; Palermo, A.; Inchingolo, A.D.; et al. The Interaction of Cytokines in Orthodontics: A Systematic Review. Applied Sciences 2024, 14, 5133, doi:10.3390/app14125133.
- 147. Inchingolo, F.; Inchingolo, A.M.; Latini, G.; Ferrante, L.; de Ruvo, E.; Campanelli, M.; Longo, M.; Palermo, A.; Inchingolo, A.D.; Dipalma, G. Difference in the Intestinal Microbiota between Breastfeed Infants and Infants Fed with Artificial Milk: A Systematic Review. Pathogens 2024, 13, 533, doi:10.3390/pathogens13070533.
- 148. Inchingolo, F.; Inchingolo, A.M.; Latini, G.; de Ruvo, E.; Campanelli, M.; Palermo, A.; Fabbro, M.D.; Blasio, M.D.; Inchingolo, A.D.; Dipalma, G. Guided Bone Regeneration: CGF and PRF Combined With Various Types of Scaffolds-A Systematic Review. Int J Dent 2024, 2024, 4990295, doi:10.1155/ijod/4990295.
- 149. Inchingolo, F.; Inchingolo, A.M.; Latini, G.; Ferrante, L.; Trilli, I.; Del Vecchio, G.; Palmieri, G.; Malcangi, G.; Inchingolo, A.D.; Dipalma, G. Oxidative Stress and Natural Products in Orthodontic Treatment: A Systematic Review. Nutrients 2023, 16, 113, doi:10.3390/nu16010113.
- 150. Inchingolo, F.; Inchingolo, A.M.; Inchingolo, A.D.; Fatone, M.C.; Ferrante, L.; Avantario, P.; Fiore, A.; Palermo, A.; Amenduni, T.; Galante, F.; et al. Bidirectional Association between Periodontitis and Thyroid Disease: A Scoping Review. International Journal of Environmental Research and Public Health 2024, 21, 860, doi:10.3390/ijerph21070860.
- 151. Inchingolo, F.; Inchingolo, A.M.; Ferrante, L.; Inchingolo, A.D.; De Paolis, F.; Ferrante, F.; Benegiamo, M.; Tartaglia, F.C.; Palermo, A.; Dipalma, G. Techniques and materials in implant rehabilitation surgery using sinus lift and GBR. 2024, doi:10.19256/d.cadmos.03.2024.07.
- 152. Inchingolo, F.; Inchingolo, A.M.; Fatone, M.C.; Avantario, P.; Del Vecchio, G.; Pezzolla, C.; Mancini, A.; Galante, F.; Palermo, A.; Inchingolo, A.D.; et al. Management of Rheumatoid Arthritis in Primary Care: A Scoping Review. Int J Environ Res Public Health 2024, 21, 662, doi:10.3390/ijerph21060662.
- 153. Inchingolo, F.; Inchingolo, A.M.; Ceci, S.; Carpentiere, V.; Garibaldi, M.; Riccaldo, L.; Di Venere, D.; Inchingolo, A.D.; Malcangi, G.; Palermo, A.; et al. Orthodontic Relapse after Fixed or Removable Retention Devices: A Systematic Review. Applied Sciences 2023, 13, 11442, doi:10.3390/app132011442.
- 154. Inchingolo, F.; Inchingolo, A.M.; Avantario, P.; Settanni, V.; Fatone, M.C.; Piras, F.; Di Venere, D.; Inchingolo, A.D.; Palermo, A.; Dipalma, G. The Effects of Periodontal Treatment on Rheumatoid Arthritis and of Anti-Rheumatic Drugs on Periodontitis: A Systematic Review. Int J Mol Sci 2023, 24, 17228, doi:10.3390/ijms242417228.
- 155. Inchingolo, F.; Inchingolo, A.D.; Palumbo, I.; Trilli, I.; Guglielmo, M.; Mancini, A.; Palermo, A.; Inchingolo, A.M.; Dipalma, G. The Impact of Cesarean Section Delivery on Intestinal Microbiota: Mechanisms, Consequences, and Perspectives-A Systematic Review. Int J Mol Sci 2024, 25, 1055, doi:10.3390/ijms25021055.
- 156. Gil-Pozo, A.; Astudillo-Rubio, D.; Ferrando Cascales, Á.; Inchingolo, F.; Hirata, R.; Sauro, S.; Delgado-Gaete, A. Effect of Gastric Acids on the Mechanical Properties of Conventional and CAD/CAM Resin Composites - An in-Vitro Study. J Mech Behav Biomed Mater 2024, 155, 106565, doi:10.1016/j.jmbbm.2024.106565.
- 157. Gargiulo Isacco, C.; Inchingolo, A.D.; Nguyen Cao, K.D.; Malcangi, G.; Paduanelli, G.; Pham Hung, V.; Tran Cong, T.; Bordea, I.R.; Scarano, A.; Laforgia, A.; et al. The Bad Relationship, Osteo-Decay and Diabetes Type 2 Searching for a Link: A Literature Review. J Biol Regul Homeost Agents 2021, 35, 253–269, doi:10.23812/21-2supp1-26.
- 158. Ferati, K.; Bexheti-Ferati, A.; Palermo, A.; Pezzolla, C.; Trilli, I.; Sardano, R.; Latini, G.; Inchingolo, A.D.; Inchingolo, A.M.; Malcangi, G.; et al. Diagnosis and Orthodontic Treatment of Obstructive Sleep Apnea Syndrome Children-A Systematic Review. Diagnostics (Basel) 2024, 14, 289, doi:10.3390/diagnostics14030289.
- 159. Dolci, C.; Cenzato, N.; Maspero, C.; Giannini, L.; Khijmatgar, S.; Dipalma, G.; Tartaglia, G.M.; Inchingolo, F. Skull Biomechanics and Simplified Cephalometric Lines for the Estimation of Muscular Lines of Action. J Pers Med 2023, 13, 1569, doi:10.3390/jpm13111569.
- 160. Tosco, V.; Monterubbianesi, R.; Aranguren, J.; Memè, L.; Putignano, A.; Orsini, G. Evaluation of the Efficacy of Different Irrigation Systems on the Removal of Root Canal Smear Layer: A Scanning Electron Microscopic Study. Applied Sciences 2023, 13, 149, doi:10.3390/app13010149.
- 161. Strappa, E.M.; Memè, L.; Cerea, M.; Roy, M.; Bambini, F. Custom-Made Additively Manufactured Subperiosteal Implant. Minerva Dent Oral Sci 2022, 71, 353–360, doi:10.23736/S2724-6329.22.04640-X.
- 162. Rossi, R.; Memè, L.; Strappa, E.M.; Bambini, F. Restoration of Severe Bone and Soft Tissue Atrophy by Means of a Xenogenic Bone Sheet (Flex Cortical Sheet): A Case Report. Applied Sciences 2023, 13, 692, doi:10.3390/app13020692.
- 163. Pellecchia, M.; Bambini, F.; Procaccini, M.; Santarelli, A.; Memè, L.; Muzio, L.L.; Emanuelli, M. Anti-Inflammatory Cytokines in Peri-Implant Soft Tissues: A Preliminary Study on Humans Using cDNA Microarray Technology. 2007, doi:10.1177/1721727x0700500302.
- 164. Meme’, L.; Gallusi, G.; Coli, G.; Strappa, E.; Bambini, F.; Sampalmieri, F. Photobiomodulation to Reduce Orthodontic Treatment Time in Adults: A Historical Prospective Study. Applied Sciences 2022, 12, 11532, doi:10.3390/app122211532.
- 165. Memè, L.; Strappa, E.M.; Monterubbianesi, R.; Bambini, F.; Mummolo, S. SEM and FT-MIR Analysis of Human Demineralized Dentin Matrix: An In Vitro Study. Applied Sciences 2022, 12, 1480, doi:10.3390/app12031480.
- 166. Memè, L.; Sartini, D.; Pozzi, V.; Emanuelli, M.; Strappa, E.M.; Bittarello, P.; Bambini, F.; Gallusi, G. Epithelial Biological Response to Machined Titanium vs. PVD Zirconium-Coated Titanium: An In Vitro Study. Materials (Basel) 2022, 15, 7250, doi:10.3390/ma15207250.
- 167. Memè, L.; Bambini, F.; Pizzolante, T.; Principi, M.; Sampalmieri, F.; Mummolo, S. Microscopic Analysis and Evaluation of Thermal Elevation and Wear of Drills for Implant Site Preparation: An In Vitro Study. Materials (Basel) 2024, 17, 5524, doi:10.3390/ma17225524.
- 168. Memè, L.; Bambini, F.; Gallusi, G.; Sartini, D.; Pozzi, V.; Emanuelli, M.; Strappa, E.M.; Mummolo, S. The Effect and the Potential Use of Magnetic–Dam Barrier in Guided Bone Regeneration: A Laboratory Study. Applied Sciences 2023, 13, 1625, doi:10.3390/app13031625.
- 169. Meme, L.; Santarelli, A.; Marzo, G.; Emanuelli, M.; Nocini, P.F.; Bertossi, D.; Putignano, A.; Dioguardi, M.; Lo Muzio, L.; Bambini, F. Novel Hydroxyapatite Biomaterial Covalently Linked to Raloxifene. Int J Immunopathol Pharmacol 2014, 27, 437–444, doi:10.1177/039463201402700315.
- 170. Lo Muzio, L.; Santarelli, A.; Orsini, G.; Memè, L.; Mattioli Belmonte Cima, M.; De Florio, I.; Gatto, R.; Gallusi, G.; Nocini, P.F.; Bertossi, D.; et al. MG63 AND MC3T3-E1 OSTEOBLASTIC CELL LINES RESPONSE TO RALOXIFENE. 2013, doi:10.1177/1721727x1301100322.
- 171. Grassi, A.; Memè, L.; Strappa, E.M.; Martini, E.; Bambini, F. Modified Periosteal Inhibition (MPI) Technique for Extraction Sockets: A Case Series Report. Applied Sciences 2022, 12, 12292, doi:10.3390/app122312292.
- 172. Giorgini, E.; Sabbatini, S.; Conti, C.; Rubini, C.; Rocchetti, R.; Fioroni, M.; Memè, L.; Orilisi, G. Fourier Transform Infrared Imaging Analysis of Dental Pulp Inflammatory Diseases. Oral Dis 2017, 23, 484–491, doi:10.1111/odi.12635.
- 173. D’Amario, M.; Di Carlo, M.; Natale, S.M.; Memè, L.; Marzo, G.; Matarazzo, G.; Capogreco, M. Application of Ozone Therapy in Paediatric Dentistry. Applied Sciences 2022, 12, 11100, doi:10.3390/app122111100.
- 174. Bernardi, S.; Memè, L.; Belfioretti, C.; Bambini, F.; Gerardi, D.; Macchiarelli, G.; Bianchi, S.; Mummolo, S. Psoriatic Arthritis Involving TMJ: A Review on Pathogenesis and Consideration on Eventual Gender Differences. Dent J (Basel) 2024, 12, 31, doi:10.3390/dj12020031.
- 175. Bambini, F.; Orilisi, G.; Quaranta, A.; Memè, L. Biological Oriented Immediate Loading: A New Mathematical Implant Vertical Insertion Protocol, Five-Year Follow-Up Study. Materials (Basel) 2021, 14, 387, doi:10.3390/ma14020387.
- 176. Bambini, F.; Memè, L.; Procaccini, M.; Rossi, B.; Lo Muzio, L. Bone Scintigraphy and SPECT in the Evaluation of the Osseointegrative Response to Immediate Prosthetic Loading of Endosseous Implants: A Pilot Study. Int J Oral Maxillofac Implants 2004, 19, 80–86.
- 177. Bambini, F.; Santarelli, A.; Putignano, A.; Procaccini, M.; Orsini, G.; Di Iorio, D.; Memè, L.; Sartini, D.; Emanuelli, M.; Lo Muzio, L. Use of Supercharged Cover Screw as Static Magnetic Field Generator for Bone Healing, 2nd Part: In Vivo Enhancement of Bone Regeneration in Rabbits. J Biol Regul Homeost Agents 2017, 31, 481–485.
- 178. Bambini, F.; Memè, L.; Pellecchia, M.; Sabatucci, A.; Selvaggio, R. Comparative Analysis of Deformation of Two Implant/Abutment Connection Systems during Implant Insertion. An in Vitro Study. Minerva Stomatol 2005, 54, 129–138.
- 179. Bambini, F.; Greci, L.; Memè, L.; Santarelli, A.; Carinci, F.; Pezzetti, F.; Procaccini, M.; Lo Muzio, L. Raloxifene Covalently Bonded to Titanium Implants by Interfacing with (3-Aminopropyl)-Triethoxysilane Affects Osteoblast-like Cell Gene Expression. Int J Immunopathol Pharmacol 2006, 19, 905–914, doi:10.1177/039463200601900420.
- 180. Bambini, F.; Giannetti, L.; Memè, L.; Pellecchia, M.; Selvaggio, R. Comparative Analysis of Direct and Indirect Implant Impression Techniques an in Vitro Study. An in Vitro Study. Minerva Stomatol 2005, 54, 395–402.
- 181. Bambini, F.; De Stefano, C.A.; Giannetti, L.; Memè, L.; Pellecchia, M. (Influence of biphosphonates on the integration process of endosseous implants evaluated using single photon emission computerized tomography (SPECT)). Minerva Stomatol 2003, 52, 331–338.
- 182. Inchingolo, F.; Inchingolo, A.D.; Latini, G.; Trilli, I.; Ferrante, L.; Nardelli, P.; Malcangi, G.; Inchingolo, A.M.; Mancini, A.; Palermo, A.; et al. The Role of Curcumin in Oral Health and Diseases: A Systematic Review. Antioxidants (Basel) 2024, 13, 660, doi:10.3390/antiox13060660.
- 183. Inchingolo, F.; Inchingolo, A.D.; Latini, G.; Sardano, R.; Riccaldo, L.; Mancini, A.; Palermo, A.; Inchingolo, A.M.; Dipalma, G. Caries in Primary Molars: Is Silver Diamine Fluoride Effective in Prevention and Treatment? A Systematic Review. Applied Sciences 2024, 14, 2055, doi:10.3390/app14052055.
- 184. Inchingolo, F.; Ferrara, I.; Viapiano, F.; Ciocia, A.M.; Palumbo, I.; Guglielmo, M.; Inchingolo, A.D.; Palermo, A.; Bordea, I.R.; Inchingolo, A.M.; et al. Primary Failure Eruption: Genetic Investigation, Diagnosis and Treatment: A Systematic Review. Children (Basel) 2023, 10, 1781, doi:10.3390/children10111781.
- 185. Inchingolo, F.; Dipalma, G.; Azzollini, D.; Trilli, I.; Carpentiere, V.; Hazballa, D.; Bordea, I.R.; Palermo, A.; Inchingolo, A.D.; Inchingolo, A.M. Advances in Preventive and Therapeutic Approaches for Dental Erosion: A Systematic Review. Dent J (Basel) 2023, 11, 274, doi:10.3390/dj11120274.
- 186. Inchingolo, F.; Inchingolo, A.M.; Ferrante, L.; de Ruvo, E.; Di Noia, A.; Palermo, A.; Inchingolo, A.D.; Dipalma, G. Pharmacological Sedation in Paediatric Dentistry. Eur J Paediatr Dent 2024, 25, 230–237, doi:10.23804/ejpd.2024.2204.
- 187. Inchingolo, F.; Inchingolo, A.D.; Charitos, I.A.; Cazzolla, A.P.; Colella, M.; Gagliano-Candela, R.; Hazballa, D.; Bordea, I.R.; Tari, S.R.; Scarano, A.; et al. Ceramic Biomaterials in Dentistry: Chemical Structure and Biosafety - a Review and a Bibliometric Visual Mapping on Scopus Database. Eur Rev Med Pharmacol Sci 2024, 28, 1242–1258, doi:10.26355/eurrev_202402_35446.
- 188. Inchingolo, F.; Dipalma, G.; Guglielmo, M.; Palumbo, I.; Campanelli, M.; Inchingolo, A.D.; de Ruvo, E.; Palermo, A.; Di Venere, D.; Inchingolo, A.M. Correlation between Vegetarian Diet and Oral Health: A Systematic Review. Eur Rev Med Pharmacol Sci 2024, 28, 2127–2143, doi:10.26355/eurrev_202403_35716.
- 189. Inchingolo, A.M.; Inchingolo, A.D.; Viapiano, F.; Ciocia, A.M.; Ferrara, I.; Netti, A.; Dipalma, G.; Palermo, A.; Inchingolo, F. Treatment Approaches to Molar Incisor Hypomineralization: A Systematic Review. J Clin Med 2023, 12, 7194, doi:10.3390/jcm12227194.
- 190. Inchingolo, A.M.; Inchingolo, A.D.; Trilli, I.; Ferrante, L.; Di Noia, A.; de Ruvo, E.; Palermo, A.; Inchingolo, F.; Dipalma, G. Orthopedic Devices for Skeletal Class III Malocclusion Treatment in Growing Patients: A Comparative Effectiveness Systematic Review. J Clin Med 2024, 13, 7141, doi:10.3390/jcm13237141.
- 191. Inchingolo, A.M.; Inchingolo, A.D.; Nardelli, P.; Latini, G.; Trilli, I.; Ferrante, L.; Malcangi, G.; Palermo, A.; Inchingolo, F.; Dipalma, G. Stem Cells: Present Understanding and Prospects for Regenerative Dentistry. J Funct Biomater 2024, 15, 308, doi:10.3390/jfb15100308.
- 192. Inchingolo, A.M.; Inchingolo, A.D.; Carpentiere, V.; Del Vecchio, G.; Ferrante, L.; Di Noia, A.; Palermo, A.; Di Venere, D.; Dipalma, G.; Inchingolo, F. Predictability of Dental Distalization with Clear Aligners: A Systematic Review. Bioengineering (Basel) 2023, 10, 1390, doi:10.3390/bioengineering10121390.
- 193. Inchingolo, A.M.; Dipalma, G.; Inchingolo, A.D.; Palumbo, I.; Guglielmo, M.; Morolla, R.; Mancini, A.; Inchingolo, F. Advancing Postoperative Pain Management in Oral Cancer Patients: A Systematic Review. Pharmaceuticals (Basel) 2024, 17, 542, doi:10.3390/ph17040542.
- 194. Dipalma, G.; Inchingolo, A.M.; Trilli, I.; Ferrante, L.; Noia, A.D.; de Ruvo, E.; Inchingolo, F.; Mancini, A.; Cocis, S.; Palermo, A.; et al. Management of Oro-Antral Communication: A Systemic Review of Diagnostic and Therapeutic Strategies. Diagnostics (Basel) 2025, 15, 194, doi:10.3390/diagnostics15020194.
- 195. Dipalma, G.; Inchingolo, A.M.; Patano, A.; Palumbo, I.; Guglielmo, M.; Trilli, I.; Netti, A.; Ferrara, I.; Viapiano, F.; Inchingolo, A.D.; et al. Photobiomodulation and Growth Factors in Dentistry: A Systematic Review. Photonics 2023, 10, 1095, doi:10.3390/photonics10101095.
- 196. Dipalma, G.; Inchingolo, A.M.; Palumbo, I.; Guglielmo, M.; Riccaldo, L.; Morolla, R.; Inchingolo, F.; Palermo, A.; Charitos, I.A.; Inchingolo, A.D. Surgical Management of Pediatric Obstructive Sleep Apnea: Efficacy, Outcomes, and Alternatives-A Systematic Review. Life (Basel) 2024, 14, 1652, doi:10.3390/life14121652.
- 197. Dipalma, G.; Inchingolo, A.M.; Latini, G.; Ferrante, L.; Nardelli, P.; Malcangi, G.; Trilli, I.; Inchingolo, F.; Palermo, A.; Inchingolo, A.D. The Effectiveness of Curcumin in Treating Oral Mucositis Related to Radiation and Chemotherapy: A Systematic Review. Antioxidants (Basel) 2024, 13, 1160, doi:10.3390/antiox13101160.
- 198. Dipalma, G.; Inchingolo, A.D.; Memè, L.; Casamassima, L.; Carone, C.; Malcangi, G.; Inchingolo, F.; Palermo, A.; Inchingolo, A.M. The Diagnosis and Management of Infraoccluded Deciduous Molars: A Systematic Review. Children 2024, 11, 1375, doi:10.3390/children11111375.
- 199. Dipalma, G.; Inchingolo, A.D.; Inchingolo, A.M.; Piras, F.; Carpentiere, V.; Garofoli, G.; Azzollini, D.; Campanelli, M.; Paduanelli, G.; Palermo, A.; et al. Artificial Intelligence and Its Clinical Applications in Orthodontics: A Systematic Review. Diagnostics (Basel) 2023, 13, 3677, doi:10.3390/diagnostics13243677.
- 200. Dipalma, G.; Inchingolo, A.D.; Guglielmo, M.; Morolla, R.; Palumbo, I.; Riccaldo, L.; Mancini, A.; Palermo, A.; Malcangi, G.; Inchingolo, A.M.; et al. Nanotechnology and Its Application in Dentistry: A Systematic Review of Recent Advances and Innovations. Journal of Clinical Medicine 2024, 13, 5268, doi:10.3390/jcm13175268.
- 201. Inchingolo, A.D.; Malcangi, G.; Ceci, S.; Patano, A.; Corriero, A.; Azzollini, D.; Marinelli, G.; Coloccia, G.; Piras, F.; Barile, G.; et al. Antispike Immunoglobulin-G (IgG) Titer Response of SARS-CoV-2 mRNA-Vaccine (BNT162b2): A Monitoring Study on Healthcare Workers. Biomedicines 2022, 10, 2402, doi:10.3390/biomedicines10102402.
- 202. Inchingolo, A.D.; Malcangi, G.; Ceci, S.; Patano, A.; Corriero, A.; Vimercati, L.; Azzollini, D.; Marinelli, G.; Coloccia, G.; Piras, F.; et al. Effectiveness of SARS-CoV-2 Vaccines for Short- and Long-Term Immunity: A General Overview for the Pandemic Contrast. Int J Mol Sci 2022, 23, 8485, doi:10.3390/ijms23158485.
- 203. Inchingolo, A.D.; Inchingolo, A.M.; Viapiano, F.; Netti, A.; Ciocia, A.M.; Ferrara, I.; Mancini, A.; Palermo, A.; Inchingolo, F.; Dipalma, G. Effectiveness and Personalized Approaches in the Correction of Gummy Smile: A Systematic Review of Orthodontic and Surgical Treatments. J Clin Med 2024, 13, 6843, doi:10.3390/jcm13226843.
- 204. Inchingolo, A.D.; Inchingolo, A.M.; Campanelli, M.; Carpentiere, V.; de Ruvo, E.; Ferrante, L.; Palermo, A.; Inchingolo, F.; Dipalma, G. Orthodontic Treatment in Patients with Atypical Swallowing and Malocclusion: A Systematic Review. J Clin Pediatr Dent 2024, 48, 14–26, doi:10.22514/jocpd.2024.100.
- 205. Inchingolo, A.D.; Dipalma, G.; Viapiano, F.; Netti, A.; Ferrara, I.; Ciocia, A.M.; Mancini, A.; Di Venere, D.; Palermo, A.; Inchingolo, A.M.; et al. Celiac Disease-Related Enamel Defects: A Systematic Review. J Clin Med 2024, 13, 1382, doi:10.3390/jcm13051382.
- 206. Inchingolo, A.D.; Dipalma, G.; Ferrara, I.; Viapiano, F.; Netti, A.; Ciocia, A.M.; Mancini, A.; Malcangi, G.; Palermo, A.; Inchingolo, A.M.; et al. Clear Aligners in the Growing Patient: A Systematic Review. Children (Basel) 2024, 11, 385, doi:10.3390/children11040385.
- 207. Inchingolo, A.D.; Ceci, S.; Limongelli, L.; Corriero, A.; Curatoli, L.; Azzollini, D.; Mezzapesa, P.P.; Marinelli, G.; Malcangi, G.; Coloccia, G.; et al. Cavernous Sinus Involvement and Near Miss Mediastinitis Following Mandibular Tooth Infection Treated during the COVID-19 Pandemic: Clinical Diagnosis and Treatment. Case Rep Dent 2022, 2022, 8650099, doi:10.1155/2022/8650099.
- 208. Inchingolo, A.M.; Inchingolo, A.D.; Mancini, A.; Gargiulo Isacco, C.; Balzanelli, M.G.; Khachatur Aityan, S.; Reascu, M.; Ionescu, T.P.; Florescu, A.; Comaneanu, R.M.; et al. The Experience of the Rigid Lockdown in the Dental Emergency Room and Urgency Care during COVID-19 Pandemic: A Transnational Multicenter Observational Study. Eur Rev Med Pharmacol Sci 2024, 28, 1708–1732, doi:10.26355/eurrev_202403_35585.
- 209. Inchingolo, A.D.; Dipalma, G.; Palmieri, G.; Pede, C.D.; Semjonova, A.; Patano, A.; Ceci, S.; Cardarelli, F.; Montenegro, V.; Garibaldi, M.; et al. Functional Breastfeeding: From Nutritive Sucking to Oral Health. Journal of Biological Regulators and Homeostatic Agents 2022, 36, 121–137, doi:10.23812/j.biol.regul.homeost.agents.202236.2S3.12.
- 210. Dipalma, G.; Inchingolo, A.M.; Spinelli, V.E.; Favia, G.; Inchingolo, F.; Viapiano, F.; Grasso, S.; Murgolo, F.; Innamorato, A.; Quaranta, N. a. A.; et al. COMPLICATIONS ARISING FROM ODONTOGENIC INFECTION: A CASE INVOLVING DEEP NECK SPACE AND MEDIASTINAL IMPLICATIONS. 2024.
- 211. Dipalma, G.; Inchingolo, A.D.; Mancini, A.; Maggiore, M.E.; Tartaglia, G.M.; Piras, F.; Ferrara, E.; Lorusso, F.; Scarano, A.; Ferati, K.; et al. Navigation Systems in Maxillofacial Surgery and Neurosurgery and Their Potential Advantages. 2022.
- 212. Dipalma, G.; Inchingolo, A.D.; Piras, F.; Palmieri, G.; Pede, C.D.; Ciocia, A.M.; Siciliani, R.A.; Olio, F.D.; Inchingolo, A.M.; Palermo, A.; et al. Efficacy of Guided Autofluorescence Laser Therapy in MRONJ: A Systematic Review. Eur Rev Med Pharmacol Sci 2023, 27, 11817–11831, doi:10.26355/eurrev_202312_34780.
- 213. Quinzi, V.; Saccomanno, S.; Manenti, R.J.; Giancaspro, S.; Coceani Paskay, L.; Marzo, G. Efficacy of Rapid Maxillary Expansion with or without Previous Adenotonsillectomy for Pediatric Obstructive Sleep Apnea Syndrome Based on Polysomnographic Data: A Systematic Review and Meta-Analysis. Applied Sciences 2020, 10, 6485, doi:10.3390/app10186485.
- 214. Pasini, M.; Giuca, M.R.; Ligori, S.; Mummolo, S.; Fiasca, F.; Marzo, G.; Quinzi, V. Association between Anatomical Variations and Maxillary Canine Impaction: A Retrospective Study in Orthodontics. Applied Sciences 2020, 10, 5638, doi:10.3390/app10165638.
- 215. Mummolo, S.; Nota, A.; Marchetti, E.; Padricelli, G.; Marzo, G. The 3D Tele Motion Tracking for the Orthodontic Facial Analysis. BioMed Research International 2016, 2016, 4932136, doi:10.1155/2016/4932136.
- 216. Mummolo, S.; Mancini, L.; Quinzi, V.; D’Aquino, R.; Marzo, G.; Marchetti, E. Rigenera® Autologous Micrografts in Oral Regeneration: Clinical, Histological, and Radiographical Evaluations. Applied Sciences 2020, 10, 5084, doi:10.3390/app10155084.
- 217. Marchetti, E.; Tecco, S.; Caterini, E.; Casalena, F.; Quinzi, V.; Mattei, A.; Marzo, G. Alcohol-Free Essential Oils Containing Mouthrinse Efficacy on Three-Day Supragingival Plaque Regrowth: A Randomized Crossover Clinical Trial. Trials 2017, 18, 154, doi:10.1186/s13063-017-1901-z.
- 218. Dinoi, M.T.; Marchetti, E.; Garagiola, U.; Caruso, S.; Mummolo, S.; Marzo, G. Orthodontic Treatment of an Unerupted Mandibular Canine Tooth in a Patient with Mixed Dentition: A Case Report. J Med Case Rep 2016, 10, 170, doi:10.1186/s13256-016-0923-6.
- 219. Campanella, V.; Gallusi, G.; Nardi, R.; Mea, A.; Di Taranto, V.; Montemurro, E.; Marzo, G.; Libonati, A. Dentinal Substrate Variability and Bonding Effectiveness: SEM Investigation. J Biol Regul Homeost Agents 2020, 34, 49–54. DENTAL SUPPLEMENT.
- 220. Ballini, A.; Cantore, S.; Fotopoulou, E.A.; Georgakopoulos, I.P.; Athanasiou, E.; Bellos, D.; Paduanelli, G.; Saini, R.; Dipalma, G.; Inchingolo, F. Combined Sea Salt-Based Oral Rinse with Xylitol in Orthodontic Patients: Clinical and Microbiological Study. J Biol Regul Homeost Agents 2019, 33, 263–268.
- 221. Cirulli, N.; Ballini, A.; Cantore, S.; Farronato, D.; Inchingolo, F.; Dipalma, G.; Gatto, M.R.; Alessandri Bonetti, G. MIXED DENTITION SPACE ANALYSIS OF A SOUTHERN ITALIAN POPULATION: NEW REGRESSION EQUATIONS FOR UNERUPTED TEETH. J Biol Regul Homeost Agents 2015, 29, 515–520.
- 222. Dipalma, G.; Inchingolo, A.D.; Inchingolo, F.; Charitos, I.A.; Di Cosola, M.; Cazzolla, A.P. Focus on the Cariogenic Process: Microbial and Biochemical Interactions with Teeth and Oral Environment. J Biol Regul Homeost Agents 2021, 35, doi:10.23812/20-747-A.
- 223. Dipalma, G.; Inchingolo, A.M.; Malcangi, G.; Ferrara, I.; Viapiano, F.; Netti, A.; Patano, A.; Isacco, C.G.; Inchingolo, A.D.; Inchingolo, F. Sixty-Month Follow Up of Clinical MRONJ Cases Treated with CGF and Piezosurgery. Bioengineering (Basel) 2023, 10, 863, doi:10.3390/bioengineering10070863.
- 224. Vena, F.; D’Amico, G.; Cardarelli, F.; Cianetti, S.; Severino, M. Interceptive Orthodontic Treatment with Elastodontic Appliance for Open Bite in Early Childhood: A Case Series. Oral and Implantology: A Journal of Innovations and Advanced Techniques for Oral Health 2024, 16, 25–28, doi:10.11138/oi16125-28.
- 225. Rastelli, S.; Caporro, G.; Severino, M.; Bernardi, S.; Botticelli, G.; Gasparri, A.; Pizzolante, T. Anatomically Guided Full Arch Implant-Prosthetic Rehabilitations. Oral and Implantology: A Journal of Innovations and Advanced Techniques for Oral Health 2024, 16, 146–152, doi:10.11138/oi163146-152.
- 226. Rastelli, S.; Capogreco, M.; D’Amario, M.; Falisi, G.; Severino, M.; Iacomino, E. Pterygoid Implants: A Viable Alternative for the Rehabilitation of the Posterior Sectors of the Atrophic Maxilla. Oral and Implantology: A Journal of Innovations and Advanced Techniques for Oral Health 2024, 16, 38–43, doi:10.11138/oi16138-43.
- 227. Sadrhaghighi, H.; Zarghami, A.; Irani, M.; Eskandarinezhad, M.; Sadrhaghighi, S.; Parvaresh, M. Student Evaluation of Teaching (SET) in Dental Faculty: Is It Influenced by Grouping the Students According to Their Averages? Oral and Implantology: A Journal of Innovations and Advanced Techniques for Oral Health 2024, 16, 156–161, doi:10.11138/oi163156-161.
- 228. Pizzolante, T.; Saggiomo, A.P.; Principi, M.; Jorida, J.; Mema, M.; Jolla, E.; Rastelli, S. Minimal Invasive Sinus Elevation (MISE), a Different Approach for Maxillary Sinus Lift Surgery. Oral and Implantology: A Journal of Innovations and Advanced Techniques for Oral Health 2024, 16, 140–145, doi:10.11138/oi163140-145.
- 229. Pitino, A.; Gianfreda, F.; Dolci, A.; Fossati, E.; Voghera, G.; Bollero, P.; Gargari, M.; Karimi, D.; Martelli, M. A Step-by-Step Technical Report on the Novel “PREMADE Protocol” for Fabricating Acrylic Provisional Prostheses for All-on-4 Treatment Concept. Oral and Implantology: A Journal of Innovations and Advanced Techniques for Oral Health 2024, 16, 133–139, doi:10.11138/oi163133-139.
- 230. Pizzolante, T.; Rasicci, P.; Saggiomo, A.P.; Principi, M.; Capogreco, M.; Mummolo, S. Buccal Fat Pad Flap and Buccal Advancement Flap for Closure of Oroantral Fistula: A Systematic Review and a Case Report. Oral and Implantology: A Journal of Innovations and Advanced Techniques for Oral Health 2024, 16, 50–61, doi:10.11138/oi16250-61.
- 231. Palmacci, M.; Saverino, M.; Pancrazi, G.L.; Ferraro, C.; Ceresoli, L.; Manica, U.; Nagni, M. Aesthetic Rehabilitation in Lower Mandibular Area for Agenesis in Site 4.2: A Case Report and Literature Review. Oral and Implantology: A Journal of Innovations and Advanced Techniques for Oral Health 2024, 16, 3–6, doi:10.11138/oi1613-6.
- 232. Nagni, M.; Verdino, F.; Potenza, S.; Pensa, V.; Martinelli, A.; D’Orto, B. Management of the Hypertensive Patient in Dentistry: Narrative Review. Oral and Implantology: A Journal of Innovations and Advanced Techniques for Oral Health 2024, 16, 19–24, doi:10.11138/oi16119-24.
- 233. Nagni, M.; Severino, M.; Redi, L.; Zizza, A.; Pancrazi, G.L.; Vavassori, E.; D’Orto, B. Possible Complications in Oral Surgery and Their Management in Patients Affected by Type 1 Diabetes: Narrative Review. Oral and Implantology: A Journal of Innovations and Advanced Techniques for Oral Health 2024, 16, 32–37, doi:10.11138/oi16132-37.
- 234. Nagni, M.; Severino, M.; Cotticelli, C.; Bussolari, E.; Grechi, C.; Collina, G.; Oddi, C. Bi-Maxillary Rehabilitation Using the All-on-Four Method in Patients with Hypertension: Case Report and Literature Review. Oral and Implantology: A Journal of Innovations and Advanced Techniques for Oral Health 2024, 16, 44–49, doi:10.11138/oi16144-49.
- 235. Meme, L.; Grilli, F.; Pizzolante, T.; Capogreco, M.; Bambini, F.; Sampalmieri, F.; Mummolo, S. Clinical and Histomorphometric Comparison of Autologous Dentin Graft versus a Deproteinized Bovine Bone Graft for Socket Preservation. Oral and Implantology: A Journal of Innovations and Advanced Techniques for Oral Health 2024, 16, 101–106, doi:10.11138/oi162101-106.
- 236. Memè, L.; Bambini, F.; Pizzolante, T.; Sampalmieri, F.; Bianchi, A.; Mummolo, S. Evaluation of a Single Non-Surgical Approach in the Management of Peri-Implantitis: Glycine Powder Air-Polishing versus Ultrasonic Device. Oral and Implantology: A Journal of Innovations and Advanced Techniques for Oral Health 2024, 16, 67–78, doi:10.11138/oi16267-78.
- 237. Martelli, M.; Russomanno, W.L.; Vecchio, S.D.; Gargari, M.; Bollero, P.; Ottria, L.; Dolci, A.; Gianfreda, F. Orthodontic Treatment from Childhood to Adolescence with Minimally Invasive Therapy Correction of Atypical Swallowing and Dental Alignment. A Case Report. Oral and Implantology: A Journal of Innovations and Advanced Techniques for Oral Health 2024, 16, 119–123.
- 238. Martelli, M.; Russomanno, W.L.; Vecchio, S.D.; Gargari, M.; Bollero, P.; Ottria, L.; Dolci, A.; Gianfreda, F. Myofunctional Therapy and Atypical Swallowing Multidisciplinary Approach. Oral and Implantology: A Journal of Innovations and Advanced Techniques for Oral Health 2024, 16, 153–155, doi:10.11138/oi163153-155.
- 239. Memè, L.; Bambini, F.; Marcattili, D.; J, G.N.; Sampalmieri, F.; Mummolo, S. Impact of Oral Surgery, with or without Amoxicillin, on the Oral Microbiome, Salivary Flow and Buffering Capacity of Saliva. Oral and Implantology: A Journal of Innovations and Advanced Techniques for Oral Health 2024, 16, 95–100, doi:10.11138/oi16295-100.
- 240. Mahdavinaderi, Y.; Mobayeni, M.R.; Lari, H.A.; Sayyari, M.; Mousavi, M.R. Dimensional Accuracy of Close Tray vs. Digital Techniques in Implant Impressions–An in Vitro Study. Oral and Implantology: A Journal of Innovations and Advanced Techniques for Oral Health 2024, 16, 62–66, doi:10.11138/oi16262-66.
- 241. Izzi, F.; Frijo, G.; Romito, M.; Benvenuti, C.C.; Izzi, G.; Severino, M.; Nagni, M. Orthodontic Approach in Patients with Osteogenesis Imperfecta. Oral and Implantology: A Journal of Innovations and Advanced Techniques for Oral Health 2024, 16, 29–31, doi:10.11138/oi16129-31.
- 242. Manica, U.; Izzi, F.; Palmacci, M.; Rastelli, S.; Ceresoli, L.; Balbi, B.; Nagni, M. Implant-Prosthetic Rehabilitation of an Agenesis Lateral Incisor: A Case Report and Literature Review. Oral and Implantology: A Journal of Innovations and Advanced Techniques for Oral Health 2024, 16, 14–18, doi:10.11138/oi16114-18.
- 243. Iacomino, E.; Rastelli, S.; Capogreco, M.; Severino, M.; Gallottini, S.G.; Grivetto, F. A Pterygoid Implants in Severe Posterior Maxillary Atrophy: A Case Report. Oral and Implantology: A Journal of Innovations and Advanced Techniques for Oral Health 2024, 16, 88–94, doi:10.11138/oi16288-94.
- 244. Gianfreda, F.; Nucci, L.; Bollero, P.; Danieli, A.; Palermo, A.; Salvadori, P.; Gargari, M.; Martelli, M. A Rare Case of Impacted Mandibular Premolar Associated to Dentigerous Cyst and Periodontal Lesion Clinical Management and Histological Analysis. Oral and Implantology: A Journal of Innovations and Advanced Techniques for Oral Health 2024, 16, 113–118, doi:10.11138/oi163113-118.
- 245. Cusenza, I.; Pensa, V.; Rastelli, S.; Galati, C.; Cogotzi, S.; D’Orto, B.; Nagni, M. Conscious Sedation in Dentistry: Narrative Review. Oral and Implantology: A Journal of Innovations and Advanced Techniques for Oral Health 2024, 16, 7–13, doi:10.11138/oi1617-13.
- 246. Botticelli, G.; Pizzolante, T.; Capogreco, M.; Prata, P.; Calabrò, P.; Severino, M.; Testa, G.; Rastelli, S. Clinical and Radiographical Evaluation of Two Agenesis Alveolar Ridges of Upper Lateral Incisors. A Case Report with 5 Years Follow Up. Oral and Implantology: A Journal of Innovations and Advanced Techniques for Oral Health 2024, 16, 107–112, doi:10.11138/oi163107-112.
- 247. Zhao, Z.H. (A review of the effectiveness and long-term stability of the functional appliance). Zhonghua Kou Qiang Yi Xue Za Zhi 2018, 53, 590–593, doi:10.3760/cma.j.is sn.1002-0098.2018.09.004.
- 248. Wiedel, A.-P. FIXED OR REMOVABLE APPLIANCE FOR EARLY ORTHODONTIC TREATMENT OF FUNCTIONAL ANTERIOR CROSSBITE. Swed Dent J Suppl 2015, 10–72.
- 249. White, L. Early Orthodontic Intervention. Am J Orthod Dentofacial Orthop 1998, 113, 24–28, doi:10.1016/S0889-5406(98)70273-2.
- 250. Wahl, N. Orthodontics in 3 Millennia. Chapter 9: Functional Appliances to Midcentury. Am J Orthod Dentofacial Orthop 2006, 129, 829–833, doi:10.1016/j.ajodo.2006.03.019.
- 251. Simoes, W.A.; Petrovic, A.; Stutzmann, J. Modus Operandi of Planas’ Appliance. J Clin Pediatr Dent 1992, 16, 79–85.
- 252. Schmitz, D. Adult Orthodontic and TMJ Retreatment with Elastodontic Appliance. An Early Progress Report. Funct Orthod 1990, 7, 35–40.
- 253. Ronsivalle, V.; Nucci, L.; Bua, N.; Palazzo, G.; La Rosa, S. Elastodontic Appliances for the Interception of Malocclusion in Children: A Systematic Narrative Hybrid Review. Children (Basel) 2023, 10, 1821, doi:10.3390/children10111821.
- 254. Ramirez-Yañez, G.O.; Faria, P. Early Treatment of a Class II, Division 2 Malocclusion with the Trainer for Kids (T4K): A Case Report. J Clin Pediatr Dent 2008, 32, 325–329, doi:10.17796/jcpd.32.4.8833x52755364hx4.
- 255. Ortu, E.; Pietropaoli, D.; Cova, S.; Marci, M.C.; Monaco, A. Efficacy of Elastodontic Devices in Overjet and Overbite Reduction Assessed by Computer-Aid Evaluation. BMC Oral Health 2021, 21, 269, doi:10.1186/s12903-021-01628-7.
- 256. O’Reilly, M.T.; Yanniello, G.J. Mandibular Growth Changes and Maturation of Cervical Vertebrae--a Longitudinal Cephalometric Study. Angle Orthod 1988, 58, 179–184, doi:10.1043/0003-3219(1988)058%3C0179:MGCAMO%3 E2.0.CO;2.
- 257. O’Brien, K.; Wright, J.; Conboy, F.; Sanjie, Y.; Mandall, N.; Chadwick, S.; Connolly, I.; Cook, P.; Birnie, D.; Hammond, M.; et al. Effectiveness of Early Orthodontic Treatment with the Twin-Block Appliance: A Multicenter, Randomized, Controlled Trial. Part 1: Dental and Skeletal Effects. Am J Orthod Dentofacial Orthop 2003, 124, 234–243; quiz 339, doi:10.1016/S0889540603003524.
- 258. Moss, M.L.; Salentijn, L. The Primary Role of Functional Matrices in Facial Growth. Am J Orthod 1969, 55, 566–577, doi:10.1016/0002-9416(69)90034-7.
- 259. Mellion, Z.J.; Behrents, R.G.; Johnston, L.E. The Pattern of Facial Skeletal Growth and Its Relationship to Various Common Indexes of Maturation. Am J Orthod Dentofacial Orthop 2013, 143, 845–854, doi:10.1016/j.ajodo.2013.01.019.
- 260. Kujirai, K.; Takahashi, M.; Koizumi, S.; Seimiya, K.; Nakashizu, T.; Watanabe, M.; Yamaguchi, T. 3D Printer-Assisted Layered Fabrication of a Novel Appliance for Oral Myofunctional Therapy and Functional Evaluation of Its Effects on Orofacial Muscles During Wear. Cureus 2024, 16, e59228, doi:10.7759/cureus.59228.
- 261. Kluemper, G.T.; Beeman, C.S.; Hicks, E.P. Early Orthodontic Treatment: What Are the Imperatives? J Am Dent Assoc 2000, 131, 613–620, doi:10.14219/jada.archive.2000.0235.
- 262. Kesling, C.K. History of Functional Appliances. Am J Orthod Dentofacial Orthop 2006, 130, 127; author reply 127, doi:10.1016/j.ajodo.2006.07.001.
- 263. Keski-Nisula, K.; Keski-Nisula, L.; Salo, H.; Voipio, K.; Varrela, J. Dentofacial Changes after Orthodontic Intervention with Eruption Guidance Appliance in the Early Mixed Dentition. Angle Orthod 2008, 78, 324–331, doi:10.2319/012607-37.1.
- 264. Janson, G.R.; da Silva, C.C.; Bergersen, E.O.; Henriques, J.F.; Pinzan, A. Eruption Guidance Appliance Effects in the Treatment of Class II, Division 1 Malocclusions. Am J Orthod Dentofacial Orthop 2000, 117, 119–129, doi:10.1016/s0889-5406(00)70222-8.
- 265. Ingelsson, M.; Forsberg, C.M. (Viggo Andresen--the originator of orthodontic therapy involving the use of oral activators). Tandlakartidningen 1988, 80, 820–827.
- 266. Inchingolo, F.; Martelli, F.S.; Gargiulo Isacco, C.; Borsani, E.; Cantore, S.; Corcioli, F.; Boddi, A.; Nguyỏn, K.C.D.; De Vito, D.; Aityan, S.K.; et al. Chronic Periodontitis and Immunity, Towards the Implementation of a Personalized Medicine: A Translational Research on Gene Single Nucleotide Polymorphisms (SNPs) Linked to Chronic Oral Dysbiosis in 96 Caucasian Patients. Biomedicines 2020, 8, 115, doi:10.3390/biomedicines8050115.
- 267. Inchingolo, A.D.; Patano, A.; Coloccia, G.; Ceci, S.; Inchingolo, A.M.; Marinelli, G.; Malcangi, G.; Montenegro, V.; Laudadio, C.; Pede, C.D.; et al. The Efficacy of a New AMCOP® Elastodontic Protocol for Orthodontic Interceptive Treatment: A Case Series and Literature Overview. Int J Environ Res Public Health 2022, 19, 988, doi:10.3390/ijerph19020988.
- 268. Ierardo, G.; Luzzi, V.; Nardacci, G.; Vozza, I.; Polimeni, A. Minimally Invasive Orthodontics: Elastodontic Therapy in a Growing Patient Affected by Dentinogenesis Imperfecta. Ann Stomatol (Roma) 2017, 8, 34–38, doi:10.11138/ads/2017.8.1.034.
- 269. Heideborn, M. (Clinical and electromyographic results of treatment with the splint-activator of Soulet-Besombes). Fortschr Kieferorthop 1965, 26, 293–299, doi:10.1007/BF02166057.
- 270. Galluccio, G.; Guarnieri, R.; Jamshir, D.; Impellizzeri, A.; Ierardo, G.; Barbato, E. Comparative Evaluation of Esthetic and Structural Aspects in Class II Functional Therapy. A Case-Control Retrospective Study. Int J Environ Res Public Health 2021, 18, 6978, doi:10.3390/ijerph18136978.
- 271. Fränkel, R. A Functional Approach to Orofacial Orthopaedics. Br J Orthod 1980, 7, 41–51, doi:10.1179/bjo.7.1.41.
- 272. Franchi, L.; Nieri, M.; Lomonaco, I.; McNamara, J.A.; Giuntini, V. Predicting the Mandibular Growth Spurt. Angle Orthod 2021, 91, 307–312, doi:10.2319/080220-676.1.
- 273. Fleming, P.S. Timing Orthodontic Treatment: Early or Late? Aust Dent J 2017, 62 Suppl 1, 11–19, doi:10.1111/adj.12474.
- 274. Fichera, G.; Martina, S.; Palazzo, G.; Musumeci, R.; Leonardi, R.; Isola, G.; Lo Giudice, A. New Materials for Orthodontic Interceptive Treatment in Primary to Late Mixed Dentition. A Retrospective Study Using Elastodontic Devices. Materials (Basel) 2021, 14, 1695, doi:10.3390/ma14071695.
- 275. Farronato, G.; Giannini, L.; Galbiati, G.; Grillo, E.; Maspero, C. Occlus-o-Guide® versus Andresen Activator Ap pliance: Neuromuscular Evaluation. Prog Orthod 2013, 14, 4, doi:10.1186/2196-1042-14-4.
- 276. Coloccia, G.; Inchingolo, A.D.; Inchingolo, A.M.; Malcangi, G.; Montenegro, V.; Patano, A.; Marinelli, G.; Laudadio, C.; Limongelli, L.; Di Venere, D.; et al. Effectiveness of Dental and Maxillary Transverse Changes in Tooth-Borne, Bone-Borne, and Hybrid Palatal Expansion through Cone-Beam Tomography: A Systematic Review of the Literature. Medicina (Kaunas) 2021, 57, 288, doi:10.3390/medicina57030288.
- 277. Clark, W.J. The Twin Block Technique. A Functional Orthopedic Appliance System. Am J Orthod Dentofacial Orthop 1988, 93, 1–18, doi:10.1016/0889-5406(88)90188-6.
- 278. Bishara, S.E.; Ziaja, R.R. Functional Appliances: A Review. Am J Orthod Dentofacial Orthop 1989, 95, 250–258, doi:10.1016/0889-5406(89)90055-3.
- 279. Besombes, A.; Soulet, R. (A new instrument in simplified functional orthopedic treatment). Rev Fr Odontostomatol 1955, 2, 483–490.
- 280. Bergersen, E.O. Preventive Orthodontics for the 5- to 7-Year-Old with the Nite-Guide Technique. Int J Orthod Milwaukee 2009, 20, 31–35.
- 281. Bergersen, E.O. Preventive Eruption Guidance in the 5-to-7-Year-Old. J Clin Orthod 1995, 29, 382–395.
- 282. Bergersen, E.O. The Eruption Guidance Myofunctional Appliances: How It Works, How to Use It. Funct Orthod 1984, 1, 28–29, 31–35.
- 283. Bass, N.M. Simplified Bass Appliance. J Clin Orthod 1989, 23, 756–762.
- 284. Baccetti, T.; Franchi, L.; McNamara, J.A. An Improved Version of the Cervical Vertebral Maturation (CVM) Method for the Assessment of Mandibular Growth. Angle Orthod 2002, 72, 316–323, doi:10.1043/0003-3219(2002)072%3C0316:AIVOTC%3E2.0.CO;2.
- 285. Alouini, O.; Rollet, D. (Morphological and functional perioral changes during early treatment of Class II division 1 malocclusions using EF Line ® functional education devices). Orthod Fr 2018, 89, 289–306, doi:10.1051/orthodfr/2018025.
- 286. Albanese, S.; Minervini, G.; Semeraro, G.; Veneziano, R.; Troiano, A.; Rossi, C. (Use of functional bite plate (the J.A. Cervera PFB) in the treatment of skeletal and dental open bite). Arch Stomatol (Napoli) 1982, 23, 165–180.
- 287. Aprile, G.; Ortu, E.; Cattaneo, R.; Pietropaoli, D.; Giannoni, M.; Monaco, A. Orthodontic Management by Functional Activator Treatment: A Case Report. J Med Case Rep 2017, 11, 336, doi:10.1186/s13256-017-1505-y.
- 288. Adina, S.; Dipalma, G.; Bordea, I.R.; Lucaciu, O.; Feurdean, C.; Inchingolo, A.D.; Septimiu, R.; Malcangi, G.; Cantore, S.; Martin, D.; et al. Orthopedic Joint Stability Influences Growth and Maxillary Development: Clinical Aspects. J Biol Regul Homeost Agents 2020, 34, 747–756, doi:10.23812/20-204-E-52.
- 289. Ackerman, J.L.; Proffit, W.R. Preventive and Interceptive Orthodontics: A Strong Theory Proves Weak in Practice. Angle Orthod 1980, 50, 75–87, doi:10.1043/0003-3219(1980)050%3C0075:PAIOAS%3E2.0.CO;2.
- 290. Yassir, Y.A.; McIntyre, G.T.; Bearn, D.R. The Impact of Labial Fixed Appliance Orthodontic Treatment on Patient Expectation, Experience, and Satisfaction: An Overview of Systematic Reviews. Eur J Orthod 2020, 42, 223–230, doi:10.1093/ejo/cjz043.
- 291. Ramirez-Yañez, G.; Sidlauskas, A.; Junior, E.; Fluter, J. Dimensional Changes in Dental Arches after Treatment with a Prefabricated Functional Appliance. J Clin Pediatr Dent 2007, 31, 279–283, doi:10.17796/jcpd.31.4.d7p31201572n72h2.
- 292. O’Brien, K.; Wright, J.; Conboy, F.; Sanjie, Y.; Mandall, N.; Chadwick, S.; Connolly, I.; Cook, P.; Birnie, D.; Hammond, M.; et al. Effectiveness of Treatment for Class II Malocclusion with the Herbst or Twin-Block Appliances: A Randomized, Controlled Trial. Am J Orthod Dentofacial Orthop 2003, 124, 128–137, doi:10.1016/s0889-5406(03)00345-7.
- 293. Condò, R.; Perugia, C.; Bartolino, M.; Docimo, R. Analysis of Clinical Efficacy of Interceptive Treatment of Class II Division 2 Malocclusion in a Pair of Twins through the Use of Two Modified Removable Appliances. Oral Implantol (Rome) 2010, 3, 11–25.
- 294. Arreghini, A.; Trigila, S.; Lombardo, L.; Siciliani, G. Objective Assessment of Compliance with Intra- and Extraoral Removable Appliances. Angle Orthod 2017, 87, 88–95, doi:10.2319/020616-104.1.
- 295. Yagci, A.; Uysal, T.; Kara, S.; Okkesim, S. The Effects of Myofunctional Appliance Treatment on the Perioral and Masticatory Muscles in Class II, Division 1 Patients. World J Orthod 2010, 11, 117–122.
- 296. Tallgren, A.; Christiansen, R.L.; Ash, M.; Miller, R.L. Effects of a Myofunctional Appliance on Orofacial Muscle Activity and Structures. Angle Orthod 1998, 68, 249–258, doi:10.1043/0003-3219(1998)068%3C0249:EOAMAO%3E2.3.CO;2.
- 297. Stavridi, R.; Ahlgren, J. Muscle Response to the Oral-Screen Activator. An EMG Study of the Masseter, Buccinator, and Mentalis Muscles. Eur J Orthod 1992, 14, 339–349, doi:10.1093/ejo/14.5.339.
- 298. Inchingolo, A.M.; Patano, A.; Piras, F.; Mancini, A.; Inchingolo, A.D.; Paduanelli, G.; Inchingolo, F.; Palermo, A.; Dipalma, G.; Malcangi, G. Interconnection between Microbiota-Gut-Brain Axis and Autism Spectrum Disorder Comparing Therapeutic Options: A Scoping Review. Microorganisms 2023, 11, 1477, doi:10.3390/microorganisms11061477.
- 299. Inchingolo, F.; Inchingolo, A.M.; Latini, G.; Del Vecchio, G.; Trilli, I.; Ferrante, L.; Dipalma, G.; Palermo, A.; Inchingolo, A.D. Low-Level Light Therapy in Orthodontic Treatment: A Systematic Review. Applied Sciences 2023, 13, 10393, doi:10.3390/app131810393.
- 300. Patano, A.; Malcangi, G.; Inchingolo, A.D.; Garofoli, G.; De Leonardis, N.; Azzollini, D.; Latini, G.; Mancini, A.; Carpentiere, V.; Laudadio, C.; et al. Mandibular Crowding: Diagnosis and Management—A Scoping Review. J Pers Med 2023, 13, 774, doi:10.3390/jpm13050774.
- 301. Malcangi, G.; Patano, A.; Palmieri, G.; Di Pede, C.; Latini, G.; Inchingolo, A.D.; Hazballa, D.; de Ruvo, E.; Garofoli, G.; Inchingolo, F.; et al. Maxillary Sinus Augmentation Using Autologous Platelet Concentrates (Platelet-Rich Plasma, Platelet-Rich Fibrin, and Concentrated Growth Factor) Combined with Bone Graft: A Systematic Review. Cells 2023, 12, 1797, doi:10.3390/cells12131797.
- 302. Di Lorenzo, L.; Inchingolo, F.; Pipoli, A.; Cassano, F.; Maggiore, M.E.; Inchingolo, A.M.; Ceci, S.; Patano, A.; Malcangi, G.; Mancini, A.; et al. Mixed-Dust Pneumoconiosis in a Dental Technician: A Multidisciplinary Diagnosis Case Report. BMC Pulm Med 2022, 22, 161, doi:10.1186/s12890-022-01948-6.
- 303. Needle Fracture in Pterygomandibular Space during Loco-Regional Dental Anesthesia: Systematic Review Available online: https://www.mdpi.com/2076-3417/13/7/4421 (accessed on 27 April 2025).
- 304. Orthodontic Surgical Treatment of Impacted Mandibular Canines: Systematic Review and Case Report Available online: https://www.mdpi.com/2076-3417/12/16/8008 (accessed on 27 April 2025).
- 305. Inchingolo, A.M.; Patano, A.; Piras, F.; Ruvo, E. de; Ferrante, L.; Noia, A.D.; Dongiovanni, L.; Palermo, A.; Inchingolo, F.; Inchingolo, A.D.; et al. Orthognathic Surgery and Relapse: A Systematic Review. Bioengineering (Basel) 2023, 10, 1071, doi:10.3390/bioengineering10091071.
- 306. Malcangi, G.; Patano, A.; Guglielmo, M.; Sardano, R.; Palmieri, G.; Di Pede, C.; de Ruvo, E.; Inchingolo, A.D.; Mancini, A.; Inchingolo, F.; et al. Precision Medicine in Oral Health and Diseases: A Systematic Review. J Pers Med 2023, 13, 725, doi:10.3390/jpm13050725.
- 307. Inchingolo, A.M.; Malcangi, G.; Piras, F.; Palmieri, G.; Settanni, V.; Riccaldo, L.; Morolla, R.; Buongiorno, S.; de Ruvo, E.; Inchingolo, A.D.; et al. Precision Medicine on the Effects of Microbiota on Head-Neck Diseases and Biomarkers Diagnosis. J Pers Med 2023, 13, 933, doi:10.3390/jpm13060933.
- 308. Inchingolo, A.D.; Ferrara, I.; Viapiano, F.; Netti, A.; Campanelli, M.; Buongiorno, S.; Latini, G.; Carpentiere, V.; Ciocia, A.M.; Ceci, S.; et al. Rapid Maxillary Expansion on the Adolescent Patient: Systematic Review and Case Report. Children (Basel) 2022, 9, 1046, doi:10.3390/children9071046.
- 309. Staderini, E.; Patini, R.; Camodeca, A.; Guglielmi, F.; Gallenzi, P. Three-Dimensional Assessment of Morphological Changes Following Nasoalveolar Molding Therapy in Cleft Lip and Palate Patients: A Case Report. Dent J (Basel) 2019, 7, 27, doi:10.3390/dj7010027.
- 310. Sirbu, A.; Bordea, R.; Lucaciu, O.; Braitoru, C.; Szuhanek, C.; Campian, R.S. 3D Printed Splints an Innovative Method to Treat Temporomandibular Joint Pathology. Revista de Chimie 2018, 69, 3087–3090.
- 311. Patini, R.; Staderini, E.; Camodeca, A.; Guglielmi, F.; Gallenzi, P. Case Reports in Pediatric Dentistry Journals: A Systematic Review about Their Effect on Impact Factor and Future Investigations. Dent J (Basel) 2019, 7, 103, doi:10.3390/dj7040103.
- 312. Patano, A.; Cirulli, N.; Beretta, M.; Plantamura, P.; Inchingolo, A.D.; Inchingolo, A.M.; Bordea, I.R.; Malcangi, G.; Marinelli, G.; Scarano, A.; et al. Education Technology in Orthodontics and Paediatric Dentistry during the COVID-19 Pandemic: A Systematic Review. Int J Environ Res Public Health 2021, 18, 6056, doi:10.3390/ijerph18116056.
- 313. Migliaccio, S.; Aprile, V.; Zicari, S.; Grenci, A. Eruption Guidance Appliance: A Review. Eur J Paediatr Dent 2014, 15, 163–166.
- 314. McNamara, J.A.; Howe, R.P.; Dischinger, T.G. A Comparison of the Herbst and Fränkel Appliances in the Treatment of Class II Malocclusion. Am J Orthod Dentofacial Orthop 1990, 98, 134–144, doi:10.1016/0889-5406(90)70007-Y.
- 315. Janson, G.; Nakamura, A.; de Freitas, M.R.; Henriques, J.F.C.; Pinzan, A. Apical Root Resorption Comparison between Fränkel and Eruption Guidance Appliances. Am J Orthod Dentofacial Orthop 2007, 131, 729–735, doi:10.1016/j.ajodo.2005.06.038.
- 316. Bordea, I.R.; Sîrbu, A.; Lucaciu, O.; Ilea, A.; Câmpian, R.S.; Todea, D.A.; Alexescu, T.G.; Aluaș, M.; Budin, C.; Pop, A.S. Microleakage—The Main Culprit in Bracket Bond Failure? Journal of Mind and Medical Sciences 2019, 6, 86–94, doi:10.22543/7674.61.P8694.
- 317. Inchingolo, A.D.; Patano, A.; Coloccia, G.; Ceci, S.; Inchingolo, A.M.; Marinelli, G.; Malcangi, G.; Montenegro, V.; Laudadio, C.; Pede, C.D.; et al. The Efficacy of a New AMCOP® Elastodontic Protocol for Orthodontic Interceptive Treatment: A Case Series and Literature Overview. International Journal of Environmental Research and Public Health 2022, 19, 988, doi:10.3390/ijerph19020988.
- 318. Inchingolo, A.D.; Patano, A.; Coloccia, G.; Ceci, S.; Inchingolo, A.M.; Marinelli, G.; Malcangi, G.; Montenegro, V.; Laudadio, C.; Pede, C.D.; et al. The Efficacy of a New AMCOP® Elastodontic Protocol for Orthodontic Interceptive Treatment: A Case Series and Literature Overview. Int J Environ Res Public Health 2022, 19, 988, doi:10.3390/ijerph19020988.
- 319. Yin, J.; Zhang, S.; Huang, N.; Shi, B.; Zheng, Q.; Yang, C. Short-Term Surgical Outcomes in Patients with Unilateral Complete Cleft Lip and Palate after Presurgical Nasoalveolar Molding Therapy: A Three-Dimensional Anthropometric Study. Front Pediatr 2022, 10, 1101184, doi:10.3389/fped.2022.1101184.
- 320. Nayak, T.; Bonanthaya, K.; Parmar, R.; Shetty, P.N. Long-Term Comparison of the Aesthetic Outcomes between Nasoalveolar Molding- and Non-Nasoalveolar Molding-Treated Patients with Unilateral Cleft Lip and Palate. Plast Reconstr Surg 2021, 148, 775e–784e, doi:10.1097/PRS.0000000000008463.
- 321. Murthy, P.S.; Deshmukh, S.; Bhagyalakshmi, A.; Srilatha, K. Pre Surgical Nasoalveolar Molding: Changing Paradigms in Early Cleft Lip and Palate Rehabilitation. J Int Oral Health 2013, 5, 70–80.
- 322. Crider, K.; Williams, J.; Qi, Y.P.; Gutman, J.; Yeung, L.; Mai, C.; Finkelstain, J.; Mehta, S.; Pons-Duran, C.; Menéndez, C.; et al. Folic Acid Supplementation and Malaria Susceptibility and Severity among People Taking Antifolate Antimalarial Drugs in Endemic Areas. Cochrane Database Syst Rev 2022, 2, CD014217, doi:10.1002/14651858.CD014217.
- 323. Chang, L.; Huang, Q.; Ren, Z.; Wang, Y.; Jiao, Y.; Tao, Y.; Zhao, H.; Hou, Y. Influence of Presurgical Nasoalveolar Molding (PNAM) Treatment in Maxillary Dental Arch Width and Nasolabial Symmetry in Patients with Unilateral Complete Cleft Lip and Palate. J Clin Pediatr Dent 2023, 47, 155–162, doi:10.22514/jocpd.2023.090.
- 324. Cardarelli, F.; Drago, S.; Rizzi, L.; Bazzani, M.; Pesce, P.; Menini, M.; Migliorati, M. Effects of Removable Functional Appliances on the Dentoalveolar Unit in Growing Patients. Medicina (Kaunas) 2024, 60, 746, doi:10.3390/medicina60050746.
- 325. Cannatà, D.; Galdi, M.; Martina, S.; Rongo, R.; D’Antò, V.; Valletta, R.; Bucci, R. Preformed Elastodontic Appliances: Awareness and Attitude of Orthodontists and General Dental Practitioners. Children (Basel) 2024, 11, 418, doi:10.3390/children11040418.
- 326. Velásquez, G.; Aliaga-Del Castillo, A.; Valerio, M.V.; Maranhão, O.B.V.; Miranda, F.; Janson, G. Effects of Eruption Guidance Appliance in the Early Treatment of Class III Malocclusion. Angle Orthod 2024, 94, 286–293, doi:10.2319/071223-488.
- 327. Tabellion, M.; Lisson, J.A. Dentofacial and Skeletal Effects of Two Orthodontic Maxillary Protraction Protocols: Bone Anchors versus Facemask. Head Face Med 2024, 20, 60, doi:10.1186/s13005-024-00462-w.
- 328. Sugawara, J.; Mitani, H. Facial Growth of Skeletal Class III Malocclusion and the Effects, Limitations, and Long-Term Dentofacial Adaptations to Chincap Therapy. Semin Orthod 1997, 3, 244–254, doi:10.1016/s1073-8746(97)80057-6.
- 329. Solano-Mendoza, B.; Iglesias-Linares, A.; Yañez-Vico, R.M.; Mendoza-Mendoza, A.; Alió-Sanz, J.J.; Solano-Reina, E. Maxillary Protraction at Early Ages. The Revolution of New Bone Anchorage Appliances. J Clin Pediatr Dent 2012, 37, 219–229, doi:10.17796/jcpd.37.2.q0k770403v443053.
- 330. Shrestha, A.; Song, S.H.; Aung, H.N.; Sangwatanakul, J.; Zhou, N. Three-Dimensional Cephalometric Analysis: The Changes in Condylar Position Pre- and Post-Orthognathic Surgery With Skeletal Class III Malocclusion. J Craniofac Surg 2021, 32, 546–551, doi:10.1097/SCS.0000000000006873.
- 331. Sar, C.; Sahinoğlu, Z.; Özçirpici, A.A.; Uçkan, S. Dentofacial Effects of Skeletal Anchored Treatment Modalities for the Correction of Maxillary Retrognathia. Am J Orthod Dentofacial Orthop 2014, 145, 41–54, doi:10.1016/j.ajodo.2013.09.009.
- 332. Sahin, T.; Delforge, A.; Garreau, E.; Raoul, G.; Ferri, J. Orthopedic Treatment of Class III Malocclusions Using Skeletal Anchorage: A Bibliographical Review. Int Orthod 2016, 14, 263–272, doi:10.1016/j.ortho.2016.07.004.
- 333. Pellegrino, M.; Cuzzocrea, M.L.; Rao, W.; Pellegrino, G.; Paduano, S. Myofunctional Treatment of Anterior Crossbite in a Growing Patient. Case Rep Dent 2020, 2020, 8899184, doi:10.1155/2020/8899184.
- 334. Ortu, E.; Barrucci, G.; Aprile, G.; Guerrini, L.; Pietropaoli, D.; Monaco, A. Electromyographic Evaluation during Orthodontic Therapy: Comparison of Two Elastodontic Devices. J Biol Regul Homeost Agents 2020, 34, 1935–1939, doi:10.23812/20-141-L.
- 335. Möhlhenrich, S.C.; Kötter, F.; Peters, F.; Kniha, K.; Chhatwani, S.; Danesh, G.; Hölzle, F.; Modabber, A. Effects of Different Surgical Techniques and Displacement Distances on the Soft Tissue Profile via Orthodontic-Orthognathic Treatment of Class II and Class III Malocclusions. Head Face Med 2021, 17, 13, doi:10.1186/s13005-021-00264-4.
- 336. Minervini, G.; Lucchese, A.; Perillo, L.; Serpico, R.; Minervini, G. Unilateral Superior Condylar Neck Fracture with Dislocation in a Child Treated with an Acrylic Splint in the Upper Arch for Functional Repositioning of the Mandible. Cranio 2017, 35, 337–341, doi:10.1080/08869634.2016.1203560.
- 337. Lim, L.-I.; Choi, J.-Y.; Ahn, H.-W.; Kim, S.-H.; Chung, K.-R.; Nelson, G. Treatment Outcomes of Various Force Applications in Growing Patients with Skeletal Class III Malocclusion. Angle Orthod 2021, 91, 449–458, doi:10.2319/090320-768.1.
- 338. Marra, P.M.; Fiorillo, L.; Cervino, G.; Cardarelli, F.; Cicciù, M.; Laino, L. Elastodontic Treatment with Oral Bio-Activators in Young Children. Minerva Dent Oral Sci 2022, 71, 270–276, doi:10.23736/S2724-6329.22.04696-4.
- 339. Lee, Y.-S.; Lee, J.-Y. Orthodontic Diagnosis Rates Based on Panoramic Radiographs in Children Aged 6–8 Years: A Retrospective Study. Korean J Orthod 2024, 54, 185–195, doi:10.4041/kjod24.004.
- 340. Lee, W.-C.; Shieh, Y.-S.; Liao, Y.-F.; Lee, C.-H.; Huang, C.S. Long-Term Maxillary Anteroposterior Changes Following Maxillary Protraction with or without Expansion: A Meta-Analysis and Meta-Regression. PLoS One 2021, 16, e0247027, doi:10.1371/journal.pone.0247027.
- 341. Kotuła, J.; Kuc, A.E.; Lis, J.; Kawala, B.; Sarul, M. New Sagittal and Vertical Cephalometric Analysis Methods: A Systematic Review. Diagnostics (Basel) 2022, 12, 1723, doi:10.3390/diagnostics12071723.
- 342. Janson, G.; Nakamura, A.; Chiqueto, K.; Castro, R.; de Freitas, M.R.; Henriques, J.F.C. Treatment Stability with the Eruption Guidance Appliance. Am J Orthod Dentofacial Orthop 2007, 131, 717–728, doi:10.1016/j.ajodo.2005.04.048.
- 343. Kanas, R.J.; Carapezza, L.; Kanas, S.J. Treatment Classification of Class III Malocclusion. J Clin Pediatr Dent 2008, 33, 175–185, doi:10.17796/jcpd.33.2.431877341u182416.
- 344. Fichera, G.; Martina, S.; Palazzo, G.; Musumeci, R.; Leonardi, R.; Isola, G.; Lo Giudice, A. New Materials for Orthodontic Interceptive Treatment in Primary to Late Mixed Dentition. A Retrospective Study Using Elastodontic Devices. Materials (Basel) 2021, 14, 1695, doi:10.3390/ma14071695.
- 345. Ellis, E.; McNamara, J.A. Components of Adult Class III Open-Bite Malocclusion. Am J Orthod 1984, 86, 277–290, doi:10.1016/0002-9416(84)90138-6.
- 346. Eslami, S.; Faber, J.; Fateh, A.; Sheikholaemmeh, F.; Grassia, V.; Jamilian, A. Treatment Decision in Adult Patients with Class III Malocclusion: Surgery versus Orthodontics. Prog Orthod 2018, 19, 28, doi:10.1186/s40510-018-0218-0.
- 347. Ciavarella, D.; Mastrovincenzo, M.; Tepedino, M.; Laurenziello, M.; Guida, L.; Montaruli, G.; Troiano, G.; Muzio, L.L. Early Treatment of Pseudo-Class III Malocclusion with Modified Swallowing Occlusal Contact Intercept Appliance (S.O.C.I.A.). J Indian Soc Pedod Prev Dent 2018, 36, 206–212, doi:10.4103/JISPPD.JISPPD_83_17.
- 348. Cannatà, D.; Galdi, M.; Martina, S.; Rongo, R.; D’Antò, V.; Valletta, R.; Bucci, R. Preformed Elastodontic Appliances: Awareness and Attitude of Orthodontists and General Dental Practitioners. Children (Basel) 2024, 11, 418, doi:10.3390/children11040418.
- 349. Baccetti, T.; Franchi, L.; Toth, L.R.; McNamara, J.A. Treatment Timing for Twin-Block Therapy. Am J Orthod Dentofacial Orthop 2000, 118, 159–170, doi:10.1067/mod.2000.105571.
- 350. Baik, J.-C.; Choi, Y.-K.; Jeon, H.H.; Kim, S.-H.; Kim, S.-S.; Park, S.-B.; Kim, Y.-I. Skeletal and Dentoalveolar Effects of Maxillary Protraction Using Tooth- and Miniscrew-Anchored Devices in Patients with Class III Malocclusion with Maxillary Deficiency: A Retrospective Follow-Up Study. Applied Sciences 2023, 13, 10530, doi:10.3390/app131810530.
- 351. Azeem, M.; Ul Haq, A.; Ul Hamid, W.; Hayat, M.B.; Khan, D.I.; Ahmed, A.; Khan, M.T. Efficiency of Class III Malocclusion Treatment with 2-Premolar Extraction and Molar Distalization Protocols. Int Orthod 2018, 16, 665–675, doi:10.1016/j.ortho.2018.09.007.
- 352. Zhou, G.; Yu, F.; Yu, H.; Xia, L.; Yuan, L.; Fang, B. Treatment of Skeletal Class III Malocclusion Using a Combined Clear Aligner and Surgery-Early Approach : Assessment Based on the American Board of Orthodontics Objective Grading System. J Orofac Orthop 2024, 85, 359–367, doi:10.1007/s00056-023-00458-2.
- 353. Papadopoulou, A.K.; Koletsi, D.; Masucci, C.; Giuntini, V.; Franchi, L.; Darendeliler, M.A. A Retrospective Long-Term Comparison of Early RME-Facemask versus Late Hybrid-Hyrax, Alt-RAMEC and Miniscrew-Supported Intraoral Elastics in Growing Class III Patients. Int Orthod 2022, 20, 100603, doi:10.1016/j.ortho.2021.100603.
- 354. Paoloni, V.; De Razza, F.C.; Franchi, L.; Cozza, P. Stability Prediction of Early Orthopedic Treatment in Class III Malocclusion: Morphologic Discriminant Analysis. Prog Orthod 2021, 22, 34, doi:10.1186/s40510-021-00379-z.
- 355. Minase, R.A.; Bhad, W.A.; Doshi, U.H. Effectiveness of Reverse Twin Block with Lip Pads-RME and Face Mask with RME in the Early Treatment of Class III Malocclusion. Prog Orthod 2019, 20, 14, doi:10.1186/s40510-019-0266-0.
- 356. Liu, H.; Zhang, Y.; Lu, W.; Yang, Y.; Liu, X.; Chen, S.; Li, W.; Han, B. Lower Incisor Position in Skeletal Class III Malocclusion Patients: A Comparative Study of Orthodontic Camouflage and Orthognathic Surgery. Angle Orthod 2024, 94, 504–511, doi:10.2319/122523-856.1.
- 357. Klocke, A.; Korbmacher, H.; Kahl-Nieke, B. Influence of Orthodontic Appliances on Myofunctional Therapy. J Orofac Orthop 2000, 61, 414–420, doi:10.1007/pl00001909.
- 358. Janson, G. dos R.P.; Nakamura, A.; Freitas, M.R. de; Henriques, J.F.C.; Pinzan, A. Apical root resorption comparison between Fränkel and eruption guidance appliances. American Journal of Orthodontics and Dentofacial Orthopedics 2007, 131, 729–735.
- 359. Gandhi, V.; Mehta, F.; Patel, D.; Parekh, H.; Joshi, H. Class III Malocclusion Treated by Combined Orthodontic and Orthognathic Approach Along with Growth Prediction: A Case Report. Turk J Orthod 2020, 33, 65–71, doi:10.5152/Turk-JOrthod.2020.19032.
- 360. Foersch, M.; Jacobs, C.; Wriedt, S.; Hechtner, M.; Wehrbein, H. Effectiveness of Maxillary Protraction Using Facemask with or without Maxillary Expansion: A Systematic Review and Meta-Analysis. Clin Oral Investig 2015, 19, 1181–1192, doi:10.1007/s00784-015-1478-4.
- 361. Farronato, M.; Baselli, G.; Baldini, B.; Favia, G.; Tartaglia, G.M. 3D Cephalometric Normality Range: Auto Contractive Maps (ACM) Analysis in Selected Caucasian Skeletal Class I Age Groups. Bioengineering (Basel) 2022, 9, 216, doi:10.3390/bioengineering9050216.
- 362. Cevidanes, L.; Baccetti, T.; Franchi, L.; McNamara, J.A.; De Clerck, H. Comparison of Two Protocols for Maxillary Protraction: Bone Anchors versus Face Mask with Rapid Maxillary Expansion. Angle Orthod 2010, 80, 799–806, doi:10.2319/111709-651.1.
- 363. Almuzian, M.; Almukhtar, A.; Ulhaq, A.; Alharbi, F.; Darendeliler, M.A. 3D Effects of a Bone-Anchored Intra-Oral Protraction in Treating Class III Growing Patient: A Pilot Study. Prog Orthod 2019, 20, 37, doi:10.1186/s40510-019-0290-0.
- 364. Adeni, M.K.; Parameswaran, R.; Vijayalakshmi, D.; Sainulabdeen, J. Multi-Disciplinary Orthodontic Camouflage Treatment of a Severe Skeletal Class III Malocclusion with 1 Year Follow-up -A Case Report. Indian J Dent Res 2022, 33, 338–343, doi:10.4103/ijdr.IJDR_551_20.
- 365. Baccetti, T.; Franchi, L.; Cameron, C.G.; McNamara, J.A. Treatment Timing for Rapid Maxillary Expansion. Angle Orthod 2001, 71, 343–350, doi:10.1043/0003-3219(2001)071%3C0343:TTFRME%3E2.0.CO;2.
- 366. Garrett, B.J.; Caruso, J.M.; Rungcharassaeng, K.; Farrage, J.R.; Kim, J.S.; Taylor, G.D. Skeletal Effects to the Maxilla after Rapid Maxillary Expansion Assessed with Cone-Beam Computed Tomography. Am J Orthod Dentofacial Orthop 2008, 134, 8–9, doi:10.1016/j.ajodo.2008.06.004.
- 367. Linder-Aronson, S.; Lindgren, J. The Skeletal and Dental Effects of Rapid Maxillary Expansion. Br J Orthod 1979, 6, 25–29, doi:10.1179/bjo.6.1.25.
- 368. Velázquez, P.; Benito, E.; Bravo, L.A. Rapid Maxillary Expansion. A Study of the Long-Term Effects. Am J Orthod Dentofacial Orthop 1996, 109, 361–367, doi:10.1016/s0889-5406(96)70117-8.
- 369. Pirelli, P.; Saponara, M.; Guilleminault, C. Rapid Maxillary Expansion (RME) for Pediatric Obstructive Sleep Apnea: A 12-Year Follow-Up. Sleep Med 2015, 16, 933–935, doi:10.1016/j.sleep.2015.04.012.
- 370. Memikoglu, T.U.; Işeri, H. Effects of a Bonded Rapid Maxillary Expansion Appliance during Orthodontic Treatment. Angle Orthod 1999, 69, 251–256, doi:10.1043/0003-3219(1999)069%3C0251:EOABRM%3E2.3.CO;2.
