![]() |
Annali di Stomatologia | 2026; 17(1): 20-33 ISSN 1971-1441 | DOI: 10.59987/ads/2026.1.20-33 Articles |
A multidisciplinary mandibular reconstruction with morphogenetic protein, dental implants in a patient with central ossifying fibroma
Abstract
A 47-year-old woman presents with a lesión radiolucent lesión well delimited in the right mandible, when performing an inciosnal biopsy, purulent serous fluid is observed, enucleation of the lesion and curettage is performed, which evolves favorably. Later she presents problems and radiographic changes, an incisional bioispia is performed again, the histological result reports a central ossifying fibroma. A mandibulectomy is performed with reconstruction based on morphogenetic protein and plasma fibrin with Chuckron technique together, a titanium bar and titanium mesh was utilized for containing de autologus harvest, three Nobel replace conical connection implants were placed and three screw-retained crowns were made in metal ceramic. In this clinical case the authors presents a multidisciplinary aproach with a follow up of 19 years.
Keywords: Central ossifying fibroma, Mandibular reconstruction, Bone morphogenetic protein (BMP), Dental implants
Introduction
Ossifying fibroma (FO) is a benign non-odontogenic tumor that occurs in the jaws, classified within fibroosseous lesions.1 Traditionally, these lesions were histologically subclassified into ossifying fibroma and cementifying fibroma, depending on the type of hard tissue formed. However, at present, both types are known under the unified term ossifying fibroma.1 This reclassification, adopted by the World Health Organization (WHO) in 2005, CLASIFICATION 2022 where the term “cemento-ossifying fibroma” was replaced by “ossifying fibroma”1,2, reflects a deeper understanding of the pathobiology of these entities. It is generally accepted that histological subclassification is primarily of academic interest, since the differential diagnosis is often arbitrary and its biological behavior appears to be identical.1 Fibroma ossificans is part of a larger group of histologically similar lesions but of diverse etiologies, which ... comprise a heterogeneous group of diseases of the jaws in which normal bone tissue is replaced by fibroblasts and fibrous tissue, with the formation of varying amounts of mineralized material.2 Mandibular central ossifying fibroma (FOCM) specifically, originates from periodontal ligament cells in the apical region.3,4 It is important to distinguish FOCM from peripheral ossifying fibroma (PFO), which is a localized benign lesion that originates in the gingival and alveolar oral mucosa, possibly also from cells of the periodontal ligament.5 These two entities present significant differences in their manifestation and therapeutic approach.5 The unification of terminology by the WHO indicates greater clarity in the understanding that the histological distinction between ossifying and cementifying fibroma has limited clinical relevance.1–3 The evolution in the classification suggests that the biological behavior and treatment of these lesions are similar, regardless of the predominance of bone- or cement-like material. Resection of mandibular tumors, including FOCM, can result in significant bone defects that compromise both facial function and aesthetics.6,7 Therefore, mandibular reconstruction becomes essential to restore bone continuity, alveolar height, shape and width of the mandibular arch, as well as to maintain the remaining bone and improve facial contours.8,9 Successful reconstruction allows for the functional rehabilitation of the patient, including the recovery of the ability to chew, speak, and swallow properly, which in turn improves facial aesthetics and, ultimately, your quality of life.8–10 The need for mandibular reconstruction after FOCM resection underscores the importance of a comprehensive approach to treatment, which not only focuses on the removal of the pathology, but also on the restoration of lost form and function to achieve optimal patient outcomes.8
Characteristics of the mandibular central ossifying fibroma:
Mandibular central ossifying fibroma is a relatively rare lesion.1 The most common age of presentation is between the third and fourth decades of life.1 There is a marked predilection for the female sex, with a ratio of affected women compared to men that can reach up to 5:1.1 In a specific study, the average age of patients diagnosed with FOCM was 33.7 years, ranging from 13 to 49 years.2 Another study reported a mean age of 34 years, with a wider range of 16 to 62 years.10 In addition, FOCM has been found to be more prevalent in white individuals compared to those who are black.4 Consistency in epidemiological data across Various studies, particularly with regard to the predilection for women in the third and fourth decades of life, reinforce the understanding of the typical demographic profile of patients presenting with mandibular FOCM.1
The replication of these findings in different investigations and patient cohorts suggests that these demographic factors are important features of mandibular FOCM and may be useful to clinicians in the diagnostic process and in risk assessment.
The precise etiology of FOCM has not yet been fully elucidated, although it is postulated that its origin lies in the mesenchymal tissues of the periodontal ligament or adjacent bone.1 Various theories have been suggested about its origin, including odontogenic, developmental, and traumatic factors.11,12 It has been proposed that certain developmental abnormalities, such as the occurrence of metaplastic changes in these tissues, may contribute to the formation of the lesion.13 Additionally, it is considered that genetic factors could play a role in the susceptibility to the development of fibroosseous lesions, including FOCM, with studies suggesting the involvement of mutations or a familial predisposition.13 Genetic research has revealed the presence of a mutation in the tumor suppressor gene HRPT2, whose protein product, parafibromin, could be related to tumor formation.1 In fact, loss of nuclear expression of parafibromin has been observed in some cases of ossifying fibroma.3 Chromosomal abnormalities, such as translocation and interstitial deletion of coding regions on chromosome 2, have also been reported.1 It has been suggested that stimulation induced by previous trauma could have a role in the development of this lesion 14,15, and both previous tooth extraction and the presence of periodontitis have been pointed out as possible stimulating factors.
From a biological perspective, FOCM is considered a true neoplasm of mesenchymal origin, with the inherent capacity to exhibit significant growth.15 The multifactorial nature of FOCM’s etiology, involving both local (such as periodontal ligament and trauma) and systemic (genetic factors) factors, suggests the need for future research to fully understand the mechanisms of its pathogenesis.16 While several factors associated with the development of FOCM, the precise underlying cause is not yet known. A better understanding of the interaction between these factors could lead to the development of more effective strategies for the prevention and treatment of this injury.
Clinically, FOCM usually manifests as a painless, slow-growing mass in the jaw.1 In the initial stages, displacement of adjacent teeth may be the only noticeable clinical sign.1 As the lesion progresses in size, it can cause swelling, facial asymmetry, pain, and sensory disturbances due to expansion and possible destruction of the surrounding bone.17 In some cases, large lesions can lead to obvious facial deformity.18 In certain presentations, the tumor may have an aggressive appearance, accompanied by possible displacement of the teeth.19,20 Swelling of the cortical layer of the mandible, resulting in marked extraoral facial asymmetry is a common clinical manifestation.20 However, in most cases, FOCM is asymptomatic and is often discovered incidentally during routine radiographic examinations.19,21 The generally asymptomatic nature of FOCM in its early stages underscores the importance of periodic radiographic examinations for early detection, which could allow for less invasive treatment with better outcomes.19–22 Since FOCM can reach a considerable size without generating symptoms, patients may not seek medical attention until the lesion is extensive and symptomatic. Incidental detection during routine X-rays can lead to earlier diagnosis and treatment, potentially improving clinical outcomes
From the radiographic point of view, FOCM is characterized by a mixed internal structure, with well-defined radiolucent and radiopaque areas.23–25 The radiographic appearance can vary considerably depending on the stage of maturation of the lesion, ranging from a predominantly radiolucent image to a mixed or completely radiopaque one.17 In the early stages of its development, The lesions are usually small and radiolucent.
As they progress and mature, they tend to show a mixed pattern, with both radiolucent and radiopaque areas, until finally, in more advanced stages, they may appear as predominantly radiopaque lesions.18 In some cases, older lesions may manifest as radiopaque, surrounded by a radiolucent halo.2 Computed tomography (CT) is considered an essential tool for the comprehensive evaluation of these lesions.2,14 Axial CT can reveal expansion of the bony 20 However, larger lesions may require more extensive resection to ensure complete removal.17 Enucleation followed by curettage has been reported as an effective method for the treatment of FOCM.2with a radiopaque center.1 Cone beam computed tomography (CBCT) plays a critical role in the accurate diagnosis and detailed evaluation of FOCM.13Typically, FOCM features well-defined borders, smooth and often corticalized in radiographic images.13
As the lesion grows, it can cause displacement of adjacent teeth, resorption of their roots, inferior displacement of the mandibular canal, and loss or alteration of the hard lamina of neighboring teeth.20,23 The variability in the radiographic appearance of FOCM, as a function of its degree of maturation, requires careful interpretation of the images and, in many cases, the use of advanced modalities such as CT to achieve an accurate diagnosis and adequate treatment planning.17,23
The progression from a radiolucent to mixed to radiopaque appearance reflects increased mineralization of the lesion over time. Recognition of these different stages is crucial to differentiate FOCM from other lesions and to determine the most appropriate therapeutic strategy. The differential diagnosis of FOCM is based primarily on the radiographic features observed.20–26 Because in its initial stages it may present as a completely radiolucent lesion, FOCM can be confused with other lesions that share a similar radiographic appearance, such as focal cementosseous dysplasia, odontogenic cyst, periapical granuloma, traumatic bone cyst, unilocular ameloblastoma and central giant cell granuloma.20
In its early radiolucent phase, the differential diagnosis should include periapical pathologies, central giant cell granuloma, and ameloblastoma.13 As the lesion matures and presents a mixed pattern, it is necessary to differentiate it from other mixed maxillary lesions such as fibrous dysplasia, calcifying epithelial odontogenic tumor, adenomatoid odontogenic tumor, and condensing osteitis.13 In general, Fibroosseous lesions, including fibrous dysplasia, bone dysplasia, and ossifying fibroid, may share similarities in their clinical, radiographic, and histopathological features, underscoring the importance of establishing an accurate final diagnosis.2
The overlap of the radiographic features of FOCM with other maxillary lesions, both benign and aggressive, emphasizes the need for a multimodal diagnostic approach that integrates clinical, radiographic, and histopathological findings to reach an accurate diagnosis.24 Relying solely on imaging can lead to misdiagnosis. The correlation of radiographic findings with the clinical presentation and histopathological analysis of a biopsy is essential to establish a definitive diagnosis and guide appropriate treatment.
Treatment of the Mandibular Central Ossifying Fibroma
Surgical intervention is the primary treatment for mandibular central ossifying fibroid.22,25 Surgical treatment options vary depending on the size and extent of the lesion, and include curetage, enucleation, and resection.4 Smaller lesions can often be effectively treated by curettage or enucleation.4 Conservative curettage has been shown to have an extremely low recurrence rate in the treatment of these lesions.20 However, larger lesions may require more extensive resection to ensure removal completa.17,27,28 Enucleation followed by curetage has been reported as an effective method for the treatment of FOCM.20,29,30 Some authors advocate conservative surgery, such as enucleation and curetage, rather than en bloc resection, especially in cases where the lesion is well circumscribed.20
The conservative curettage procedure is meticulously performed until healthy bone margins are reached, seeking to eliminate all tumor cells.20 To minimize or avoid the possibility of recurrence, partial or en bloc resection of the maxilla is preferred in cases of larger lesions or with aggressive characteristics.31–33
The general treatment consists of complete removal of the lesion, either by curetage, surgical excision or en bloc resection, with the choice of method depending on the size and specific location of the lesion.34 In those cases where the lesion has a well-defined fibrous capsule around it, surgical excision may be technically easier to perform.2 FOCM is characterized by being easily detached from the surrounding bone, and recurrence after enucleation and curettage is relatively rare
Importantly, however, untreated tumors can reach considerable size and, rarely, require en bloc resection for proper management.4 In some specific cases of large lesions, segmental resection of the mandible has been chosen as part of treatment.17,35 The surgical treatment of FOCM is tailored to the individual characteristics of each lesion, ranging from conservative procedures for small lesions to Wider resections for more complex cases
The choice of surgical technique must strike a balance between the need for complete removal of the tumour and the minimisation of postoperative morbidity, while preserving the patient’s facial function and aesthetics as much as possible.35–39
Clinical case
On 2006 A 47-year-old woman presented to the consultation and reported discomfort in the left mandibular area, in the panoramic x-ray a well-defined radiolucent area can be observed, apparently well encapsulated, which extends from the first premolar to the second molar with mobility grade one of the molars. An incisional biopsy was performed. The findings were semi-liquid content of yellowish, brown with pus content (Figure1).
Enucleation of the lesion and curettage of the area were performed, as well as a endodontic treatment of the second premolar, first and second lower left molar. The patient remained stable for 6 years when a panoramic rx was taken on 03/13/2012 as a control (Figure 2).
Subsequently, seven months later, on 10/17/12, she presented endodontic problems in the previously treated teeth and lost the second lower left molar after the revision, radiographic changes were seen in the panboramic X ray. (Figure 3) An incisional biopshy was taken,10 months 15/08/2013 based on the diagnosis of the biopsy, a CT scan was taken and a stereolithography model was developed for the surgery of the central ossifying fibroid by mandibular resection.
Microscopic description
A single specimen comprising soft and hard tissue is received. It measures 3.0 × 2.0 × 1.5 cm, with an irregular shape, size, and surface. It is light brown in color, with yellowish and reddish-brown areas.
The consistency was firm. A longitudinal cut is made in the largest fragment of soft tissue, revealing a yellowish surface with hemorrhagic areas. This fragment and the small fragments are included in capsule A. The hard tissue is included in capsule B for demineralization (Figure 4).
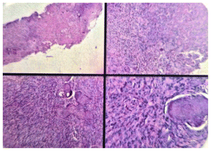
Microscopic description
The examined specimen is composed of multiple circular basophilic calcifications with an eosinophilic halo, intermingled with a hypercellular stroma with a swirling pattern. Fragments of superficial mucosa with severe and diffuse mixed inflammatory infiltrate are also observed, and their epithelium shows ulcerated areas. Additionally, fragments of irregular basophilic bone are identified (Figure 5).
Diagnosis
Central cemento-ossifying fibroma
Due to the size of the lesion a mandibular titanium rod was placed to preserve the the lower portion of the mandible and part of the ascending ramus and condyle of the mandible (Figures 6,7,8) In the panoramic rx, the placement of the titanium rod can be seen to fix the ascending ramus with the condyle and the right side of the mandible with the resection to the level of the left lower canine (Figure 9).
Subsequently, a Walter Lorenz Titanium mesh (Figure 10,11) was used to contain the autologous bone that was obtained from the anterior iliac crest mixed with BMP2 morphogenetic protein (Cowell PLUS BMP), as well as Alogen bone mixed with growth factors and membranes with the Chuckron technique (Figure 12, 13,14)
The patient after surgery continued under observation and could not continue with her treatment due to the Covid epidemic, resuming the treatment on 03/02/2014 for the reassessment by CT the new bone formed in the area of surgery was observed by two programs Blues Sky Bio and Mimics of Materialise the values in Hounsfield units were determined in each of the CT slices at the sites planned for the placement of three implants, the values ranged from 209 U. Hounsfield to 1372 U. Hounsfield (Figs, 15,16,17,18).
In the CT scan, the bone regeneration of the morphogenetic protein BMP2 (Cowell PLUS BMP) and the growth factors with the Chucron technique were verified, managing to observe a good bone conformation, however, a bone formation was observed towards the upper part of the jaw that did not follow any anatomical pattern of the mandibular body and was attached to the mandibular body. (Figures 19,20, 21)
The maxilary and mandible were scanned with a Medit I500 Scanner, the lower scanning of the distal extensión of the mandible was difficult to obtain because of the mobility of the mucosa and the scanner lost the track. Conventional impressions were taken and an analog wax-up was made that gave us the ideal occlusion based on the antagonist, in the same way a digital wax made base don the analogic wax up, then the mandible and upper jaw were printed in stereolithography (Figs. 22, 23).
When analyzing the case in conjunction with the impression, the sterolithography, the digital scanning, waxing and position og the implants in the CT scan, it was observed that the ideal center of the crowns would be outside the prosthetic center, because the bone formed was not thick enough, the placement of the implants would have to be in a crossbite and try to correct it with milled and angled attachments. with screw-retained crowns to leave a better occlusion (Figs. 23, 24).
A surgical guide based in the analysis was elaborated for the the surgery. Three implants were placed in the new bone formation of the mandible, one in the premolar and two in the molars, Nobel Replace conical connection implants of 35 × 10 mm, 4.3 × 8 mm, 35 × 11.5 mm were used, a two-phase protocol was chosen, (Figs. 25, 26, 27).
Four months later, the implants were discovered and the healing caps were placed, in the second molar, a custom provisional was made for each restoratio to establick the counter and emergence profile of the crown (Figs. 28, 29, 30).
An analog conventional open tray impression was taken with polyvinyl siloxane to obtain the implant model because the tissue depth did not allow us to perform a good scan of the area.
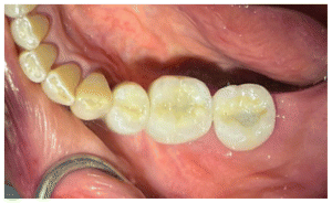
Due to the angulation of the crowns individual milled abutments were fabricated to correct the angulation and achieve a better occlusion with porcelain-fused-to-metal crowns. (Figures 31, 32).
The first premolar due to the inclination had to be milled and a cemente Crown was used, the mollars were milled and scre retained (Figure 33).
The abutments were torqued to 30 Newtons. The premolar crown was cemented with Premier implant cement, and the screw access channels of the molar crowns were filled with resin (Figs. 34, 35).
In a final evaluation of the case, regardless of the success of the reconstruction of the mandibular body with morphogenetic protein, growth factors, and implants, the patient was left with a slight mandibular deviation in a facial analysis due to a sequel of the surgery, as well as anesthesia in a section of the mandible from the surgical procedures of mandibular resection and titanium bar placement (Fig. 36).
A final CT scan was taken with the implants and crowns already in place for future monitoring of the area, both for the bone reconstructed with BMP2 protein and for implant control (Fig. 37).
Discussion: Mandibular Reconstruction with Bone Morphogenetic Protein (BMP)
The primary goals of mandibular reconstruction are to restore bone continuity, achieve adequate alveolar height for future dental rehabilitation, re-establish the shape and width of the mandibular arch, maintain the integrity of the remaining bone, and improve the patient’s facial contours. From a functional perspective, reconstruction aims to restore the patient’s ability to eat in public with confidence, communicate intelligibly, and maintain a clear airway, allowing them to perform all daily activities without limitations.
When planning reconstruction, it’s crucial to consider the biomechanics of the mandible, including preserving the integrity of the temporomandibular joint (TMJ) and ensuring proper distribution of bone tissue to support masticatory forces.13–18 Historically, mandibular reconstruction has primarily been performed using autogenous bone grafts, obtained from the patient’s own body, or through the transfer of microvascular free flaps, which include bone and soft tissues with their own blood supply. Autogenous bone grafts have long been considered the “gold standard” in mandibular reconstruction due to their ability to promote new bone formation. However, in recent years, vascularized fibula free flaps have become an increasingly popular mandibular reconstruction technique, offering significant advantages in terms of providing an adequate amount of bone for mandibular continuity and reliable soft tissue support.
Mandibular reconstruction is a complex process that demands a deep understanding of the mandible’s anatomy, function, and biomechanics to achieve optimal functional and aesthetic outcomes. The ultimate goal isn’t just to fill the bone defect, but also to restore the mandible’s form and function so that the patient can return to a normal life. This involves considering crucial factors such as dental occlusion, the function of the masticatory muscles, and overall facial appearance.14 Bone morphogenetic proteins (BMPs) are members of the transforming growth factor beta (TGF-β) superfamily and play a fundamental role in regulating a wide variety of cellular processes, including proliferation, survival, differentiation, and apoptosis. Additionally, they possess the remarkable ability to induce the formation of various tissues, such as bone, cartilage, ligaments, and tendons.
At the cellular level, BMPs stimulate mesenchymal stem cells to differentiate into osteoblasts, which are specialized cells responsible for the synthesis and mineralization of the bone matrix during development and fracture healing. These proteins are initially synthesized as large precursor molecules that undergo a dimerization process. Subsequently, these dimerized molecules are proteolytically cleaved to generate the active mature dimers that exert their biological function. The activity of BMPs is triggered by their binding to specific receptors present on the surface of target cells. This binding activates a series of intracellular signaling pathways that ultimately lead to the differentiation of mesenchymal stem cells towards the osteogenic lineage.
The mechanism of action of BMPs, which involves inducing the differentiation of stem cells into bone-forming cells, provides a strong scientific basis for their application in bone regeneration and, by extension, in the reconstruction of mandibular defects.9 By understanding the intricate molecular mechanisms through which BMPs influence cells, researchers and clinicians can use them more effectively to promote bone healing in various applications, including the reconstruction of mandibular defects resulting from the resection of tumors like CMFOC.
The use of bone morphogenetic protein (BMP) in the reconstruction of mandibular defects, including those resulting from the resection of central ossifying fibroma of the mandible (CMFOC), has gained considerable attention in scientific literature since 2000.7 The application of BMP in this context has evolved to encompass defects created by the removal of benign tumors, such as CMFOC, offering an alternative to traditional reconstruction techniques. The first documented human case of using BMP for mandibular reconstruction after tumor resection (specifically an ameloblastoma) was reported in 2001.9 Since then, numerous studies have published successful results using BMP in the reconstruction of various mandibular defects, often avoiding the need for autogenous bone grafts, which reduces donor site morbidity.9 The clinical application of BMPs has expanded to include a wide range of facial skeletal defects, including those affecting the mandible.7 The scientific literature published since the year 2000 reflects a growing interest and increasingly widespread application of BMPs in the reconstruction of mandibular defects, including those originating from the resection of benign tumors like FOCM, as a promising alternative to traditional bone grafts.7
Among the different types of bone morphogenetic proteins (BMPs) that have been investigated for use in bone reconstruction, rhBMP-2 and rhBMP-7 are the most extensively studied.7 rhBMP-2 has received approval from the United States Food and Drug Administration (FDA) for certain specific orodental applications, such as maxillary sinus augmentation and alveolar ridge augmentation.9 However, the use of rhBMP-2 for mandibular reconstruction after tumor resection, including FOCM, is considered “off-label” use, meaning it’s not specifically approved for this indication.9 On the other hand, rhBMP-7 (also known as OP-1) has also proven effective in mandibular reconstruction in various studies.7 While both rhBMP-2 and rhBMP-7 have shown significant potential in mandibular reconstruction, rhBMP-2 has a broader body of evidence and has received some regulatory approvals for related applications. Nonetheless, its use for larger mandibular defects remains primarily off-label. This difference in regulatory approval could reflect variations in the available clinical evidence or in the specific indications for which the safety and efficacy of each protein have been demonstrated.
In clinical practice, bone morphogenetic proteins (BMPs) are typically used in combination with a carrier or scaffold. This carrier plays several important roles, such as maintaining an adequate concentration of the protein at the treatment site, providing a temporary three-dimensional scaffold that facilitates osteogenesis (new bone formation), and preventing bone formation in undesired locations (ectopic bone formation).7
One of the most commonly used carriers is the absorbable collagen sponge (ACS).7 Demineralized bone matrix (DBM) has also been employed as a vehicle for BMP delivery in various studies.7 In some cases, three-dimensional (3D) scaffolds made of polycaprolactone (PCL) loaded with BMP and plateletrich plasma (PRP) have been used to promote bone regeneration in mandibular defects.39 Furthermore, the use of bovine bone graft as a support material in combination with rhBMP-2 has been reported in mandibular reconstruction procedures.33 The choice of the vehicle or carrier for BMP administration is a critical factor that can significantly influence the success of the bone regeneration process. The selected carrier can affect the release rate and pattern of the protein, the material’s ability to facilitate the adhesion and proliferation of bone-forming cells (osteoconduction), and the prevention of undesirable side effects. Therefore, continued research into optimal vehicles for BMP delivery in the specific context of mandibular reconstruction is of utmost importance for improving clinical outcomes.
While autogenous bone grafts have been considered the material of choice for mandibular reconstruction due to their osteogenic (ability to form new bone from living cells in the graft), osteoinductive (ability to stimulate host cells to become bone-forming cells), and osteoconductive (ability to serve as a scaffold for bone growth) properties, their procurement can lead to significant complications.7 These complications include donor site morbidity (pain, infection, hematoma, etc.), an increase in total surgical time, and, in some cases, a limited amount of bone available for grafting.7
In this context, bone morphogenetic proteins (BMPs) offer a promising alternative, as they have the potential to avoid the morbidity associated with obtaining autogenous grafts.9 In fact, several studies have directly compared the use of BMPs with autogenous bone grafts in the regeneration of bone defects, and many of these studies have shown favorable results with the use of BMPs in terms of the quantity and quality of bone regeneration achieved.40 Additionally, in some cases, bone allograft (human donor bone) has been used in combination with BMP for mandibular reconstruction, yielding predictable and satisfactory results.30–44 While autogenous grafts are still considered the gold standard, BMPs are consolidating as a viable alternative, especially in clinical situations where donor site morbidity is a significant concern or when the amount of available autogenous graft is limited. The combination of BMP with allografts also appears to be a promising strategy in certain mandibular reconstruction scenarios.42–45
Clinical Results and Considerations of Reconstruction with BMP
Various case studies and case series have reported the use of bone morphogenetic protein (BMP) in mandibular reconstruction after the resection of benign tumors, including central ossifying fibroma of the mandible (FOCM), with generally encouraging results.7 For example, one case study detailed the successful reconstruction of a 6 cm mandibular defect resulting from ameloblastoma resection, using a BMP bioimplant. This case showed radiographic and histological evidence of new bone formation at the reconstructed site.9 Another study reported the successful use of rhBMP-7 in combination with demineralized bone matrix (DBM) for the reconstruction of large mandibular defects, achieving adequate bone regeneration.12,37,40 Furthermore, several cases of “off-label” use of rhBMP-2 for the reconstruction of mandibular continuity defects caused by the resection of benign tumors and other conditions have been documented, with satisfactory results in most cases.33 These case studies and series provide valuable evidence regarding the potential of BMPs, particularly rhBMP-2 and rhBMP-7, in the reconstruction of mandibular defects arising after the resection of benign tumors, including FOCM. The reported results generally indicate adequate bone formation in the reconstructed sites.
The evaluation of bone formation and graft integration after mandibular reconstruction with BMP is typically carried out using a combination of methods.45 Radiographic examinations, such as panoramic radiographs and computed tomography (CT) scans, are fundamental for visualizing the quantity and quality of new bone formed at the defect site.7 In some cases, biopsies of the reconstructed site have been performed to histologically confirm the presence of new bone and assess its maturation.9 Clinically, graft integration is assessed by palpating the reconstructed area to determine its consistency and stability, as well as by observing the patient’s mandibular function.6
In many cases of successful BMP reconstruction, sufficient bone regeneration has been achieved to allow for the placement of dental implants in the newly formed bone, which in turn facilitates complete prosthetic rehabilitation, significantly improving the patient’s masticatory function and aesthetics.7 The comprehensive evaluation of bone formation and graft integration after BMP reconstruction, which combines radiographic, histological (in some cases), and clinical assessment, ultimately aims to achieve bone regeneration that is not only sufficient in quantity but also adequate in quality to enable successful functional rehabilitation, such as the placement of dental implants. While BMPs have shown promise in mandibular reconstruction, there are some potential complications associated with their use. Significant postoperative edema has been reported in some patients who received rhBMP-2.35,44 In certain studies, cases of BMP bioimplant failure have been documented due to the occurrence of infections at the surgical site and poor patient adherence to postoperative instructions.7
Although the overall rate of adverse events associated with the use of rhBMP-2 appears to be relatively low, some concerns persist in the scientific community regarding a possible increase in the incidence of certain adverse events, including cancer formation.14 However, the current evidence on the role of BMPs in cancer development or progression remains complex and not fully understood.16 In fact, one specific study advises against the use of BMPs for the reconstruction of maxillofacial bone defects resulting from the removal of oral squamous cell carcinomas, due to concerns about the possible biological effects of BMPs in the context of this malignancy.16
It is fundamental to carefully weigh the potential benefits of mandibular reconstruction with BMPs against the possible risks and complications associated with their use. More long-term research is required, including controlled and randomized clinical trials, to fully understand the long-term safety and side effect profile of BMP use in mandibular reconstruction, especially in specific patient populations and in different clinical contexts.
The ultimate goal of mandibular reconstruction with BMP is to restore both the patient’s oral function and facial aesthetics. Successful reconstruction can lead to a significant improvement in the ability to chew and speak, which in turn positively impacts the individual’s quality of life.8 Restoring mandibular continuity and contour also contributes to an improved facial appearance, which can have a profound effect on the patient’s psychological and social well-being.8
The ability to place dental implants in the bone regenerated through the use of BMP allows for complete prosthetic rehabilitation, further enhancing oral function and facial aesthetics.7 Therefore, the success of the reconstruction is not limited to the healing of the bone defect, but also encompasses the restoration of the patient’s ability to carry out essential daily activities, such as eating and speaking with confidence, as well as the improvement of their facial appearance. The possibility of achieving rehabilitation with dental implants is a key factor in reaching this ultimate goal.
Conclusions
Current evidence, primarily based on case studies and case series published since 2000, suggests that bone morphogenetic proteins (BMPs), particularly rhBMP-2 and rhBMP-7, can be effective for reconstructing mandibular defects resulting from the resection of central ossifying fibroma of the mandible (FOCM). BMPs offer a promising alternative to autogenous bone grafts, with the advantage of avoiding donor site morbidity. The bone formation achieved using BMPs can be sufficient to allow for dental implant placement and subsequent prosthetic rehabilitation, significantly improving patients’ oral function and facial aesthetics. The use of BMPs in this context presents several advantages, including reduced donor site morbidity, the potential to regenerate large bone defects, and the possibility of achieving complete functional rehabilitation through dental implant placement. However, there are also important limitations and considerations. The cost of BMPs can be a limiting factor. Complications such as significant postoperative edema associated with rhBMP-2 use have been reported. Furthermore, some concerns persist regarding the possible role of BMPs in cancer development or progression, especially in certain clinical contexts. Lastly, more long-term research and controlled, randomized clinical trials are required to confirm the efficacy and safety of BMPs in mandibular reconstruction for FOCM and to establish evidence-based clinical guidelines. The “off-label” use of BMPs demands careful consideration of risks and benefits in each individual case.
In the future, research should focus on conducting more controlled and randomized clinical trials comparing the efficacy and safety of BMPs with standard mandibular reconstruction techniques for FOCM. It’s necessary to optimize the types of BMPs used, as well as the doses, delivery vehicles, and scaffolds to improve clinical outcomes and minimize postoperative complications. Further research is also required to fully understand the role of BMPs in the context of patients with a history of malignant tumors. Finally, it’s crucial to develop evidence-based clinical guidelines that direct the appropriate use of BMPs in mandibular reconstruction after FOCM resection, with the goal of improving patient outcomes and ensuring treatment safety.
References
- 1. Kakuguchi W, Nakamichi Y, Kitamura T. Amyloid Variant of Central Odontogenic Fibroma in the Mandible: A Case Report and Literature Review. Am J Case Rep. 2020 Aug 30;21:e925165. doi: 10.12659/AJCR.925165. PMID: 32862189; PMCID: PMC7483472. phttps://doi.org/10.12659/AJCR.925165
- 2. de Andrade M, Silva-Sousa YT, Marques MF, Pontual ML, Ramos-Perez FM, Perez DE. Ossifying fibroma of the jaws: a clinicopathological case series study. Braz Dent J. 2013 Nov–Dec;24(6):662–6. doi: 10.1590/0103-6440201302364. PMID: 24474366. phttps://doi.org/10.1590/0103-6440201302364
- 3. Swami, Anand N; Kale, Lata M; Mishra, Sunil Surendraprasad; Choudhary, Sneha H. Central ossifying fibroma of mandible: A case report and review of literature. Journal of Indian Academy of Oral Medicine and Radiology 27(1):p 131–135, Jan–Mar 2015. | DOI: 10.4103/0972-1363.167134 phttps://doi.org/10.4103/0972-1363.167134
- 4. More C, Thakkar K, Asrani M. Cemento-ossifying fibroma. Indian J Dent Res. 2011 Mar–Apr;22(2):352–5. doi: 10.4103/0970-9290.84296. PMID: 21891913. phttps://doi.org/10.4103/0970-9290.84296
- 5. Katanec T, Budak L, Brajdić D, Gabrić D. Atypical Peripheral Ossifying Fibroma of the Mandible. Dent J (Basel). 2022 Jan 6;10(1):9. doi: 10.3390/dj10010009. PMID: 35049607; PMCID: PMC8774310. phttps://doi.org/10.3390/dj10010009
- 6. Mazzone P, Padua L, Falisi G, Insola A, Florio TM, Scarnati E. Unilateral deep brain stimulation of the pedunculopontine tegmental nucleus improves oromotor movements in Parkinson’s disease. Brain Stimul. 2012 Oct;5(4):634–41. doi: 10.1016/j.brs.2012.01.002. Epub 2012 Feb 22. PMID: 22410474. phttps://doi.org/10.1016/j.brs.2012.01.002
- 7. Herford AS, Stoffella E, Tandon R. Reconstruction of mandibular defects using bone morphogenic protein: can growth factors replace the need for autologous bone grafts? A systematic review of the literature. Plast Surg Int. 2011;2011:165824. doi: 10.1155/2011/165824. Epub 2011 Nov 24. PMID: 22567236; PMCID: PMC3335506. phttps://doi.org/10.1155/2011/165824
- 8. Kumar BP, Venkatesh V, Kumar KA, Yadav BY, Mohan SR. Mandibular Reconstruction: Overview. J Maxillofac Oral Surg. 2016 Dec;15(4):425–441. doi: 10.1007/s12663-015-0766-5. Epub 2015 Apr 19. PMID: 27833334; PMCID: PMC5083680. phttps://doi.org/10.1007/s12663-015-0766-5
- 9. Herford AS, Stoffella E, Tandon R. Reconstruction of mandibular defects using bone morphogenic protein: can growth factors replace the need for autologous bone grafts? A systematic review of the literature. Plast Surg Int. 2011;2011:165824. doi: 10.1155/2011/165824. Epub 2011 Nov 24. PMID: 22567236; PMCID: PMC3335506. phttps://doi.org/10.1155/2011/165824
- 10. Kaur T, Dhawan A, Bhullar RS, Gupta S. Cemento-Ossifying Fibroma in Maxillofacial Region: A Series of 16 Cases. J Maxillofac Oral Surg. 2021 Jun;20(2):240–245. doi: 10.1007/s12663-019-01304-y. Epub 2019 Nov 8. PMID: 33927492; PMCID: PMC8041960 phttps://doi.org/10.1007/s12663-019-01304-y
- 11. Falisi G, Bernardi S, Rastelli C, Pietropaoli D, DE Angelis F, Frascaria M, Di Paolo C. “All on short” prosthetic-implant supported rehabilitations. Oral Implantol (Rome). 2017 Jan 21;10(4):477–487. doi: 10.11138/orl/2017.10.4.477. PMID: 29682265; PMCID: PMC5892663 phttps://doi.org/10.11138/orl/2017.10.4.477
- 12. Herford AS, Stoffella E, Tandon R. Reconstruction of mandibular defects using bone morphogenic protein: can growth factors replace the need for autologous bone grafts? A systematic review of the literature. Plast Surg Int. 2011;2011:165824. doi: 10.1155/2011/165824. Epub 2011 Nov 24. PMID: 22567236; PMCID: PMC3335506. phttps://doi.org/10.1155/2011/165824
- 13. Haidry N, Shivhare P, Mokhtar EA, Kumar T. Cemento-ossifying fibroma transforming to osteosarcoma. BMJ Case Rep. 2024 Jan 16;17(1):e257104. doi: 10.1136/bcr-2023-257104. PMID: 38233000; PMCID: PMC10806945 phttps://doi.org/10.1136/bcr-2023-257104
- 14. Petrochenko P, Narayan RJ. Novel approaches to bone grafting: porosity, bone morphogenetic proteins, stem cells, and the periosteum. J Long Term Eff Med Implants. 2010;20(4):303–15. doi: 10.1615/jlongtermeffmedimplants.v20.i4.50. PMID: 21488823; PMCID: PMC3181122. phttps://doi.org/10.1615/JLongTermEffMedImplants.v20.i4.50
- 15. Takagi R, Mori K, Koike T, Tsuyuguchi S, Kanai K, Watanabe Y, Okano M, Noguchi Y, Tanaka A, Kurihara K, Sato K, Ishizaki K, Hayashi Y, Imanishi Y. A giant peripheral ossifying fibroma of the maxilla with extreme difficulty in clinical differentiation from malignancy: a case report and review of the literature. J Med Case Rep. 2024 May 4;18(1):220. doi: 10.1186/s13256-024-04529-9. PMID: 38702820; PMCID: PMC11069167. phttps://doi.org/10.1186/s13256-024-04529-9
- 16. Tan B, Tang Q, Zhong Y, Wei Y, He L, Wu Y, Wu J, Liao J. Biomaterial-based strategies for maxillofacial tumour therapy and bone defect regeneration. Int J Oral Sci. 2021 Mar 16;13(1):9. doi: 10.1038/s41368-021-00113-9. PMID: 33727527; PMCID: PMC7966790. phttps://doi.org/10.1038/s41368-021-00113-9
- 17. Nilesh K, Punde P, Patil NS, Gautam A. Central ossifying fibroma of mandible. BMJ Case Rep. 2020 Dec 28;13(12):e239286. doi: 10.1136/bcr-2020-239286. PMID: 33372024; PMCID: PMC7772295., phttps://doi.org/10.1136/bcr-2020-239286
- 18. Haidry N, Shivhare P, Mokhtar EA, Kumar T. Cemento-ossifying fibroma transforming to osteosarcoma. BMJ Case Rep. 2024 Jan 16;17(1):e257104. doi: 10.1136/bcr-2023-257104. PMID: 38233000; PMCID: PMC10806945. phttps://doi.org/10.1136/bcr-2023-257104
- 19. Katti G, Khan MM, Chaubey SS, Amena M. Cemento-ossifying fibroma of the jaw. BMJ Case Rep. 2016 May 12;2016:bcr2015214327. doi: 10.1136/bcr-2015-214327. Erratum in: BMJ Case Rep. 2016 Jun 03;2016:bcr2015214327corr1. doi: 10.1136/bcr-2015-214327corr1. PMID: 27174452; PMCID: PMC4885328. phttps://doi.org/10.1136/bcr-2015-214327corr1
- 20. Dominguete MH, Dominguette AA, Matos BH, Dominguete PR, León JE, Oliveira LR. Extensive presentation of central ossifying fibroma treated with conservative surgical excision. Case Rep Dent. 2014;2014:204258. doi: 10.1155/2014/204258. Epub 2014 Nov 23. PMID: 25506435; PMCID: PMC4258925. phttps://doi.org/10.1155/2014/204258
- 21. Rastelli, C., Falisi, G., Gatto, R.,Saccone, E., Di Paolo, C. Implant stability in different techniques of surgical site preparation:An in vitro study. Oral and Implantology, 2014, 7(2), pp. 33–39. phttps://doi.org/10.11138/orl/2014.7.2.033
- 22. S. Bernardi, E. Qorri, G. Botticelli, A. Scarano, G. Marzo, R. Gatto, A. Greco Lucchina, C. Mortellaro, E. Lupi, C. Rastelli, G. Falisi Use of electrical field for biofilm implant removal Eur Rev Med Pharmacol Sci 2023 Vol. 27 - N. 3 Suppl Pages: 114–121 DOI:10.26355/eurrev_202304_31328.
- 23. Bi-maxillary rehabilitation using the all-on-four method in patients with hypertension: case report and literature review.Matteo Nagni, Marco Severino, Ciro Cotticelli, Elena Bussolari, Camilla Grechi, Giorgio Collina, Carlo Oddi. Oral and Implantology Vol. 16 No. 1 (2024)https://doi.org/10.11138/oi16144-49 phttps://doi.org/10.11138/oi16144-49
- 24. Di Paolo C, Qorri E, Falisi G, Gatto R, Tari SR, Scarano A, Rastelli S, Inchingolo F, Di Giacomo P. RA.DI.CA. Splint Therapy in the Management of Temporomandibular Joint Displacement without Reduction. J Pers Med. 2023 Jul 3;13(7):1095. doi: 10.3390/jpm13071095. PMID: 37511708; PMCID: PMC10381538 - phttps://doi.org/10.3390/jpm13071095
- 25. Tater J, Diajil AR. Immunohistochemical analysis of osteoclastic and osteoblastic activity in ossifying fibroma and juvenile ossifying fibroma: A comparative study. J Med Life. 2023 Sep;16(9):1369–1374. doi: 10.25122/jml-2023-0126. PMID: 38107708; PMCID: PMC10719798 phttps://doi.org/10.25122/jml-2023-0126
- 26. Barlattani A Jr, Martelli M, Gargari M, Ottria L. Articular disc of temporomandibular joint: an anatomical and histological study. Functional considerations. J Biol Regul Homeost Agents. 2019 Nov–Dec;33(6 Suppl. 2):199–208. PMID: 32338474.
- 27. Falisi G, Di Paolo C, Rastelli C, Franceschini C, Rastelli S, Gatto R, Botticelli G. Ultrashort Implants, Alternative Prosthetic Rehabilitation in Mandibular Atrophies in Fragile Subjects: A Retrospective Study. Healthcare (Basel). 2021 Feb 6;9(2):175. doi: 10.3390/healthcare9020175. PMID: 33562102; PMCID: PMC7914866. phttps://doi.org/10.3390/healthcare9020175
- 28. Ceruso FM, Ottria L, Martelli M, Gargari M, Barlattani A Jr. Transgingival implants with a convergent collar (PRAMA); surgical and screwed prosthetic approach. A case report. J Biol Regul Homeost Agents. 2020 Jan–Feb;34(1 Suppl. 1):71–77. DENTAL SUPPLEMENT. PMID: 32064838.
- 29. Melville JC, Nassari NN, Hanna IA, Shum JW, Wong ME, Young S. Immediate Transoral Allogeneic Bone Grafting for Large Mandibular Defects. Less Morbidity, More Bone. A Paradigm in Benign Tumor Mandibular Reconstruction? J Oral Maxillofac Surg. 2017 Apr;75(4):828–838. doi: 10.1016/j.joms.2016.09.049. Epub 2016 Oct 6. PMID: 27810548. phttps://doi.org/10.1016/j.joms.2016.09.049
- 30. Scarano A, Bernardi S, Rastelli C, Mortellaro C, Vittorini P, Falisi G. Soft tissue augmentation by means of silicon expanders prior to bone volume increase: a case series. J Biol Regul Homeost Agents. 2019 Nov–Dec;33(6 Suppl. 2):77–84. DENTAL SUPPLEMENT.
- 31. Reconstruction of mandibular defects | PPT - Slide-Share, fecha de acceso: mayo 14, 2025, https://www.slideshare.net/slideshow/reconstruction-of-mandibular-defects/70144144
- 32. Chao M, Donovan T, Sotelo C, Carstens MH. In situ osteogenesis of hemimandible with rhBMP-2 in a 9-year-old boy: osteoinduction via stem cell concentration. J Craniofac Surg. 2006 May;17(3):405–12. doi: 10.1097/00001665-200605000-00004. PMID: 16770173. | phttps://doi.org/10.1097/00001665-200605000-00004
- 33. Bernardi S, Qorri E, Botticelli G, Scarano A, Marzo G, Gatto R, Greco Lucchina A, Mortellaro C, Lupi E, Rastelli C, Falisi G. Use of electrical field for biofilm implant removal. Eur Rev Med Pharmacol Sci. 2023 Apr;27(3 Suppl): 114–121. doi: 10.26355/eurrev_202304_31328. PMID: 37129321
- 34. Carter TG, Brar PS, Tolas A, Beirne OR. Off-label use of recombinant human bone morphogenetic protein-2 (rh-BMP-2) for reconstruction of mandibular bone defects in humans. J Oral Maxillofac Surg. 2008 Jul;66(7):1417–25. doi: 10.1016/j.joms.2008.01.058. PMID: 18571026. phttps://doi.org/10.1016/j.joms.2008.01.058
- 35. Barnaba P, Rosa A, Gargari M, Martelli M. The Use of Bioceramics in Retrograde Apicectomy: A Systematic Review of Clinical Applications and Outcomes. Aust Endod J. 2025 Aug;51(2):431–437. doi: 10.1111/aej.12960. Epub 2025 Jun 4. PMID: 40464307. phttps://doi.org/10.1111/aej.12960
- 36. Botticelli G, Severino M, Ferrazzano GF, Vittorini Velasquez P, Franceschini C, Di Paolo C, Gatto R, Falisi G. Excision of Lower Lip Mucocele Using Injection of Hydrocolloid Dental Impression Material in a Pediatric Patient: A Case Report. Applied Sciences. 2021; 11(13):5819. https://doi.org/10.3390/app11135819 phttps://doi.org/10.3390/app11135819
- 37. Rampello A, Saccucci M, Falisi G, Panti F, Polimeni A, Di Paolo C. A new aid in temporomandibular joint disorders’ therapy: the universal neuromuscular immediate relaxing appliance. J Biol Regul Homeost Agents. 2013 Oct–Dec;27(4):1011–9.
- 38. Schuckert KH, Jopp S, Teoh SH. Mandibular defect reconstruction using three-dimensional polycaprolactone scaffold in combination with platelet-rich plasma and recombinant human bone morphogenetic protein-2: de novo synthesis of bone in a single case. Tissue Eng Part A. 2009 Mar;15(3):493–9. doi: 10.1089/ten.tea.2008.0033. PMID: 18767969. phttps://doi.org/10.1089/ten.tea.2008.0033
- 39. Santos WY, Benito-Ramal E, Toledano-Serrabona J, Sánchez-Garcés MÁ. Efficacy of bone morphogenetic protein in comparison with autogenous bone in regeneration of ameloblastoma bone defects. A systematic review. Med Oral Patol Oral Cir Bucal. 2024 Nov 1;29(6):e782–e790. doi: 10.4317/medoral.26729. PMID: 39396143; PMCID: PMC11584972. - ResearchGate, fecha de acceso: mayo 14, 2025, phttps://doi.org/10.4317/medoral.26729
- 40. Carlesi, T., Martelli, M., Gargari, M., Musumeci, F., D’Ercole, S., Malagnino, V.a., et al. (2022). Comparative evaluation of 4 root-end filling materials sealing ability in an in-vitro study. Journal Of Biological Regulators & Homeostatic Agents, 36(2), 189–199 [10.23812/j.biol.regul.homeost. agents.202236.2S1.24]. phttps://doi.org/10.23812/j.biol.regul.homeost.agents.202236.2S1.24
- 41. Safety and Efficacy of Recombinant Human Bone Morphogenetic Protein-2 (rhBMP-2) in Craniofacial Surgery - PMC, fecha de acceso: mayo 14, 2025, https://pmc.ncbi.nlm.nih.gov/articles/PMC6756658/
- 42. Reccombinant human bone morphogtenetic protein-2 and pancreatic cáncer: a retrospective cohort study. 9 December 2010 Wiley online Library DOI 10.1002/pds.2057
- 43. Alveolar ridge augmentation using anodized implants coated with Escherichia coli- derived recombinante human bone morphogenetic protein 2. Jun-Bo Huh Oral Surg Oral Pathol Oral Radiol Endod 2010).
- 44. Discontinous reléase of Bone Mpr’hogenetic Protein-2 Loaded Within interconnected pores of Honeycomb-Like Policaprolactone Scaffold Promotes Bone Healling in large Bone Defect of Rabbit Ilna Ji-Hoo-Nae. Tissue Enginiering volumen 00, Number 00, 2011Doi 10.1029/ten.tea.2011.0032
- 45. Bone formation of middle ear cavity using biphasic calciun phosphate lyophilized with Escherichia coli-derived re-combinanat human bone morphogenetic protein 2 using animal model. Sung Eun Kim. International Journey of Pediatric Otorhinolaryngology 77(2013) 1430–1433. phttps://doi.org/10.1016/j.ijporl.2013.05.035
